menu
close

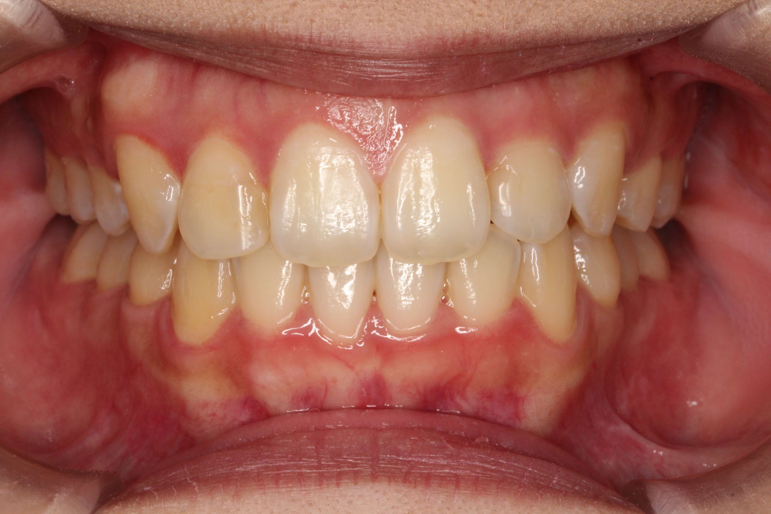
八重歯(ガチャ歯)を治したい

上の歯が出ている・歯のでこぼこ(治療期間:1年8カ月/通院24回)

年齢層 20代
性別 女性
主訴 前歯の隙間と、八重歯が上に出ているのを綺麗に並べたい。笑った時に、綺麗なスマイルラインができるようにしたい
治療費用 検査・診断:38,500-/ハーフリンガル矯正治療:1,287,000-(※全て税込)
治療期間 1年8カ月/通院24回
抜歯 有(上4.4/下5.5)
矯正の装置 ハーフリンガル矯正
副作用、リスク 歯肉退縮,歯根吸収,疼痛,咬合の違和感,装置の違和感,虫歯,歯肉炎
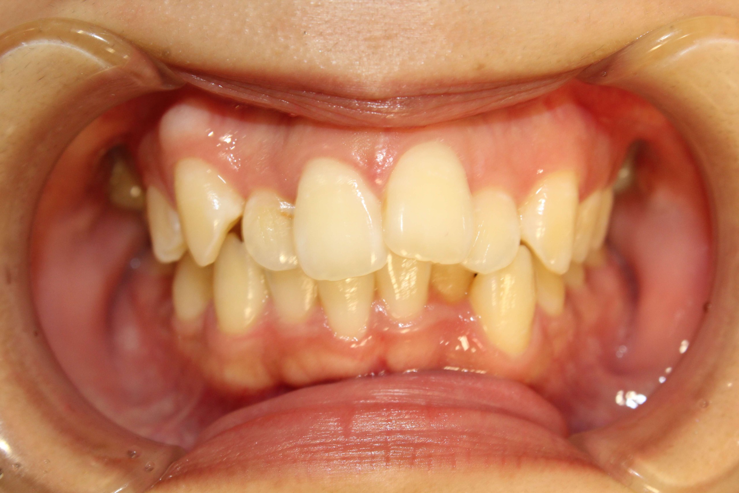
歯のでこぼこ・ハーフリンガルの症例

Before

歯のでこぼこ・ハーフリンガルの症例

After

詳しく見る

前歯のでこぼこ(治療期間:1年/通院16回)

年齢層 20代
性別 女性
主訴 全体的に前歯のがたつきを治したい。特に、右の前歯が前に飛び出しているのが気になります。
治療費用 検査・診断:38,500-/表側矯正治療:1,177,000-(※全て税込)
治療期間 治療期間:1年/通院16回
抜歯 有(上4.4、右下4)
矯正の装置 表側矯正
副作用、リスク 歯肉退縮,歯根吸収,疼痛,咬合の違和感,装置の違和感,虫歯,歯肉炎
前歯のでこぼこ・表側矯正の症例

Before

前歯のでこぼこ・表側矯正の症例

After

詳しく見る

歯のでこぼこを治したい(治療期間2年:通院26回)

年齢層 30代
性別 女性
主訴 上の歯の八重歯だけ飛び出ているのが気になる。でこぼこしていると所によく物が挟まり、歯磨きしにくいのでお手入れしやすくしたい。
治療費用 検査・診断:38,500-/リンガル矯正治療:1,397,000-(※全て税込)
治療期間 2年(26回)
抜歯
矯正の装置 裏側矯正
副作用、リスク 歯肉退縮,歯根吸収,疼痛,咬合の違和感,装置の違和感,虫歯,歯肉炎
でこぼこ・リンガルの症例

