menu
close

出っ歯を治したい

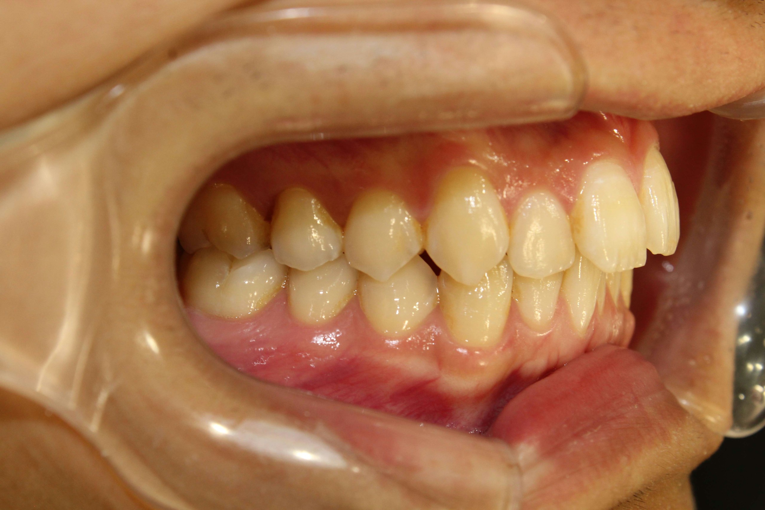
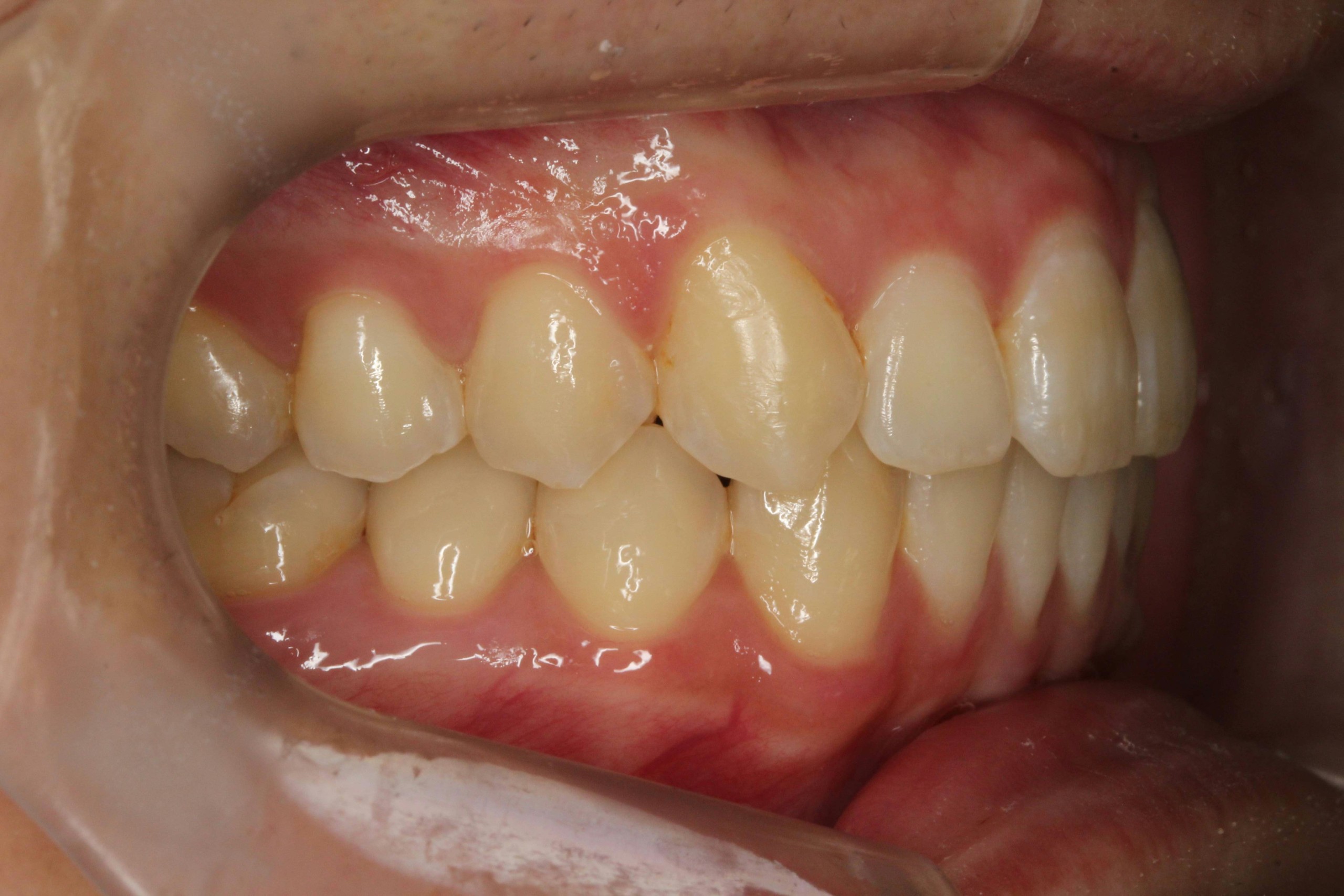
上の歯が出ている(治療期間:1年3カ月/通院15回)

