menu
close

当院の症例

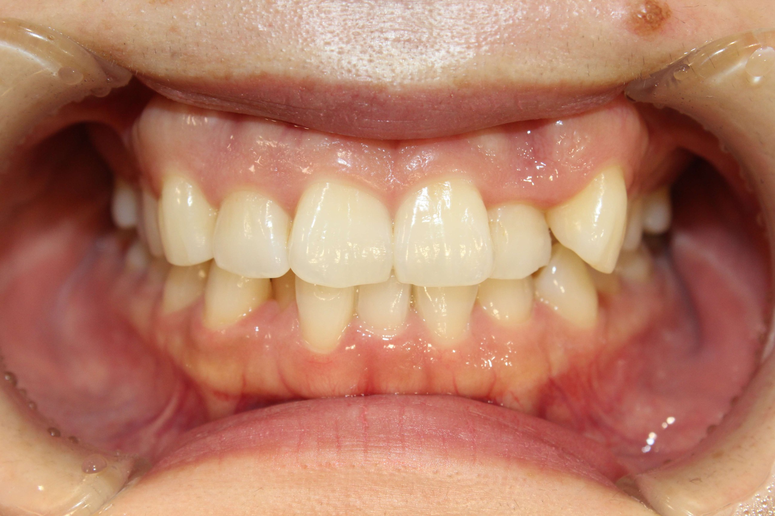
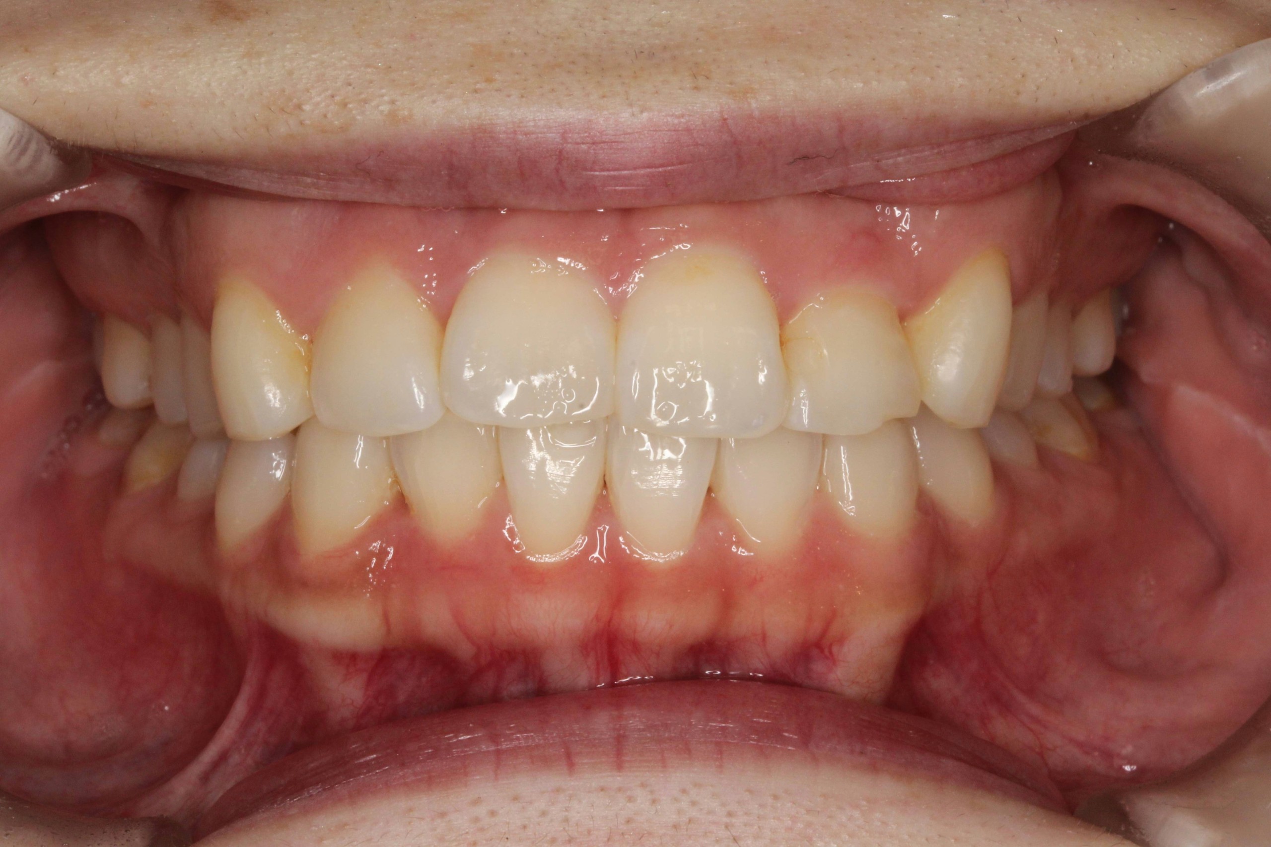
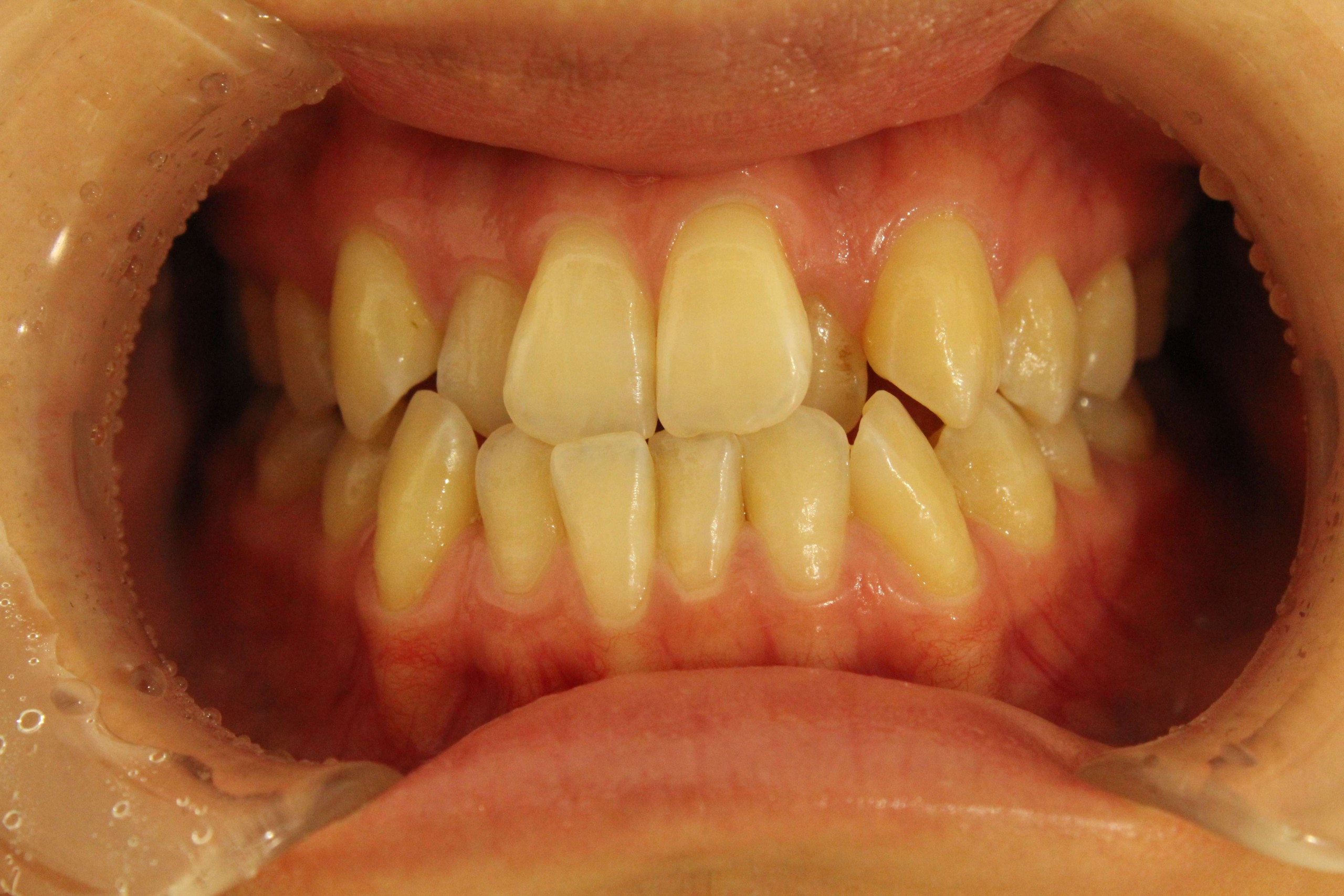
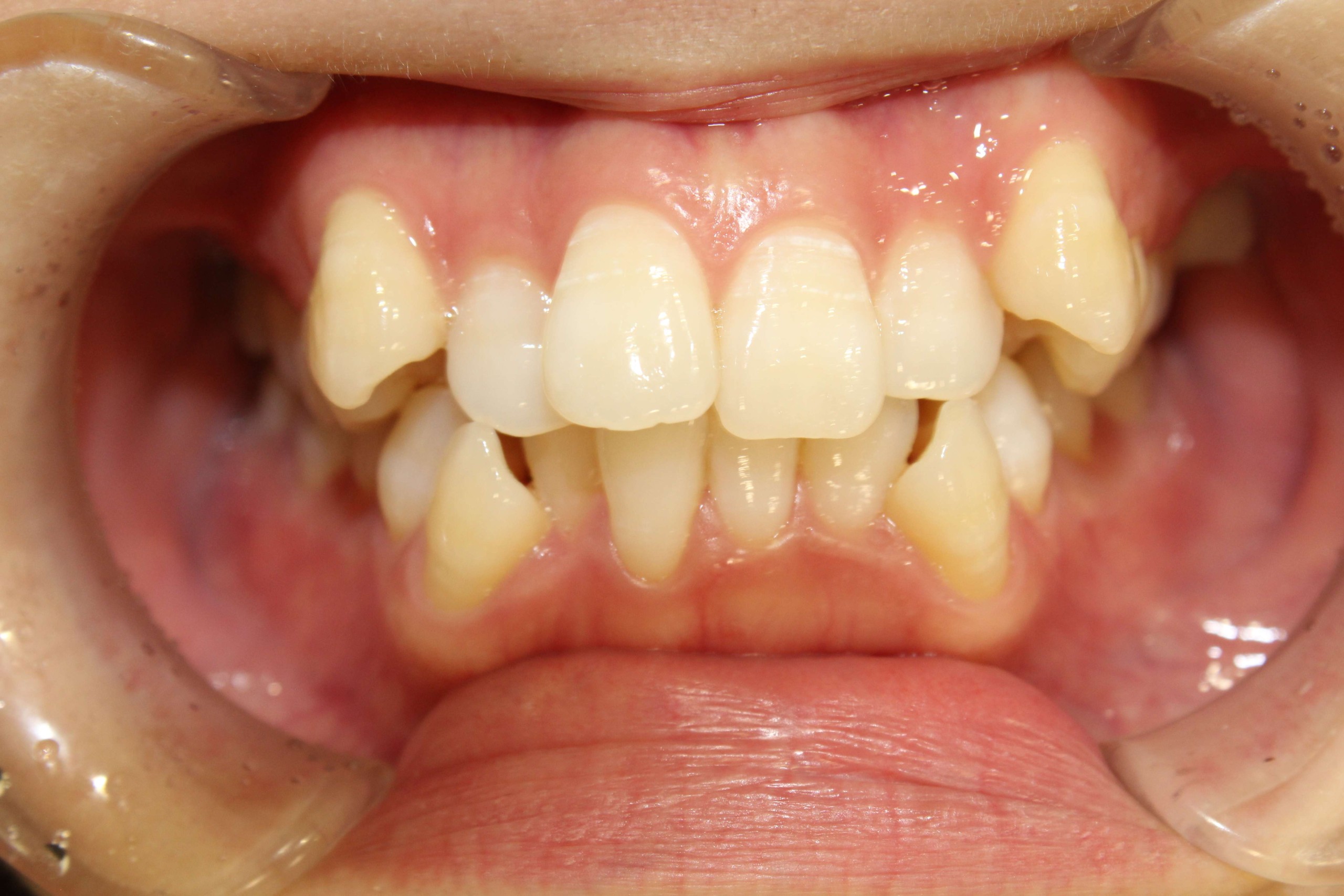
