当院の症例




| 年齢層 | 30代 |
|---|---|
| 性別 | 女性 |
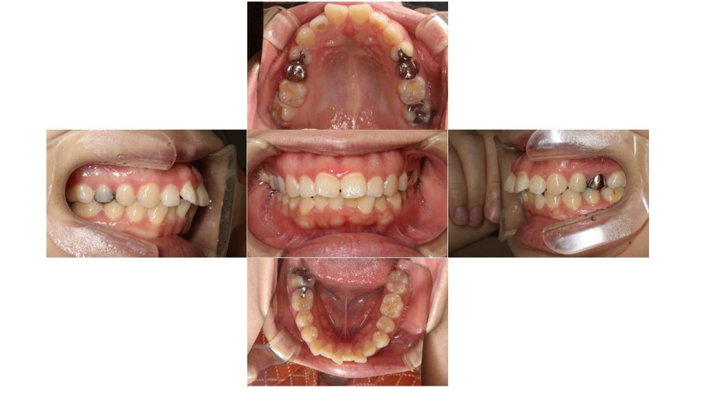
| 主訴 | 前歯が出ていて口が閉じにくく、横顔の印象も気になるため、矯正で改善したいと考えている。下の前歯のでこぼこも綺麗に整えて歯石がたまりにくい歯並びにしたい。 |
| 治療費用 | 検査・診断:38,500-/ハーフリンガル矯正治療:1,287,000-(※全て税込) |
| 治療期間 | 1年8カ月(28回) |
| 抜歯 | 有(上5.5、下5.5) |
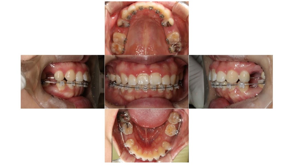
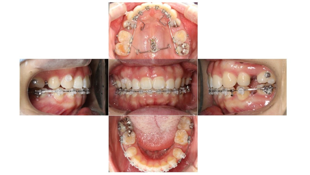
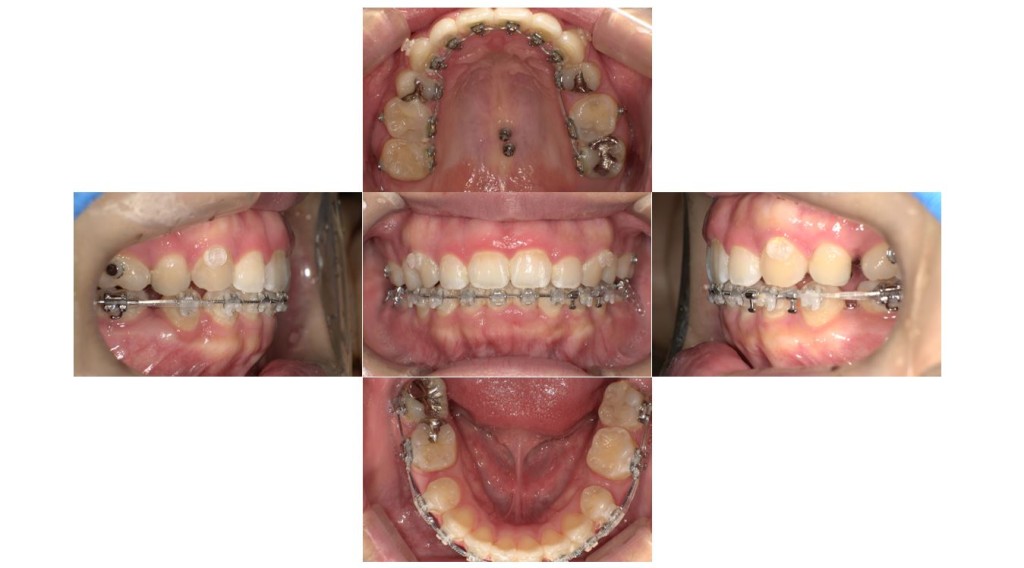
| 矯正の装置 | ハーフリンガル矯正 |
| 副作用、リスク | 歯肉退縮,歯根吸収,疼痛,咬合の違和感,装置の違和感,虫歯,歯肉炎 |