年齢層 30代
性別 女性
主訴 前歯2本が前に出ているため、笑ったときの見た目や横顔のバランスが気になり、自然な口元にしたいと思っている
治療費用 検査・診断:38,500-/裏側矯正治療:1,397,000-(※全て税込)
治療期間 1年3ヶ月(15回)
抜歯
矯正の装置 裏側矯正
副作用、リスク 歯肉退縮,歯根吸収,疼痛,咬合の違和感,装置の違和感,虫歯,歯肉炎
上の歯が出ている・裏側矯正の症例

Before

上の歯が出ている・裏側矯正の症例

After

詳しく見る

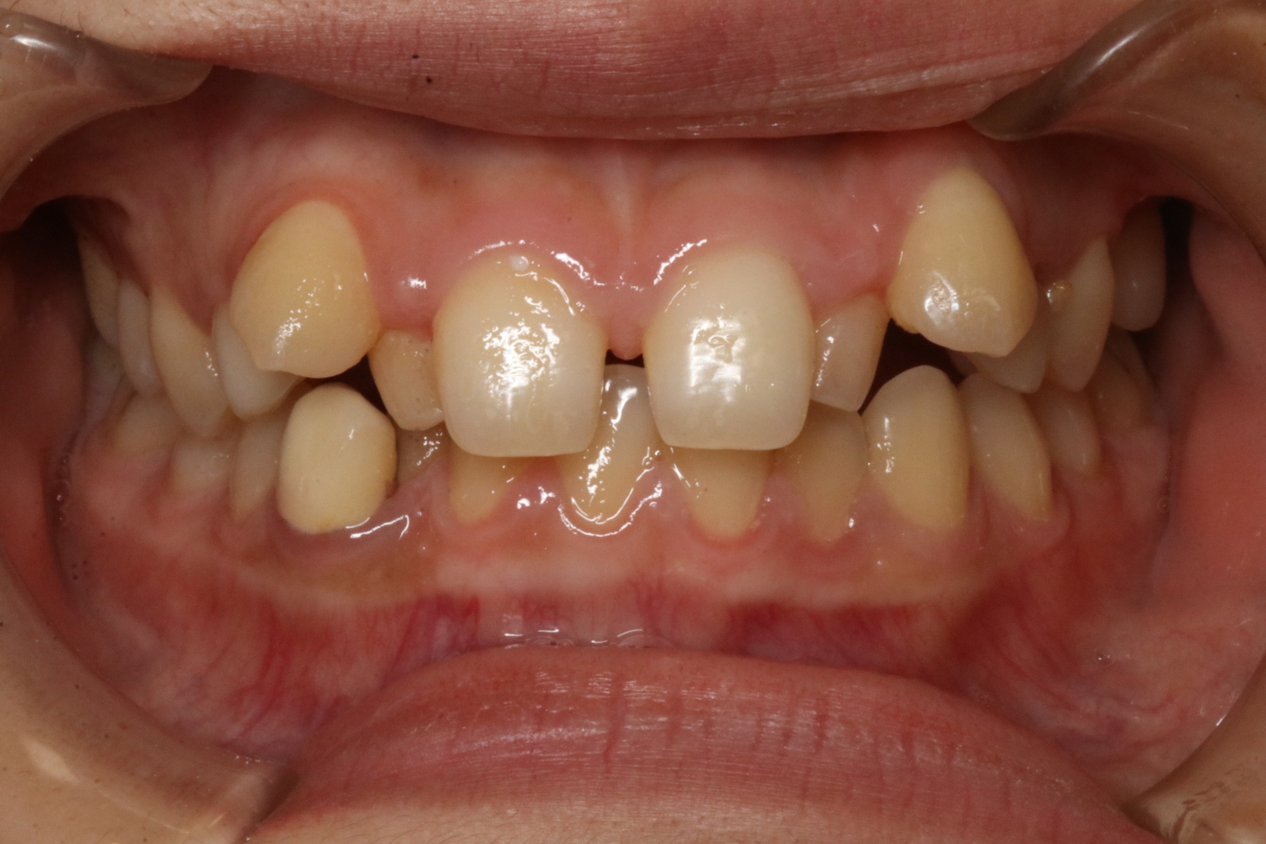
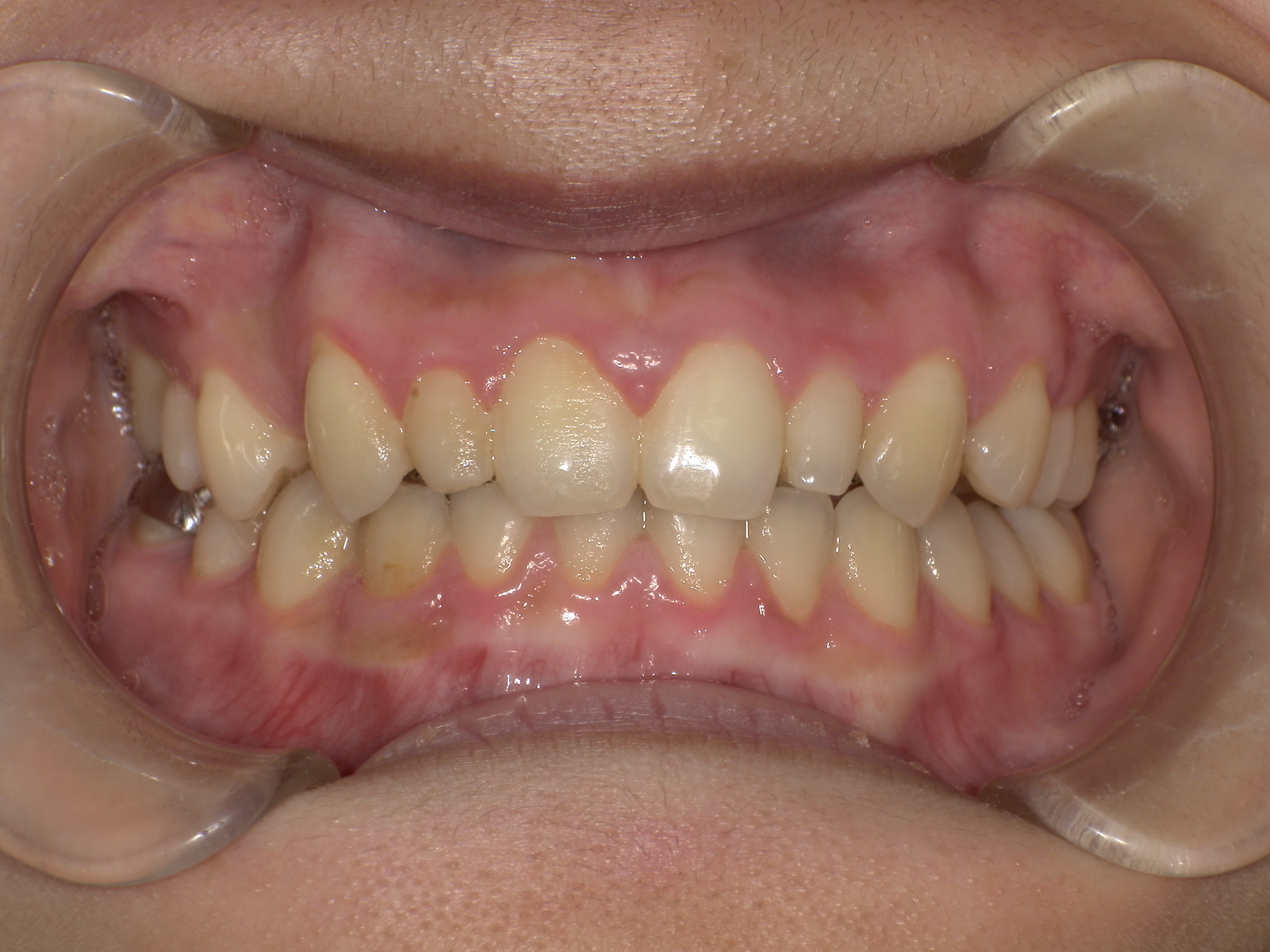
上の歯が出ている(治療期間:1年8カ月/通院28回)