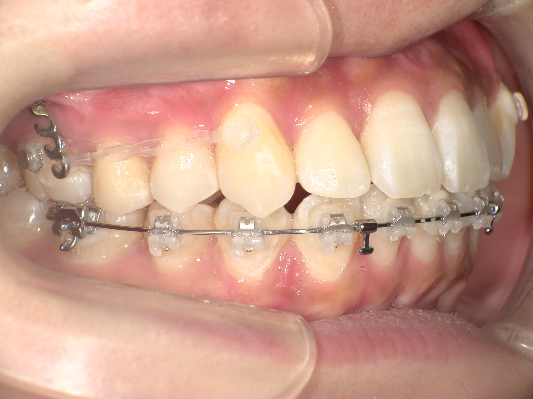
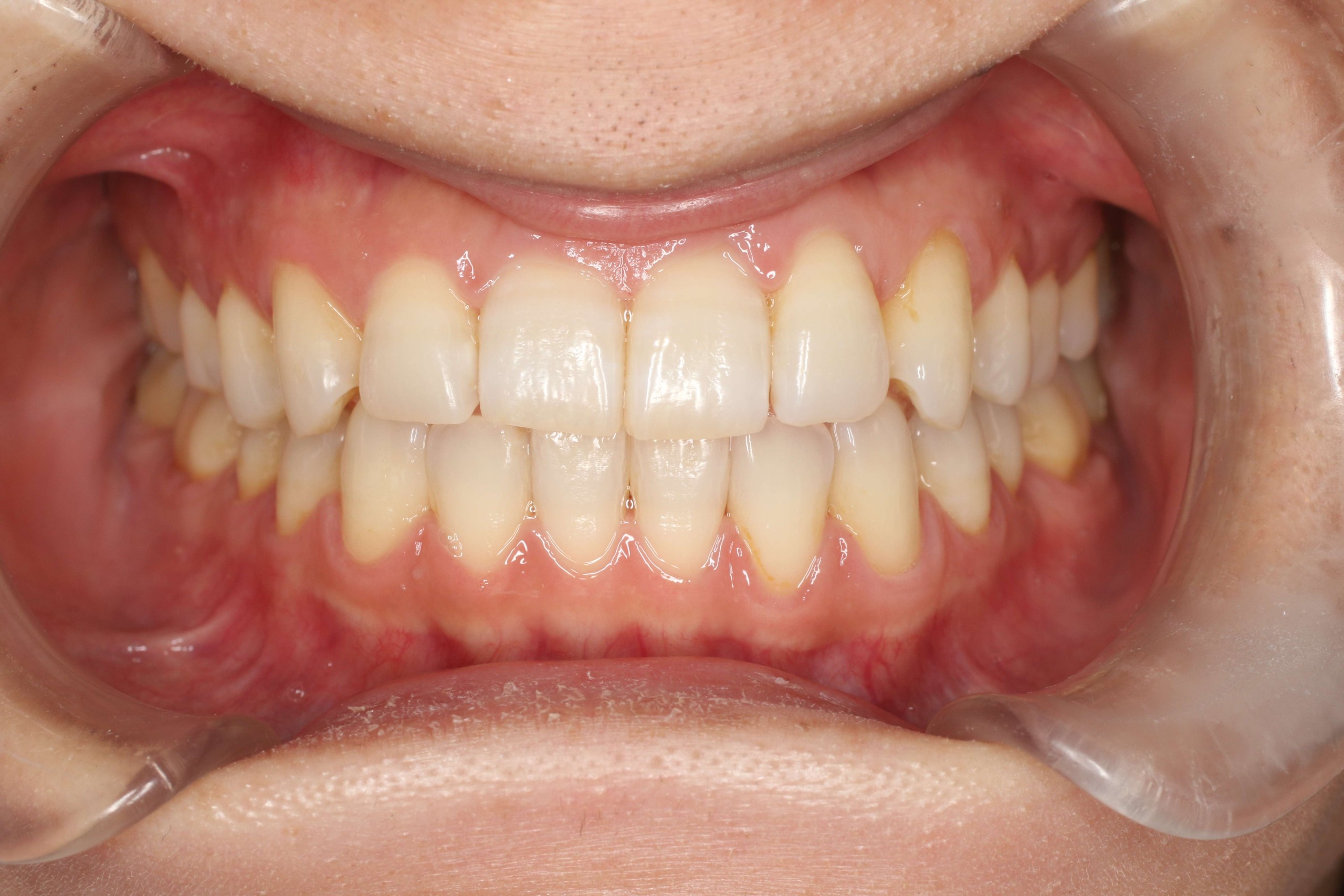
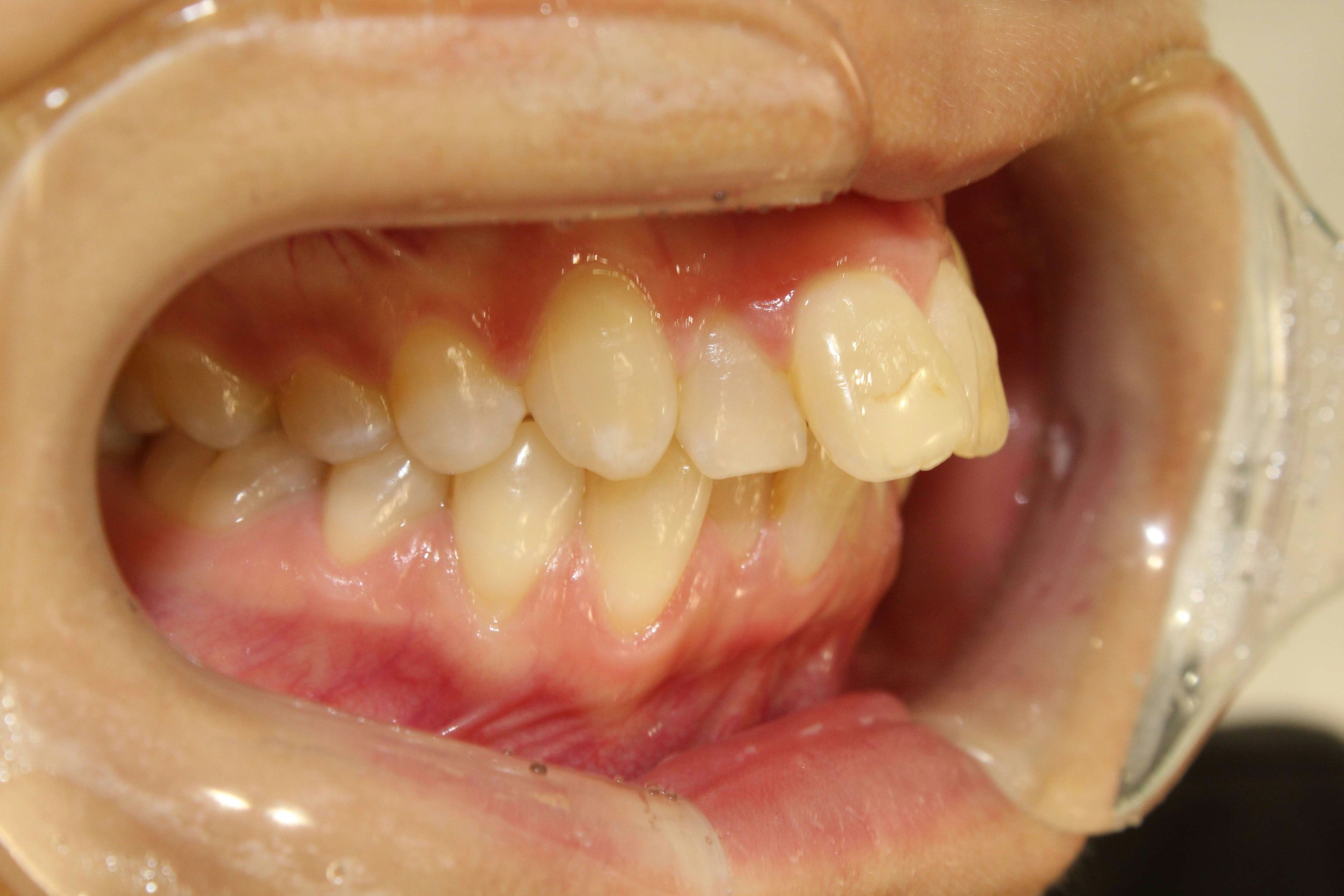
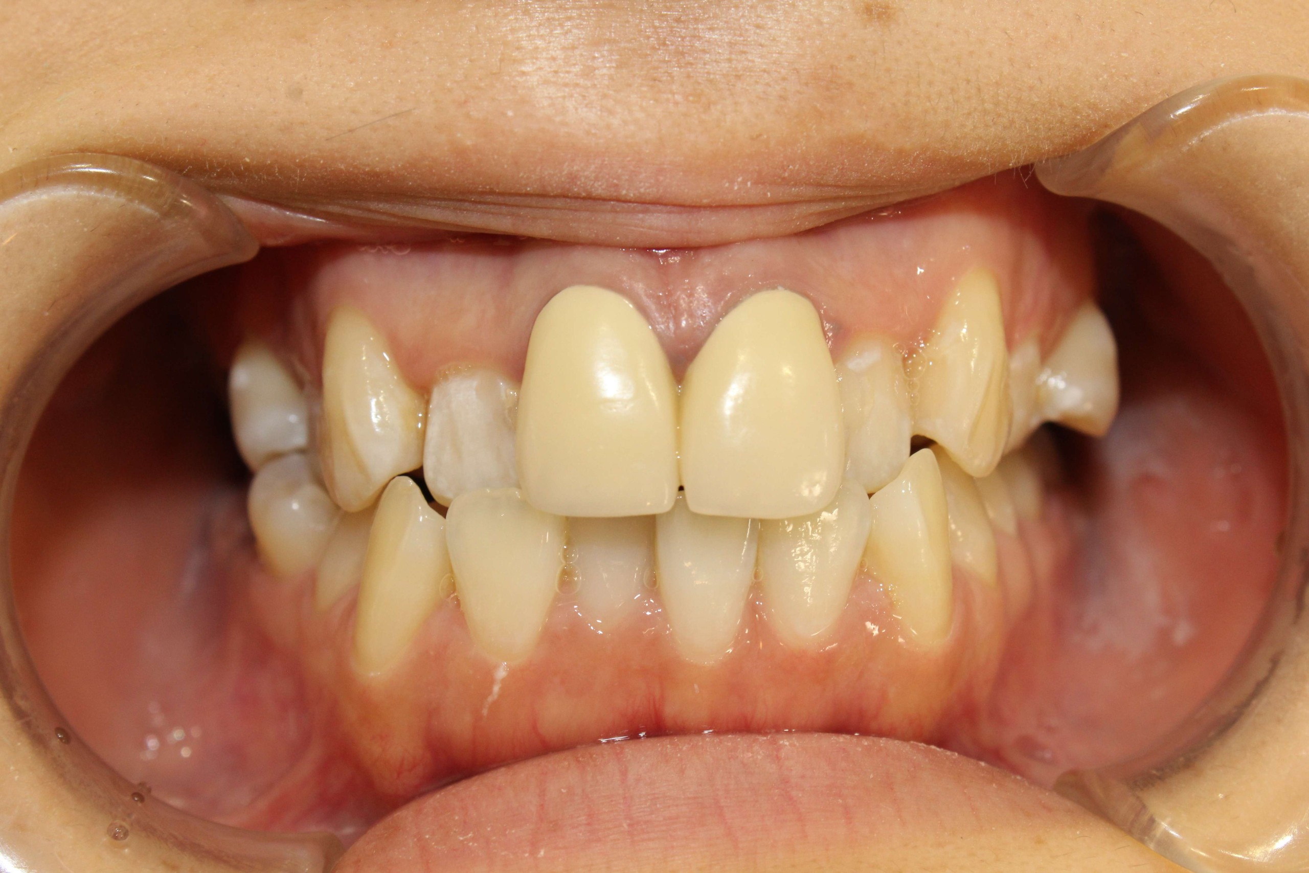