Before

でこぼこ・リンガルの症例

After

詳しく見る

歯のでこぼこを治したい(治療期間:2年3か月/通院30回)

年齢層 20代
性別 女性
主訴 八重歯と上下前歯の歯のでこぼこをきれいに治したい。左の奥歯もちゃんと噛めていないので、しっかり噛めるように噛み合わせも整えたい。
治療費用 検査・診断:38,500-/裏側矯正治療:1,397,000-(※全て税込)
治療期間 2年3か月(30回)
抜歯 有(上下4.4)
矯正の装置 裏側矯正(舌側矯正)
副作用、リスク 歯肉退縮,歯根吸収,疼痛,咬合の違和感,装置の違和感,虫歯,歯肉炎
でこぼこ・リンガルの症例

Before

でこぼこ・リンガルの症例

After

詳しく見る

歯のでこぼこ(治療期間:2年6ヶ月/通院32回)

年齢層 20代
性別 女性
主訴 前歯がハの時に開いているので、この傾きを治したい。左上2番が後ろに下がっているのも見た目が良くないので、綺麗に並べたい
治療費用 検査・診断:38,500-/裏側矯正治療:1,397,000-(※全て税込)
治療期間 2年6ヶ月/32回
抜歯 有(左上4)
矯正の装置 裏側矯正
副作用、リスク 歯肉退縮,歯根吸収,疼痛,咬合の違和感,装置の違和感,虫歯,歯肉炎
歯のでこぼこ・裏側矯正の症例

Before

歯のでこぼこ・裏側矯正の症例

After

詳しく見る

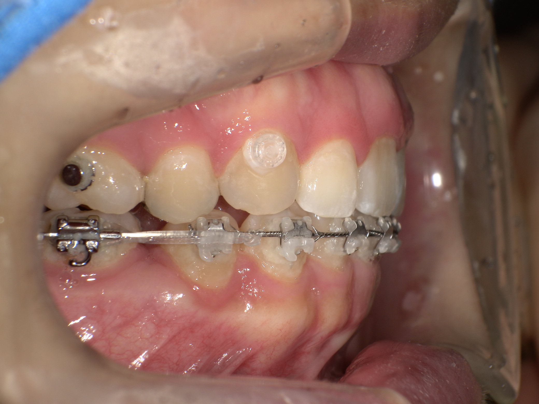
でこぼこと噛み合わせが深いのを治したい(治療期間:2年6カ月/通院35回)

年齢層 20代
性別 女性
主訴 【主訴】前歯がでこぼこしているのを、食いしばりがひどいので噛み合わせが深いのを治して見た目も歯の健康も良くしたい
治療費用 検査・診断:38,500-/裏側矯正治療:1,397,000-(※全て税込)
治療期間 2年半(35回)
抜歯 無(非抜歯)
矯正の装置 裏側矯正(舌側矯正)
副作用、リスク 歯肉退縮,歯根吸収,疼痛,咬合の違和感,装置の違和感,虫歯,歯肉炎
でこぼこ・噛み合わせが深いリンガルの症例

Before

でこぼこ・噛み合わせが深いリンガルの症例

After

詳しく見る

歯のでこぼこを治したい(治療期間:2年/通院29回)

年齢層 20代
性別 女性
主訴 上と下の前歯のでこぼこが気になる。特に上の前歯のでこぼこが酷く、前から見ても横から見ても目立つので治したい。又、でこぼこがあるので歯磨きもしにくく、歯の健康の為にも綺麗にしたい。
治療費用 検査・診断:38,500-/裏側矯正治療:1,397,000-(※全て税込)
治療期間 2年(29回)
抜歯 有(上4.4)
矯正の装置 裏側矯正(舌側矯正)
副作用、リスク 歯肉退縮,歯根吸収,疼痛,咬合の違和感,装置の違和感,虫歯,歯肉炎
でこぼこ改善・リンガル裏側矯正の症例