年齢層 30代
性別 女性
主訴 前歯が出ていて口が閉じにくく、横顔の印象も気になるため、矯正で改善したいと考えている。下の前歯のでこぼこも綺麗に整えて歯石がたまりにくい歯並びにしたい。
治療費用 検査・診断:38,500-/ハーフリンガル矯正治療:1,287,000-(※全て税込)
治療期間 1年8カ月(28回)
抜歯 有(上5.5、下5.5)
矯正の装置 ハーフリンガル矯正
副作用、リスク 歯肉退縮,歯根吸収,疼痛,咬合の違和感,装置の違和感,虫歯,歯肉炎
上の歯が出ている・ハーフリンガル矯正の症例

Before

上の歯が出ている・ハーフリンガル矯正の症例

After

詳しく見る

歯のでこぼこ、口元下げたい(治療期間:2年1カ月/通院30回)

年齢層 20代 
性別 女性
主訴 上の前歯が2本が傾いており出っ歯にみえるのが気になるため、でこぼこを整えて前歯を下げたい。口元の突出感も気になるので前歯を下げて、横顔(Eライン)も綺麗にしたい。下の前歯のでこぼこも、かみ合わせの改善や虫歯になりずらくするために綺麗にしたい。
治療費用 検査・診断:38,500-/ハーフリンガル矯正治療:1,287,000-(※全て税込)
治療期間 2年1カ月/通院30回
抜歯 有(上4.4、下5.5)
矯正の装置 ハーフリンガル
副作用、リスク 歯肉退縮,歯根吸収,疼痛,咬合の違和感,装置の違和感,虫歯,歯肉炎
歯のでこぼこ・ハーフリンガルの症例

Before

歯のでこぼこ・ハーフリンガルの症例

After

詳しく見る

深い噛み合わせと出っ歯を治したい

年齢層 20代
性別 女性
主訴 【主訴】かみ合わせが深い、前歯が出ている
治療費用 検査・診断:38,500-/裏側矯正治療:1,397,000-(※全て税込)
治療期間 2年(28回)
抜歯 有(上4.4)
矯正の装置 裏側矯正(舌側矯正)
副作用、リスク 歯肉退縮,歯根吸収,疼痛,咬合の違和感,装置の違和感,虫歯,歯肉炎
case50_deepbite Before

Before

case50_deepbite After

After

詳しく見る

出っ歯を治したい

年齢層 20代
性別 女性
主訴 【主訴】前歯が出ている
治療費用 検査・診断:38,500-/裏側矯正治療:1,397,000-(※全て税込)
治療期間 2年(30回)
抜歯 有(上4.4、下5.5)
矯正の装置 裏側矯正(舌側矯正)
副作用、リスク 歯肉退縮,歯根吸収,疼痛,咬合の違和感,装置の違和感,虫歯,歯肉炎

Before

After

詳しく見る

出っ歯を治したい

年齢層 30代
性別
主訴 【主訴】出っ歯を治したい 【診断・症状】上下凸凹、口元が出てる
治療費用 検査・診断:38,500-/裏側矯正治療:1,397,000-(※全て税込)
治療期間 約2年半(27回)
抜歯 有(右上4、左上5)
矯正の装置 裏側矯正(舌側矯正)
副作用、リスク 歯肉退縮,歯根吸収,疼痛,咬合の違和感,装置の違和感,虫歯,歯肉炎

Before

After

詳しく見る

出っ歯を治したい

年齢層 20代
性別 女性
主訴 【主訴】前歯が出ている
治療費用 検査・診断:38,500-/裏側矯正治療:1,287,000-(※全て税込)
治療期間 2年(30回)
抜歯 抜歯:有(上4,4)
矯正の装置 ハーフリンガル矯正
副作用、リスク 歯肉退縮,歯根吸収,疼痛,咬合の違和感,装置の違和感,虫歯,歯肉炎
case41_overbite Before

Before

case41_overbite After

After

詳しく見る

歯の凸凹を治したい

年齢層 20代
性別 男性
主訴 【主訴】前歯の凸凹を治したい、前歯が出ている
治療費用 検査・診断:38,500-/裏側矯正治療:1,397,000-(※全て税込)
治療期間 2年3カ月(30回)
抜歯 有(上4.4、左下4)
矯正の装置 裏側矯正(舌側矯正)
副作用、リスク 歯肉退縮,歯根吸収,疼痛,咬合の違和感,装置の違和感,虫歯,歯肉炎
case_37_叢生_初診時

Before

case_37_叢生_終了時

After

詳しく見る

出っ歯を治したい

年齢層 30代
性別 女性
主訴 【主訴】出っ歯を治したい 【診断・症状】上下凸凹、口元が出てる
治療費用 検査・診断:38,500-/裏側矯正治療:1,287,000-(※全て税込)
治療期間 約1年(15回)
抜歯 抜歯:有(上4,4)
矯正の装置 ハーフリンガル矯正
副作用、リスク 歯肉退縮,歯根吸収,疼痛,咬合の違和感,装置の違和感,虫歯,歯肉炎
case35_overbite Before