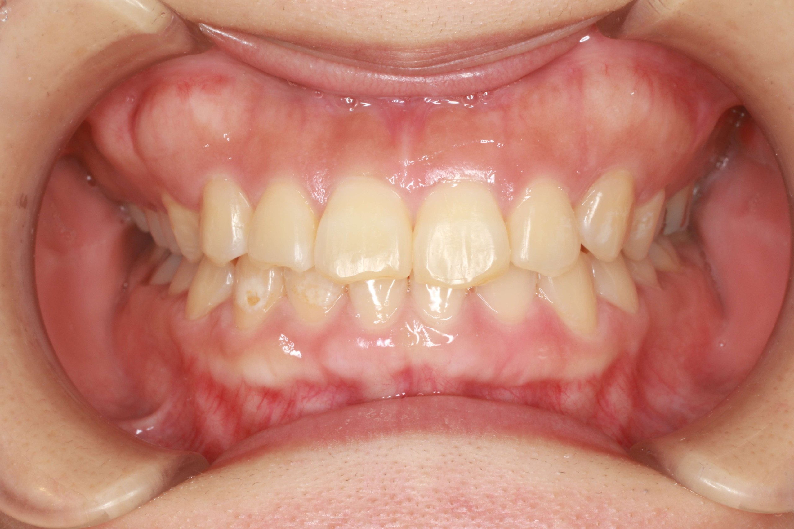
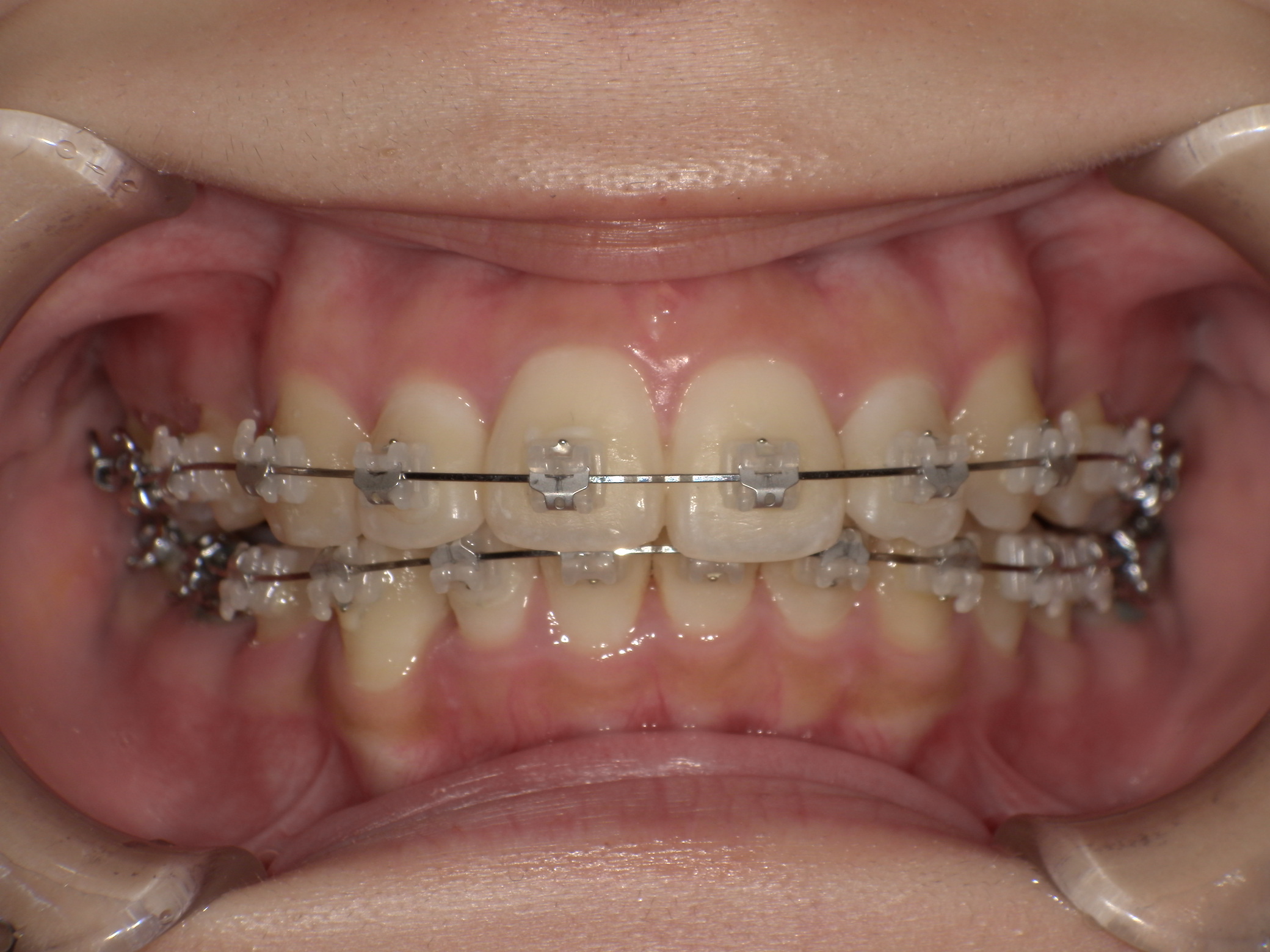
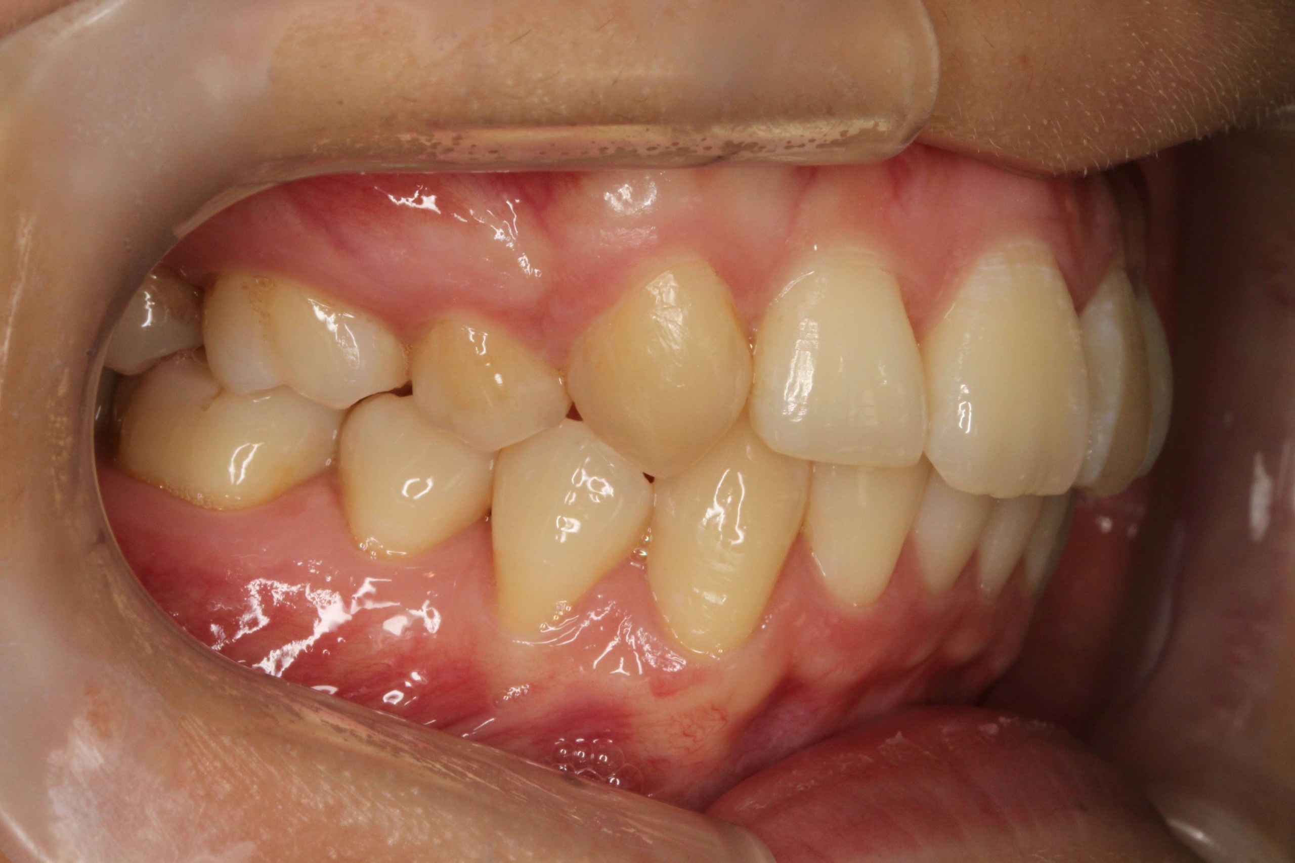
上の歯が出ている・口元下げたい(治療期間:2年6カ月/通院35回)

