当院の症例





| 年齢層 | 10代 |
|---|---|
| 性別 | 女性 |
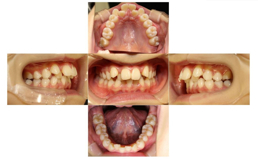
| 主訴 | でこぼこを綺麗に治したいのはもちろん、前歯で噛むことができないのでしっかり噛めるようにしたい。元々下の歯が1本少ないので考慮して見た目と噛み合わせの改善をしてほしい。 |
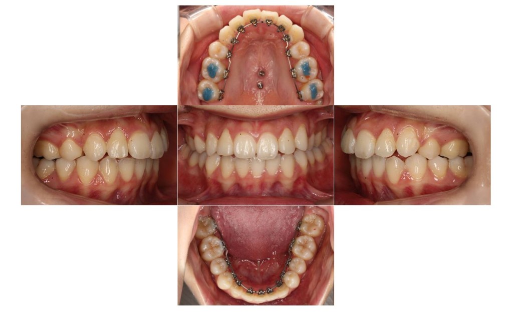
| 治療費用 | 検査・診断:38,500-/リンガル矯正治療:1,397,000-(※全て税込) |
| 治療期間 | 2年(29回) |
| 抜歯 | 有(上4.4) |
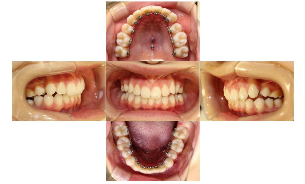
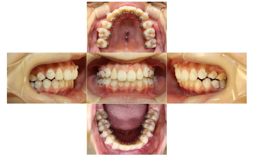
| 矯正の装置 | リンガル矯正 |
| 副作用、リスク | 歯肉退縮,歯根吸収,疼痛,咬合の違和感,装置の違和感,虫歯,歯肉炎 |