Before

でこぼこ改善・リンガルの症例

After

詳しく見る

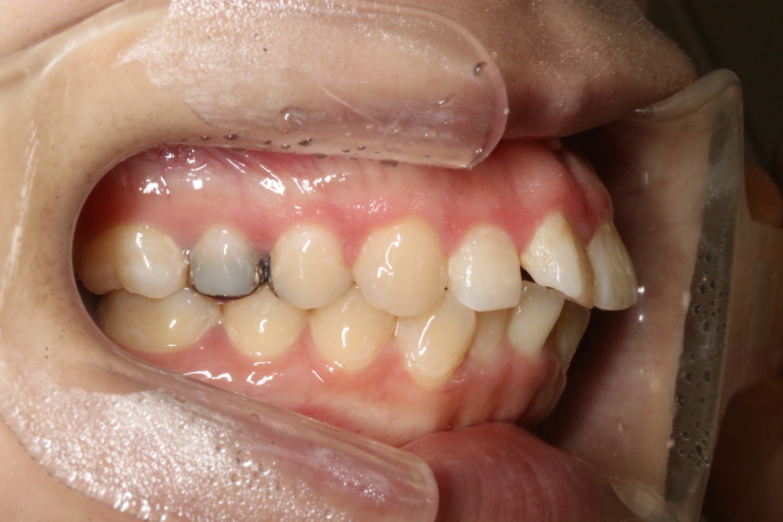
上の歯が出ている(治療期間:1年8カ月/通院28回)

年齢層 30代
性別 女性
主訴 前歯が出ていて口が閉じにくく、横顔の印象も気になるため、矯正で改善したいと考えている。下の前歯のでこぼこも綺麗に整えて歯石がたまりにくい歯並びにしたい。
治療費用 検査・診断:38,500-/ハーフリンガル矯正治療:1,287,000-(※全て税込)
治療期間 1年8カ月(28回)
抜歯 有(上5.5、下5.5)
矯正の装置 ハーフリンガル矯正
副作用、リスク 歯肉退縮,歯根吸収,疼痛,咬合の違和感,装置の違和感,虫歯,歯肉炎
上の歯が出ている・ハーフリンガル矯正の症例

Before

上の歯が出ている・ハーフリンガル矯正の症例

After

詳しく見る

歯のでこぼこ、噛み合わせを治したい(治療期間:2年/通院32回)

年齢層 40代
性別 女性
主訴 上の前歯2本は出ていて、前歯の隣の歯は内側に入っており凸凹が大きい、下前歯の重なりや傾きも目立つので綺麗に並べたい。凸凹がある為、歯磨きもしにくく虫歯ができないようにしたい。
治療費用 検査・診断:38,500-/リンガル矯正治療:1,397,000-(※全て税込)
治療期間 2年
抜歯
矯正の装置 リンガル矯正
副作用、リスク 歯肉退縮,歯根吸収,疼痛,咬合の違和感,装置の違和感,虫歯,歯肉炎
歯の凸凹・リンガルの症例

Before

歯の凸凹・リンガルの症例

After

詳しく見る

歯のでこぼこ、口元下げたい(治療期間:2年1カ月/通院30回)

年齢層 20代 
性別 女性
主訴 上の前歯が2本が傾いており出っ歯にみえるのが気になるため、でこぼこを整えて前歯を下げたい。口元の突出感も気になるので前歯を下げて、横顔(Eライン)も綺麗にしたい。下の前歯のでこぼこも、かみ合わせの改善や虫歯になりずらくするために綺麗にしたい。
治療費用 検査・診断:38,500-/ハーフリンガル矯正治療:1,287,000-(※全て税込)
治療期間 2年1カ月/通院30回
抜歯 有(上4.4、下5.5)
矯正の装置 ハーフリンガル
副作用、リスク 歯肉退縮,歯根吸収,疼痛,咬合の違和感,装置の違和感,虫歯,歯肉炎
歯のでこぼこ・ハーフリンガルの症例

Before

歯のでこぼこ・ハーフリンガルの症例

After

詳しく見る

凸凹を治したい

年齢層 20代
性別 女性
主訴 【主訴】歯の凸凹を治したい
治療費用 検査・診断:38,500-/ハーフリンガル矯正治療:1,287,000-(※全て税込)
治療期間 1年(20回)
抜歯 有(上4.4、下4.5)
矯正の装置 ハーフリンガル矯正
副作用、リスク 歯肉退縮,歯根吸収,疼痛,咬合の違和感,装置の違和感,虫歯,歯肉炎

Before

After

詳しく見る

歯の凸凹を治したい

年齢層 20代
性別 女性
主訴 【主訴】歯の凸凹を治したい、かみ合わせを良くしたい
治療費用 検査・診断:38,500-/裏側矯正治療:1,397,000-(※全て税込
治療期間 1年7ヶ月(23回)
抜歯 有(上4.4 下4.4)
矯正の装置 裏側矯正
副作用、リスク 歯肉退縮,歯根吸収,疼痛,咬合の違和感,装置の違和感,虫歯,歯肉炎