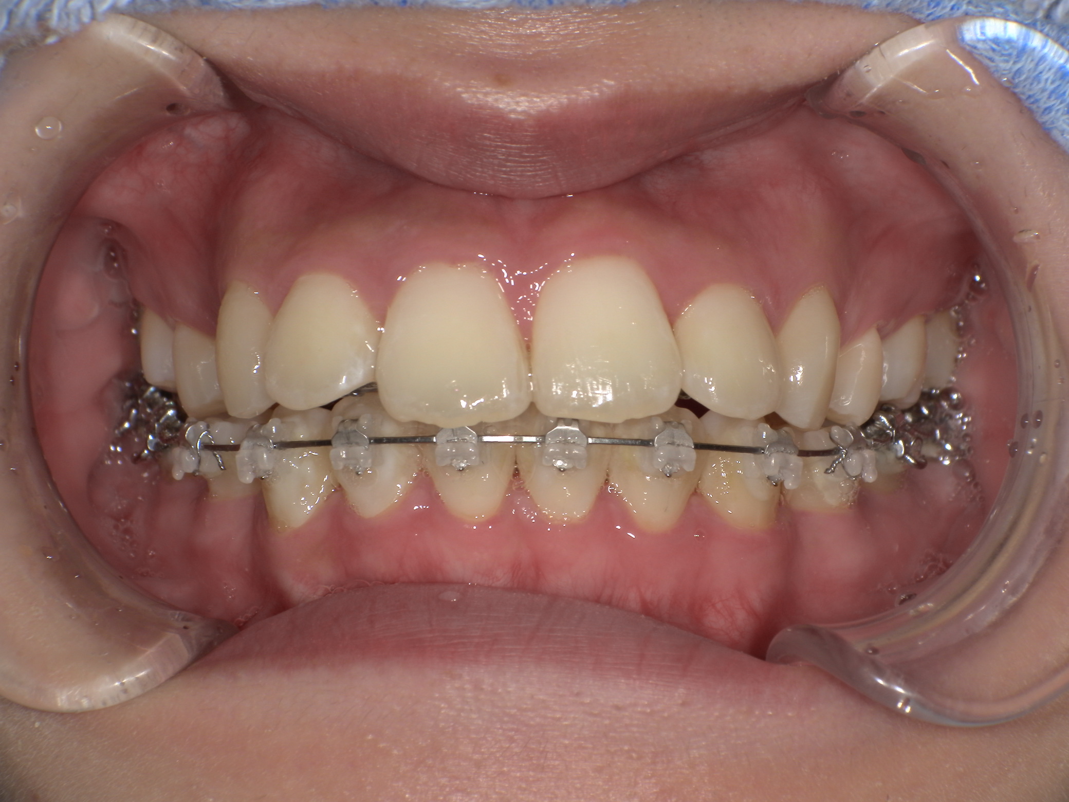
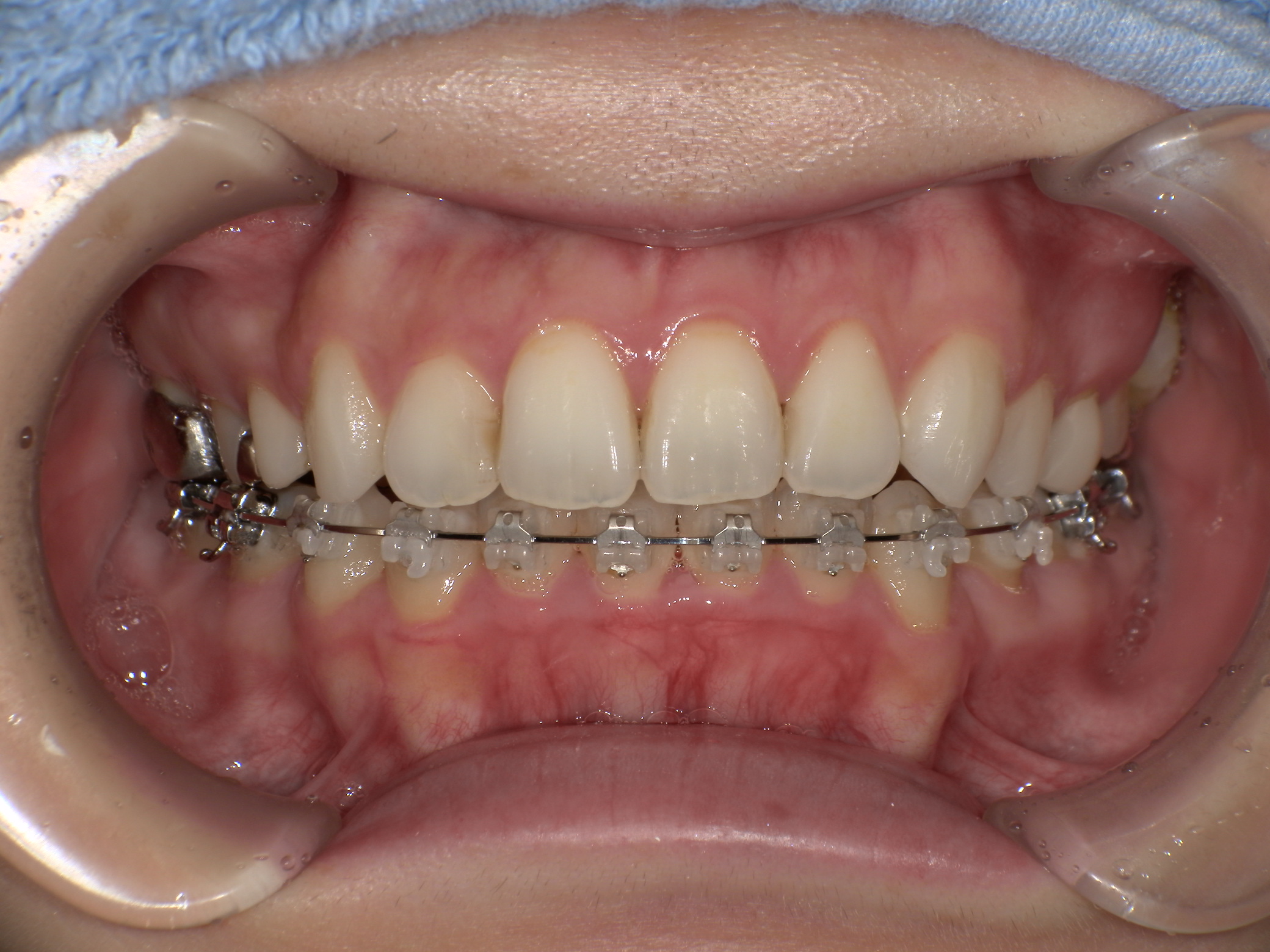
上の歯が出ている・リンガルの症例

