当院の症例





| 年齢層 | 20代 |
|---|---|
| 性別 | 女性 |
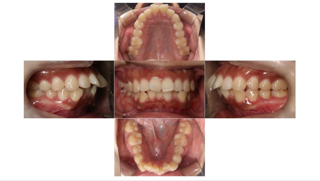
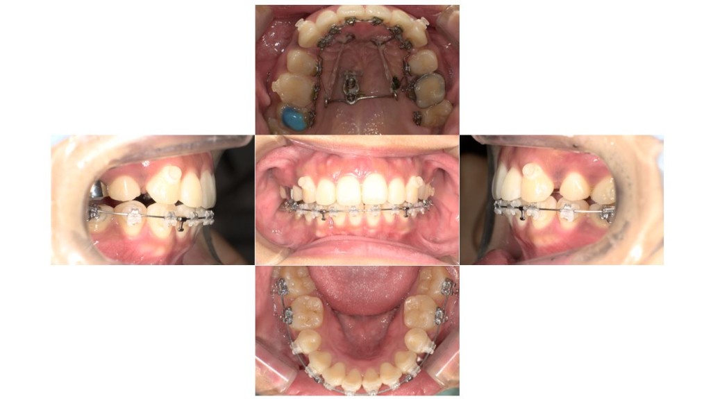
| 主訴 | 上の前歯が2本が傾いており出っ歯にみえるのが気になるため、でこぼこを整えて前歯を下げたい。口元の突出感も気になるので前歯を下げて、横顔(Eライン)も綺麗にしたい。下の前歯のでこぼこも、かみ合わせの改善や虫歯になりずらくするために綺麗にしたい。 |
| 治療費用 | 検査・診断:38,500-/ハーフリンガル矯正治療:1,287,000-(※全て税込) |
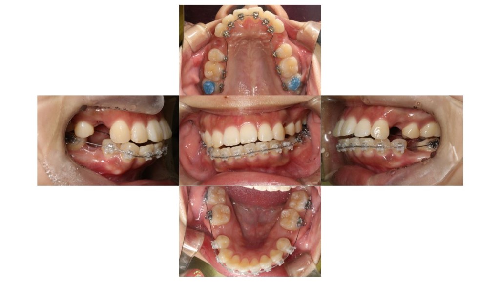
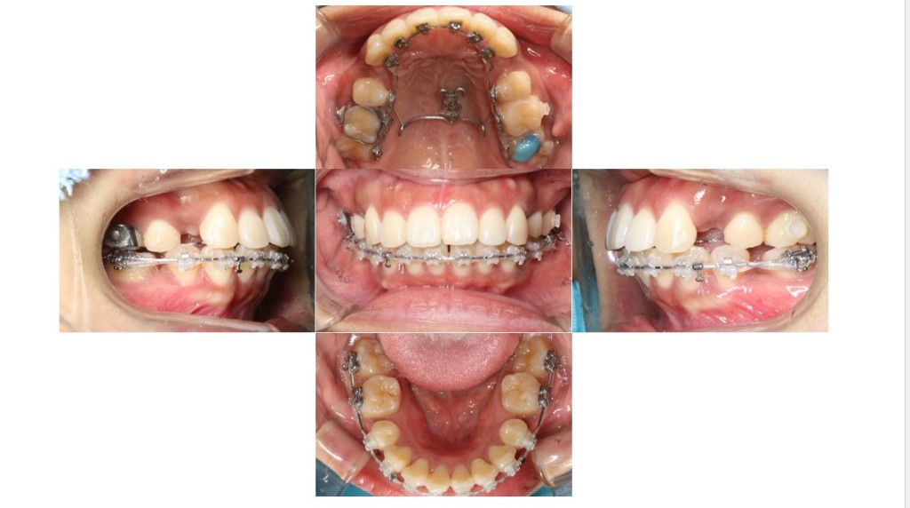
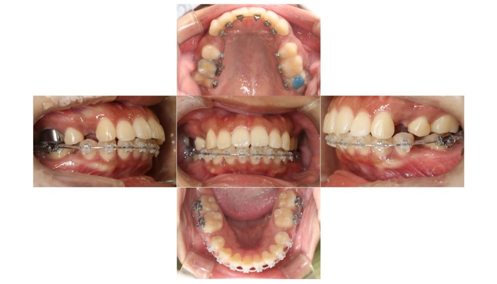
| 治療期間 | 2年1カ月/通院30回 |
| 抜歯 | 有(上4.4、下5.5) |
| 矯正の装置 | ハーフリンガル |
| 副作用、リスク | 歯肉退縮,歯根吸収,疼痛,咬合の違和感,装置の違和感,虫歯,歯肉炎 |