Before

After

詳しく見る

歯の凸凹を治したい

年齢層 20代
性別 男性
主訴 【主訴】歯の凸凹を治したい
治療費用 検査・診断:38,500-/裏側矯正治療:1,397,000-(※全て税込)
治療期間 2年半(36回)
抜歯 有(上4.4)
矯正の装置 裏側矯正
副作用、リスク 歯肉退縮,歯根吸収,疼痛,咬合の違和感,装置の違和感,虫歯,歯肉炎

Before

After

詳しく見る

歯の凸凹を治したい

年齢層 20代
性別 女性
主訴 【主訴】歯の凸凹を治したい
治療費用 検査・診断:38,500-/裏側矯正治療:1,397,000-(※全て税込)
治療期間 2年11ヶ月(27回)
抜歯 有(上4.4)
矯正の装置 裏側矯正(舌側矯正)
副作用、リスク 歯肉退縮,歯根吸収,疼痛,咬合の違和感,装置の違和感,虫歯,歯肉炎

Before

After

詳しく見る

凸凹を治したい

年齢層 20代
性別 男性
主訴 【主訴】凸凹
治療費用 検査・診断:38,500-/ハーフリンガル矯正治療:1,287,000-(※全て税込)
治療期間 1年(20回)
抜歯 有(上4.4、下4.4)
矯正の装置 ハーフリンガル矯正
副作用、リスク 歯肉退縮,歯根吸収,疼痛,咬合の違和感,装置の違和感,虫歯,歯肉炎

Before

After

詳しく見る

歯の凸凹を治したい

年齢層 20代
性別 女性
主訴 【主訴】歯の凸凹を治したい
治療費用 検査・診断:38,500-/ハーフリンガル矯正治療:1,287,000-(※全て税込)
治療期間 約2年(26回)
抜歯 有(上4.4下5.5)
矯正の装置 ハーフリンガル矯正
副作用、リスク 歯肉退縮,歯根吸収,疼痛,咬合の違和感,装置の違和感,虫歯,歯肉炎

Before

After

詳しく見る

歯の凸凹を治したい

年齢層 20代
性別 女性
主訴 【主訴】歯の凸凹を治したい
治療費用 検査・診断:38,500-/表側矯正治療:1,177,000-(※全て税込)
治療期間 10カ月(15回)
抜歯 有(上2.2、下5.5)
矯正の装置 表側矯正
副作用、リスク 歯肉退縮,歯根吸収,疼痛,咬合の違和感,装置の違和感,虫歯,歯肉炎

Before

After

詳しく見る

歯の凸凹を治したい

年齢層 30代
性別 男性
主訴 【主訴】歯の凸凹を治したい
治療費用 検査・診断:38,500-/ハーフリンガル矯正治療:1,287,000-(※全て税込)
治療期間 約1年半(25回)
抜歯 有(右上4、下4.4)
矯正の装置 ハーフリンガル矯正
副作用、リスク 歯肉退縮,歯根吸収,疼痛,咬合の違和感,装置の違和感,虫歯,歯肉炎

Before

After

詳しく見る

歯の凸凹を治したい

年齢層 20代
性別 男性
主訴 【主訴】前歯の凸凹を治したい、前歯が出ている
治療費用 検査・診断:38,500-/裏側矯正治療:1,397,000-(※全て税込)
治療期間 2年3カ月(30回)
抜歯 有(上4.4、左下4)
矯正の装置 裏側矯正(舌側矯正)
副作用、リスク 歯肉退縮,歯根吸収,疼痛,咬合の違和感,装置の違和感,虫歯,歯肉炎
case_37_叢生_初診時

Before

case_37_叢生_終了時

After

詳しく見る

歯の凸凹を治したい

年齢層 20代
性別 女性
主訴 【主訴】前歯の凸凹を治したい
治療費用 検査・診断:38,500-/裏側矯正治療:1,397,000-(※全て税込)
治療期間 約1年半(24回)
抜歯 無(非抜歯)
矯正の装置 裏側矯正(舌側矯正)
副作用、リスク 歯肉退縮,歯根吸収,疼痛,咬合の違和感,装置の違和感,虫歯,歯肉炎
case_34_叢生_初診時

Before

case_34_叢生_終了時

After

詳しく見る