Before

上の歯が出ている・リンガルの症例

After

年齢層 20代
性別 女性
主訴 上の歯が出ていて口が閉じにくい、口元を下げて綺麗なEラインにしたい。噛んだ時に下の歯と上の歯の間に隙間があり、前歯で噛めないので噛めるようにしたい。
治療費用 検査・診断:38,500-/裏側矯正治療:1,397,000-(※全て税込)
治療期間 約2年6か月/通院35回
抜歯 有(上4.4/左下2)下顎前歯欠如歯あり
矯正の装置 裏側矯正(舌側矯正)
副作用、リスク 歯肉退縮,歯根吸収,疼痛,咬合の違和感,装置の違和感,虫歯,歯肉炎
詳しく見る

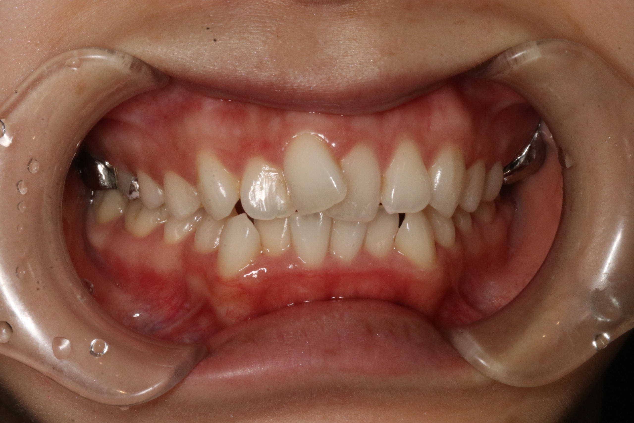