Before

case35_overbite After

After

詳しく見る

前歯の凸凹を治したい

年齢層 20代
性別 女性
主訴 【主訴】前歯のがたつき、正中線を合わせたい
治療費用 検査・診断:38,500-/ハーフリンガル矯正治療:1,287,000-(※全て税込)
治療期間 7か月(10回)
抜歯 有(左上4) 右上4は過去に抜歯済
矯正の装置 ハーフリンガル矯正
副作用、リスク 歯肉退縮,歯根吸収,疼痛,咬合の違和感,装置の違和感,虫歯,歯肉炎
case25_ 叢生_befor

Before

case25_叢生_after

After

詳しく見る

出っ歯を治したい

年齢層 30代
性別 女性
主訴 【主訴】出っ歯を治したい 【診断・症状】上下凸凹、口元が出てる
治療費用 検査・診断:38,500-/裏側矯正治療:1,397,000-(※全て税込)
治療期間 約2年9か月(36回)
抜歯 抜歯:有(上4,4)
矯正の装置 裏側矯正(舌側矯正)
副作用、リスク 歯肉退縮,歯根吸収,疼痛,咬合の違和感,装置の違和感,虫歯,歯肉炎
case21_出っ歯_before

Before

case21_出っ歯_after

After

詳しく見る

出っ歯を治したい

年齢層 30代
性別 女性
主訴 【主訴】出っ歯を治したい 【診断・症状】上下凸凹、出っ歯(上顎前突)
治療費用 検査・診断:38,500-/裏側矯正治療:1,397,000-(※全て税込)
治療期間 約2年半(33回)
抜歯 有(上4,4、下5,5)
矯正の装置 裏側矯正(舌側矯正)
副作用、リスク 歯肉退縮,歯根吸収,疼痛,咬合の違和感,装置の違和感,虫歯,歯肉炎
case20_出っ歯_before

Before

case20_出っ歯_after

After

詳しく見る

出っ歯を治したい

年齢層 20代
性別 男性
主訴 【主訴】出っ歯を治したい 【診断・症状】上下凸凹、出っ歯(上顎前突)
治療費用 検査・診断:38,500-/裏側矯正治療:1,397,000-(※全て税込)
治療期間 約1年半(20回)
抜歯 有(上4,4のみ)
矯正の装置 裏側矯正(舌側矯正)
副作用、リスク 歯肉退縮,歯根吸収,疼痛,咬合の違和感,装置の違和感,虫歯,歯肉炎
case15_出っ歯_before

Before

case15_出っ歯_after

After

詳しく見る

出っ歯を治したい

年齢層 20代
性別 女性
主訴 【主訴】出っ歯を治したい 【診断・症状】上下凸凹、開咬、口元が出てる
治療費用 検査・診断:38,500-/裏側矯正治療:1,397,000-(※全て税込)
治療期間 約2年(26回)
抜歯 有(上4,4)
矯正の装置 裏側矯正(舌側矯正)
副作用、リスク 歯肉退縮,歯根吸収,疼痛,咬合の違和感,装置の違和感,虫歯,歯肉炎
case14_出っ歯_before

Before

case14_出っ歯_after

After

詳しく見る

軽度の出っ歯を治したい

年齢層 20代
性別 女性
主訴 【主訴】出っ歯を治したい 【診断・症状】上下凸凹、出っ歯(上顎前突)
治療費用 検査・診断:38,500-/裏側矯正治療:1,397,000-(※全て税込)
治療期間 約2年半(33回)
抜歯 有(上4,4)
矯正の装置 裏側矯正(舌側矯正)
副作用、リスク 歯肉退縮,歯根吸収,疼痛,咬合の違和感,装置の違和感,虫歯,歯肉炎
case13_軽度の出っ歯_before

Before

case13_軽度の出っ歯_after

After

詳しく見る

ガミースマイルを治したい

年齢層 20代
性別 女性
主訴 【主訴】ガミースマイルを治したい 【診断・症状】上下凸凹、ガミースマイル
治療費用 検査・診断:38,500-/裏側矯正治療:1,397,000-(※全て税込)
治療期間 約3年半(45回)
抜歯 無(非抜歯)
矯正の装置 裏側矯正(舌側矯正)
副作用、リスク 歯肉退縮,歯根吸収,疼痛,咬合の違和感,装置の違和感,虫歯,歯肉炎
case10_ガミー_before

Before

case10_ガミー_after

After

詳しく見る