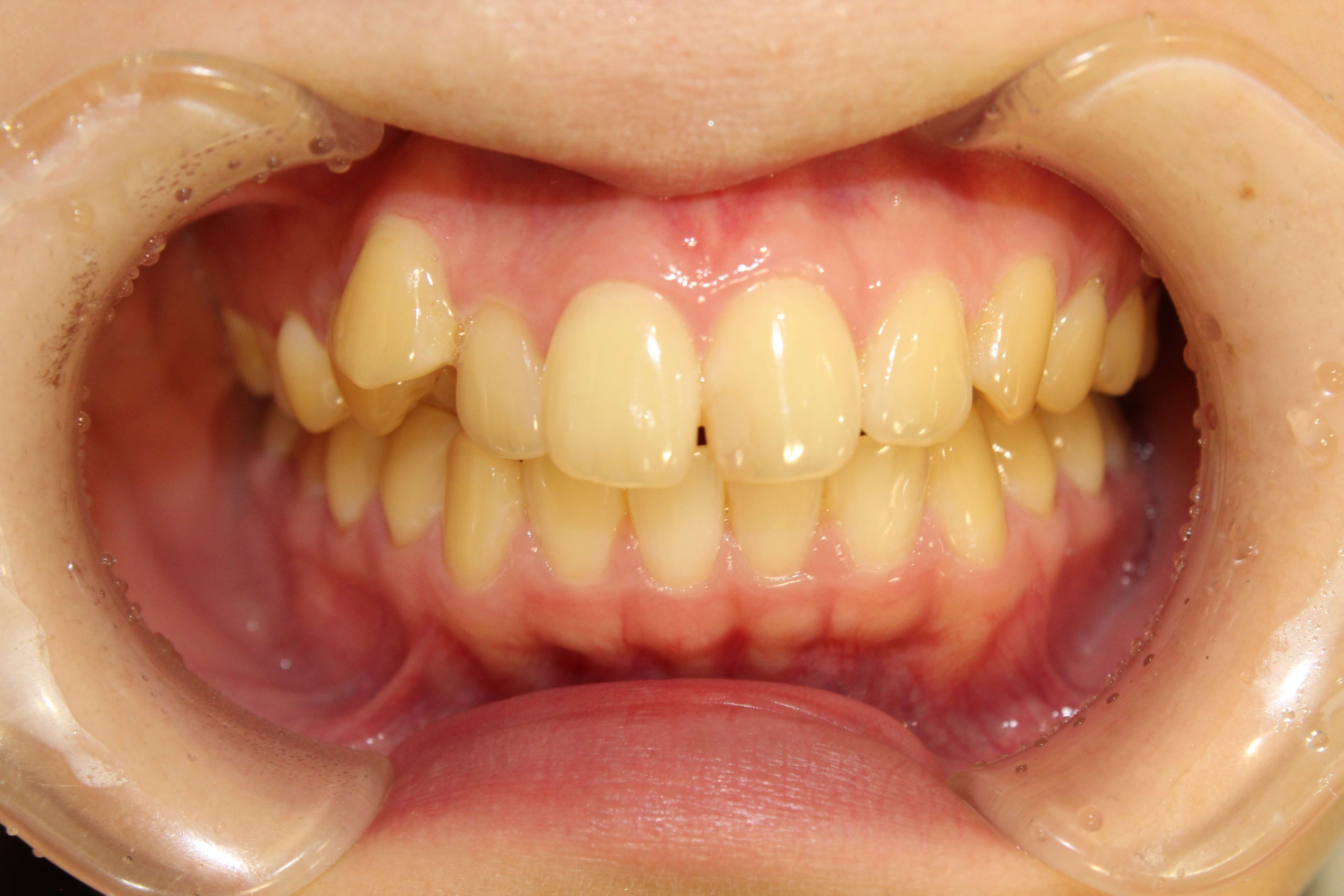
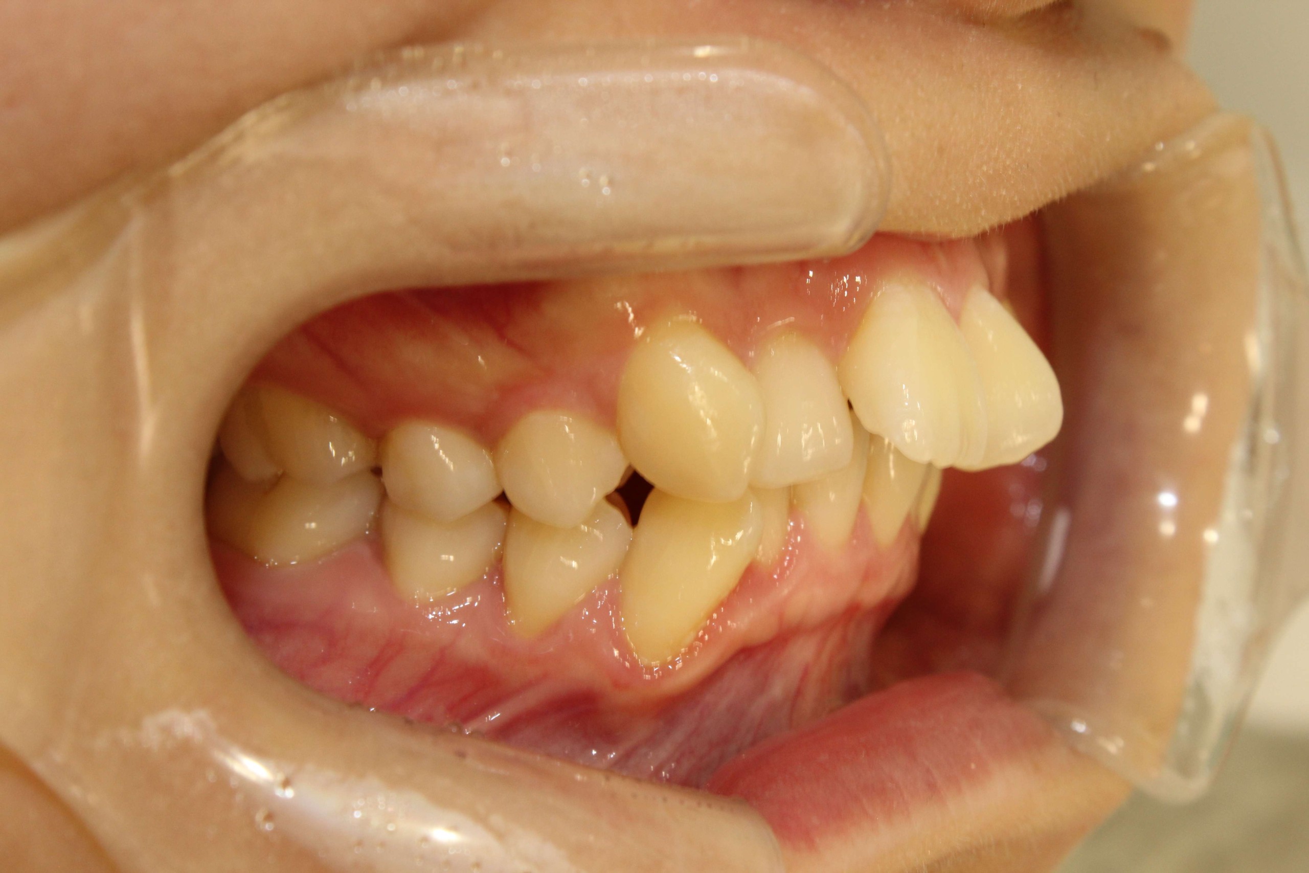
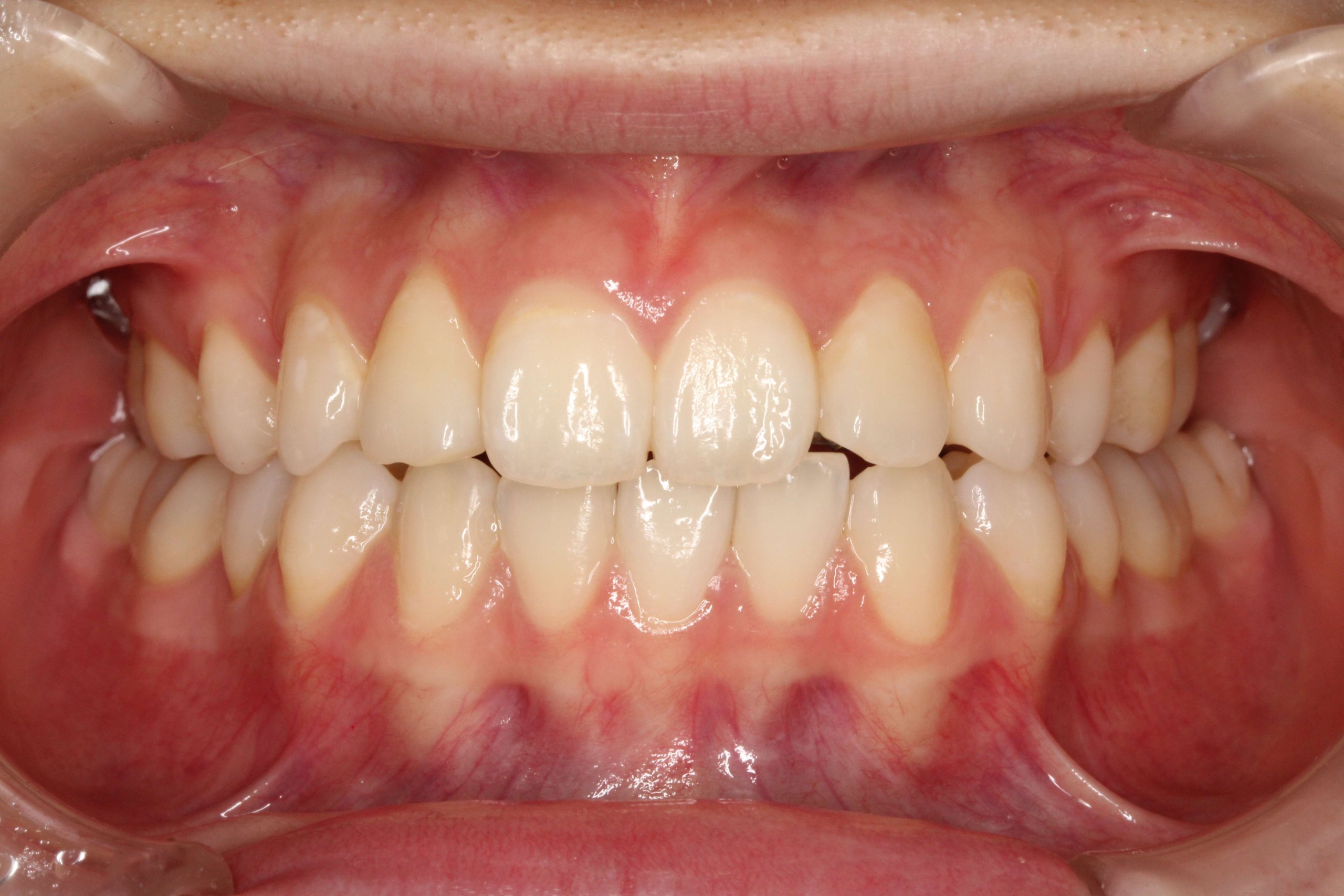
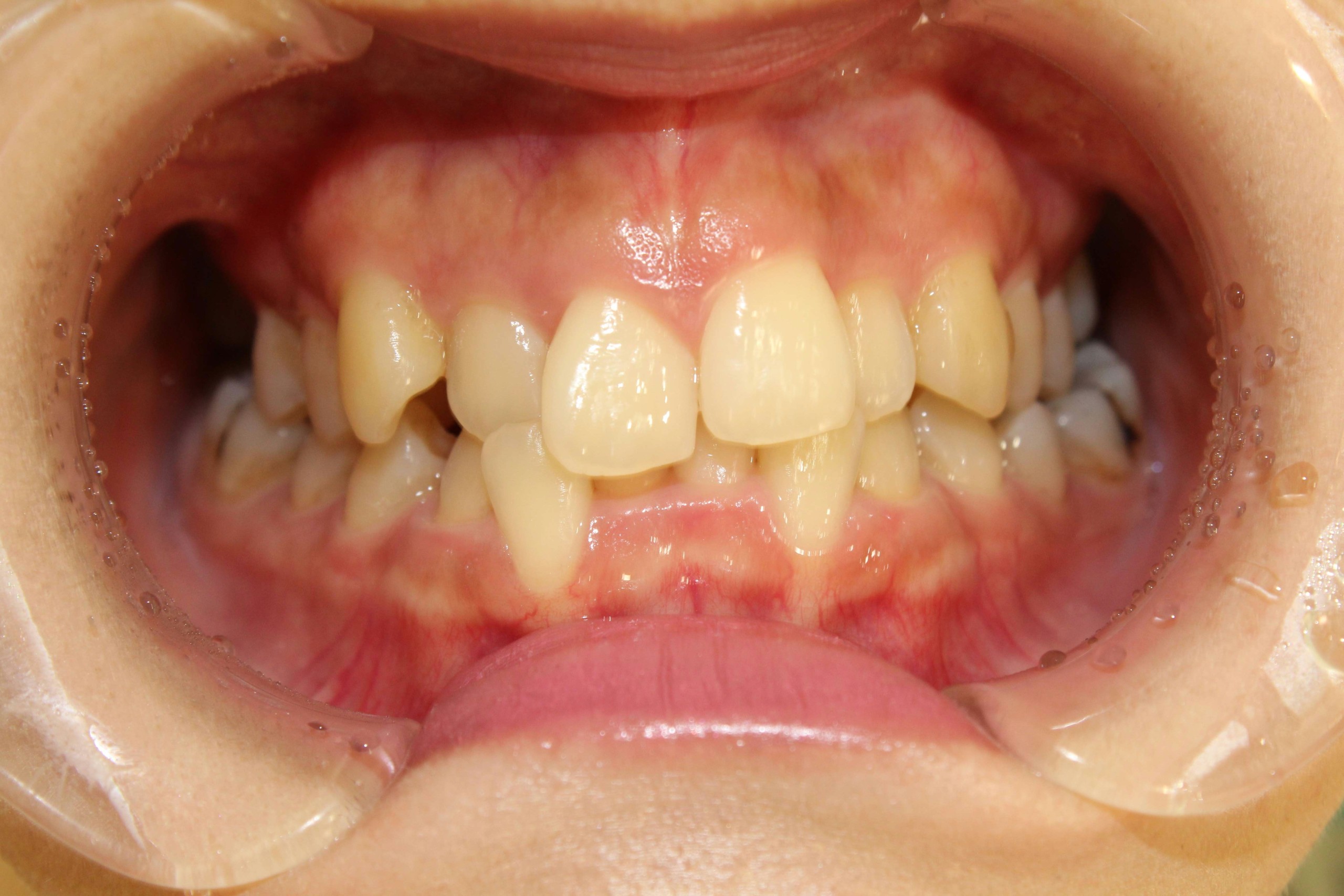
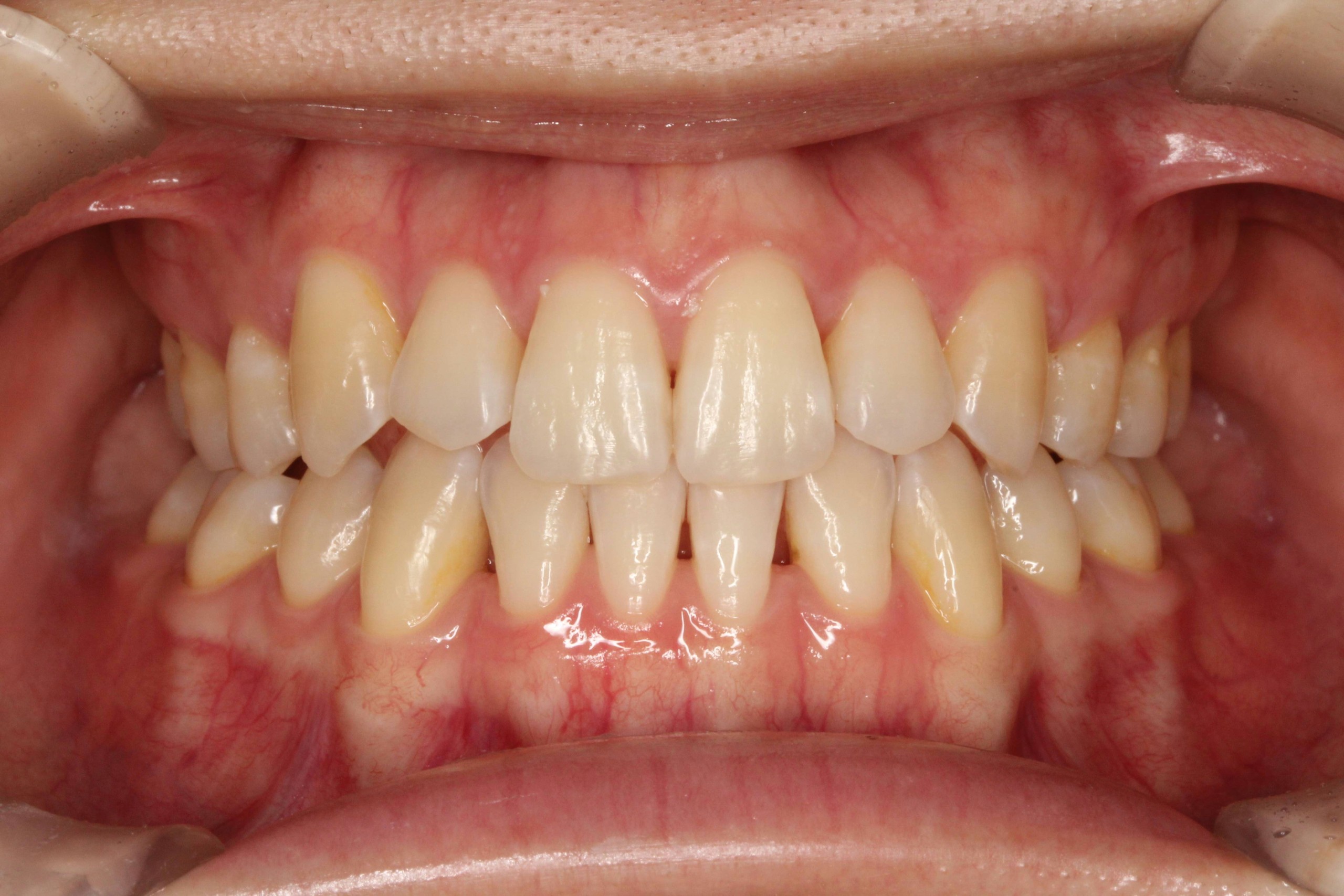
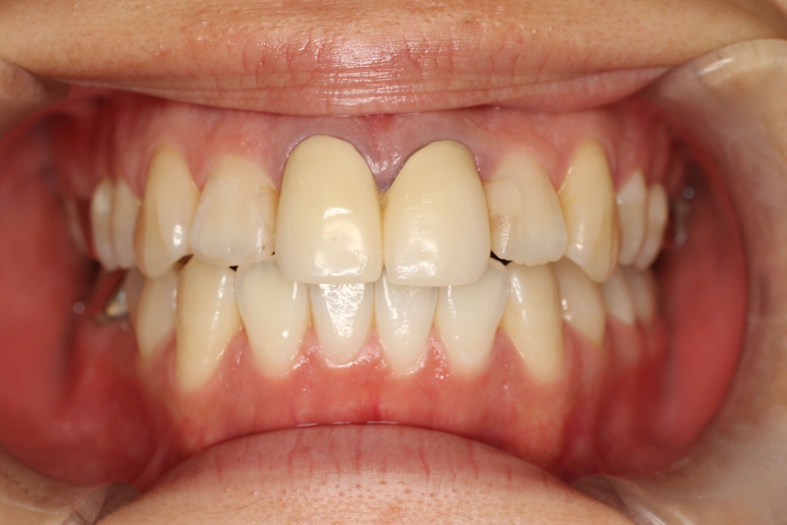
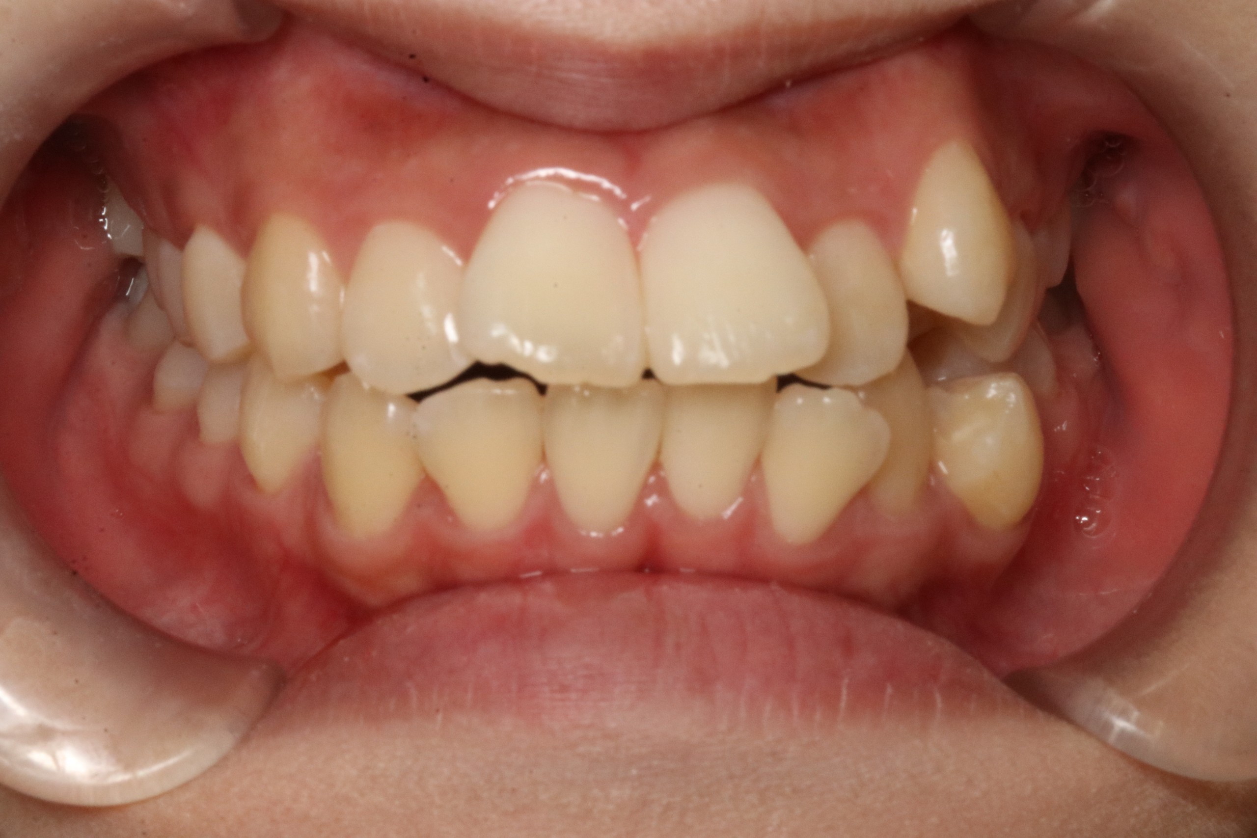
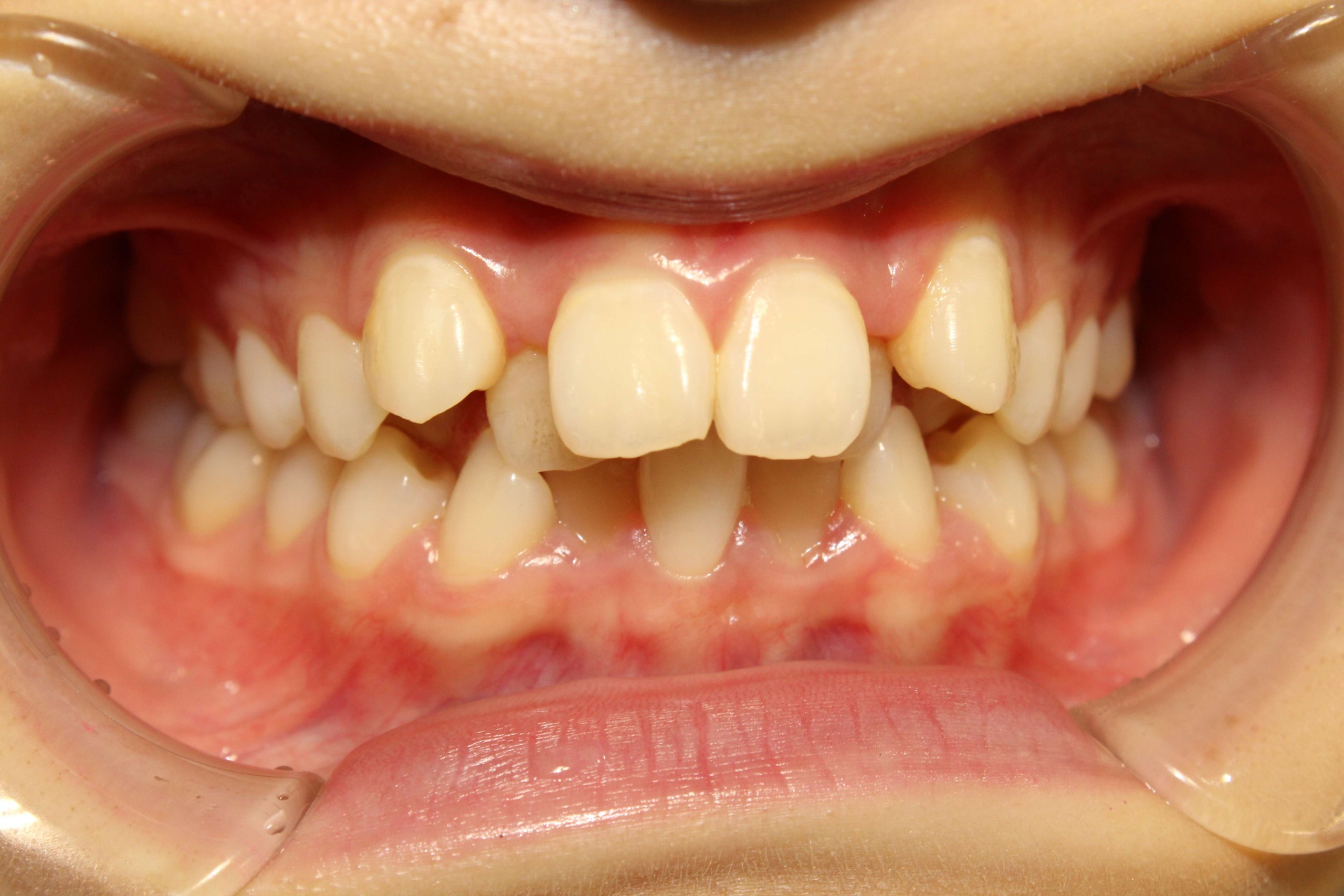
上の歯が出ている(治療期間:2年6カ月/通院29回)

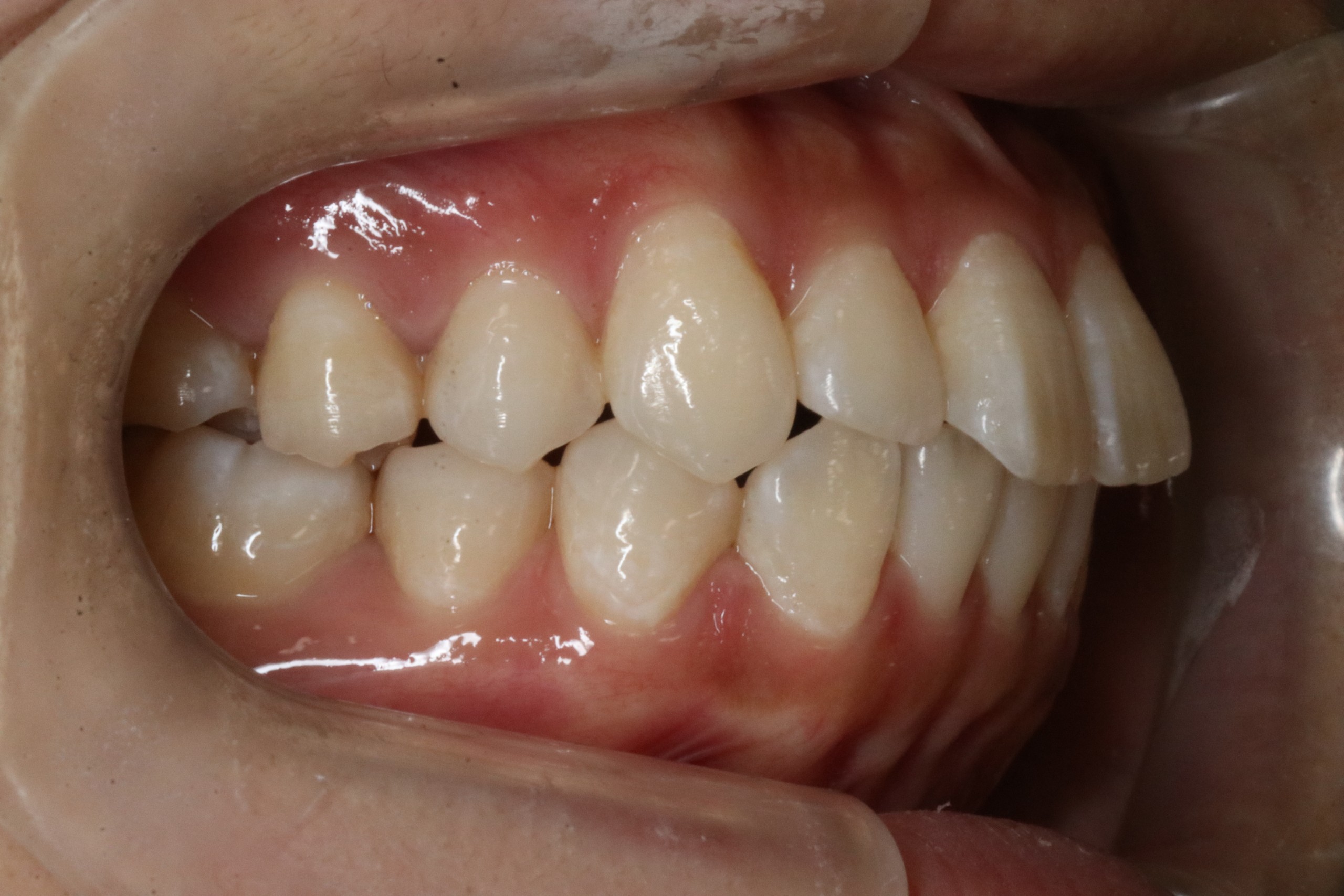
出っ歯・リンガルの症例

Before

出っ歯・リンガルの症例

After

年齢層 20代
性別 男性
主訴 上の前歯2本が外に飛び出ているため、口が閉じにくく、笑うのに抵抗があり綺麗にしたい。
治療費用 検査・診断:38,500-/裏側矯正治療:1,397,000-(※全て税込)
治療期間 2年6カ月(29回)
抜歯 有(左上4番)
矯正の装置 裏側矯正
副作用、リスク 歯肉退縮,歯根吸収,疼痛,咬合の違和感,装置の違和感,虫歯,歯肉炎
詳しく見る

上の歯が出ている・歯のでこぼこ(治療期間:1年8カ月/通院24回)

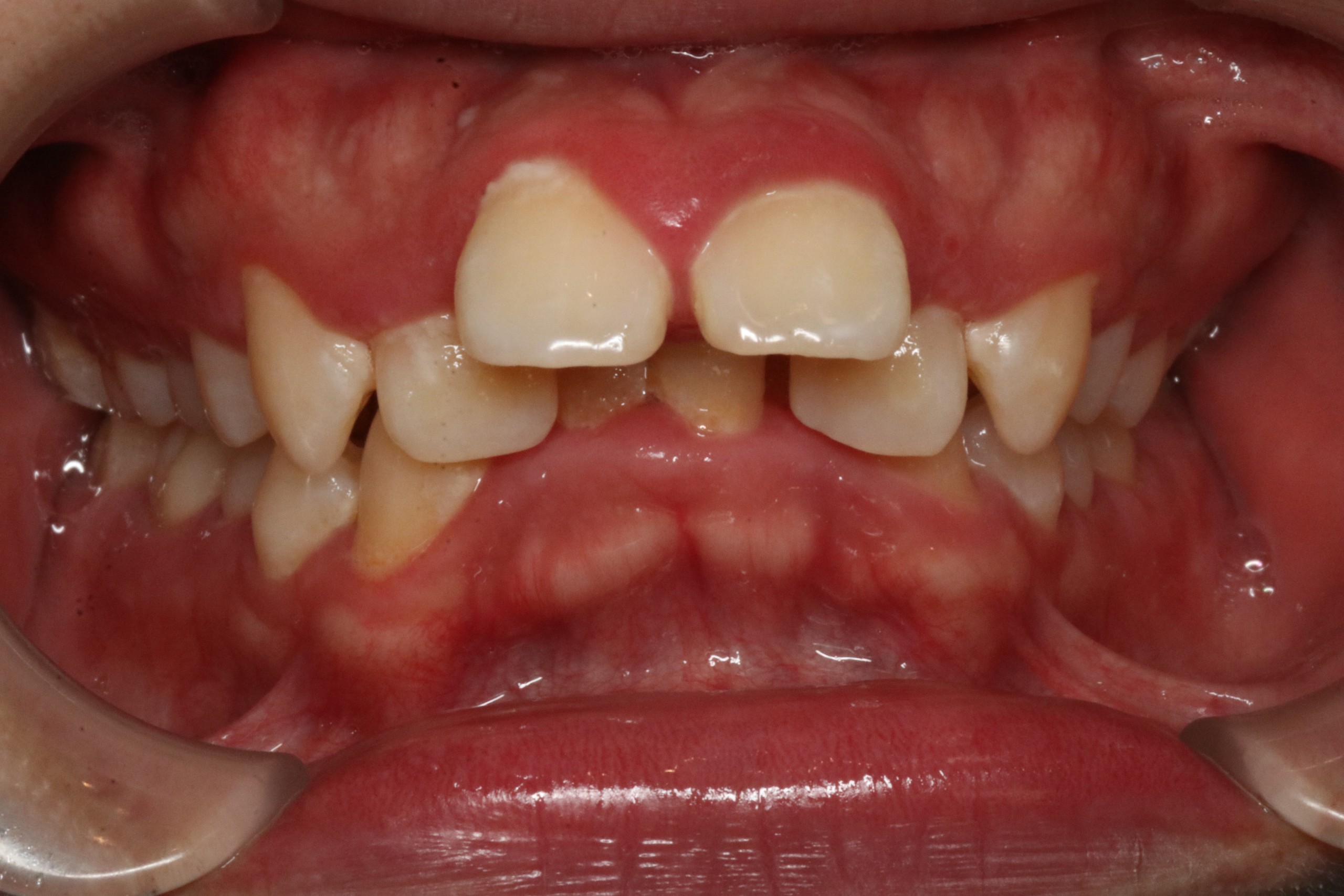
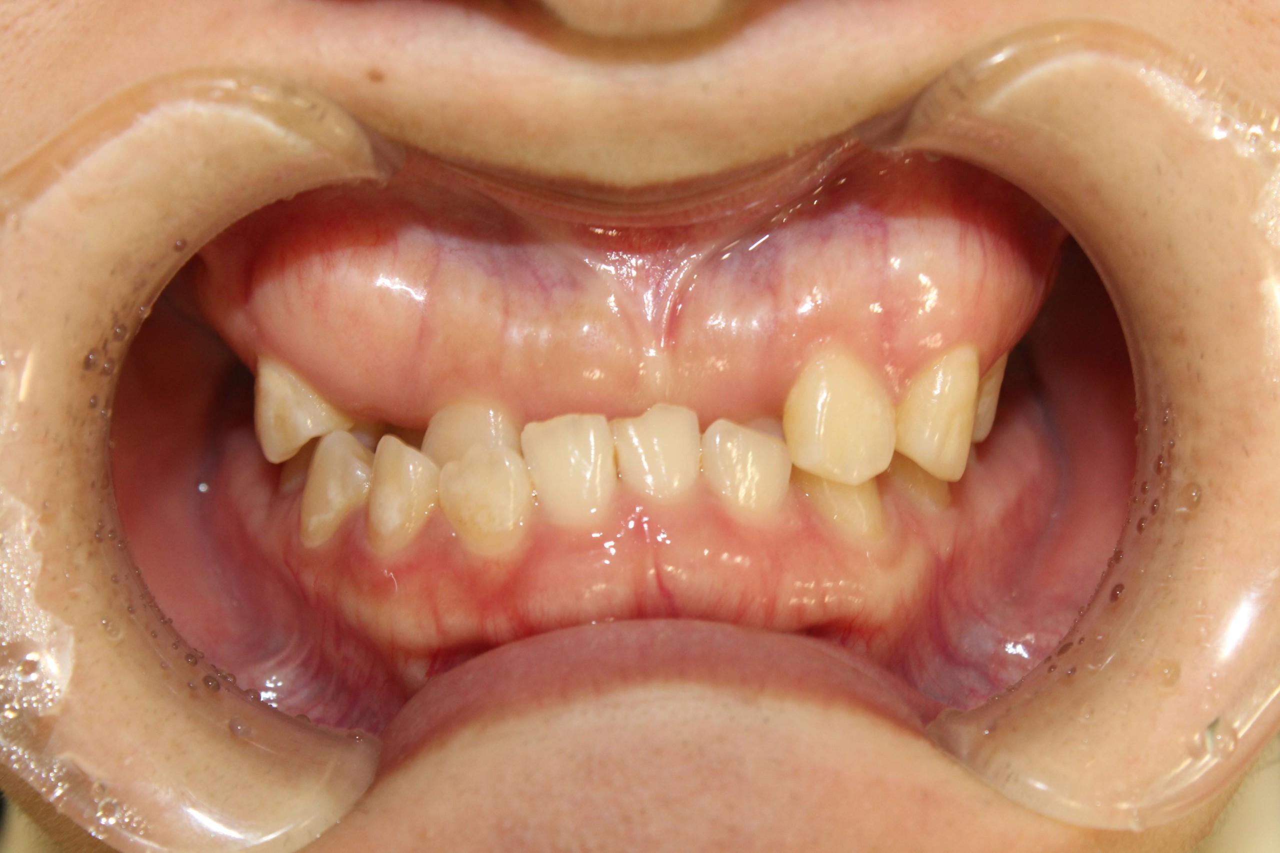
歯のでこぼこ・ハーフリンガルの症例

Before

歯のでこぼこ・ハーフリンガルの症例

After

年齢層 20代
性別 女性
主訴 前歯の隙間と、八重歯が上に出ているのを綺麗に並べたい。笑った時に、綺麗なスマイルラインができるようにしたい
治療費用 検査・診断:38,500-/ハーフリンガル矯正治療:1,287,000-(※全て税込)
治療期間 1年8カ月/通院24回
抜歯 有(上4.4/下5.5)
矯正の装置 ハーフリンガル矯正
副作用、リスク 歯肉退縮,歯根吸収,疼痛,咬合の違和感,装置の違和感,虫歯,歯肉炎
詳しく見る

受け口を治したい(治療期間:3年6ヶ月/通院40回)

受け口・リンガルの症例

Before

受け口・リンガルの症例

After

年齢層 30代
性別 男性
主訴 ずっと気になっていた見た目、噛み合わせを含めて受け口を治したい。期間はかかってもいいので、外科手術をしないで歯列矯正だけで改善したい。
治療費用 検査・診断:38,500-/裏側矯正治療:1,397,000-(※全て税込)
治療期間 3年6ヶ月40回
抜歯 非抜歯
矯正の装置 裏側矯正から治療途中に表側矯正へ変更
副作用、リスク 歯肉退縮,歯根吸収,疼痛,咬合の違和感,装置の違和感,虫歯,歯肉炎
詳しく見る

歯のでこぼこを治したい(治療期間2年6ヵ月:通院30回)

ガタツキ・リンガルの症例

Before

ガタツキ・リンガルの症例

After

年齢層 30代
性別 女性
主訴 上下の前歯のガタツキをキレイに揃えたい。ガタついてるところが、歯磨きもしにくく今後の歯の健康の為にも、矯正でキレイにしたい。
治療費用 検査・診断:38,500-/裏側矯正治療:1,397,000-(※全て税込)
治療期間 2年6ヶ月(30回)
抜歯
矯正の装置 裏側矯正(舌側矯正)
副作用、リスク 歯肉退縮,歯根吸収,疼痛,咬合の違和感,装置の違和感,虫歯,歯肉炎
詳しく見る

前歯のでこぼこ(治療期間:1年/通院16回)

前歯のでこぼこ・表側矯正の症例

Before

前歯のでこぼこ・表側矯正の症例

After

年齢層 20代
性別 女性
主訴 全体的に前歯のがたつきを治したい。特に、右の前歯が前に飛び出しているのが気になります。
治療費用 検査・診断:38,500-/表側矯正治療:1,177,000-(※全て税込)
治療期間 治療期間:1年/通院16回
抜歯 有(上4.4、右下4)
矯正の装置 表側矯正
副作用、リスク 歯肉退縮,歯根吸収,疼痛,咬合の違和感,装置の違和感,虫歯,歯肉炎
詳しく見る

受け口を治したい(治療期間:2年2ヶ月/通院29回)

リンガル・受け口の症例

Before

リンガル・受け口の症例

After

年齢層 20代
性別 女性
主訴 下の歯が、上の歯より前に出ていて顎が出ているのが気になる。受け口を治したい。でこぼこもあり歯磨きにしくいので、虫歯予防のためにも綺麗に並べたい。
治療費用 検査・診断:38,500-/裏側矯正治療:1,397,000-(※全て税込)
治療期間 2年2ヶ月(29回)
抜歯 有(左上4、左下5、上下親知らず4本/右側上下小臼歯 欠如歯)
矯正の装置 裏側矯正(舌側矯正)
副作用、リスク 歯肉退縮,歯根吸収,疼痛,咬合の違和感,装置の違和感,虫歯,歯肉炎
詳しく見る

上の歯が出ている(治療期間:1年11ヶ月/通院26回)

上の歯が出ている、裏側矯正の症例

Before

上の歯が出ている、裏側矯正の症例

After

年齢層 20代
性別 男性
主訴 上の歯が下の歯に比べ全体的に前に出ているため、前歯で物が噛めない・口が閉じにくい。矯正で前歯を下げて、機能的な改善と、見た目も美しくなりたい。
治療費用 検査・診断:38,500-/裏側矯正治療:1,397,000-(※全て税込)
治療期間 1年11ヶ月 26回
抜歯
矯正の装置 裏側矯正
副作用、リスク 歯肉退縮,歯根吸収,疼痛,咬合の違和感,装置の違和感,虫歯,歯肉炎
詳しく見る

歯のでこぼこを治したい(治療期間2年:通院26回)

でこぼこ・リンガルの症例

Before

でこぼこ・リンガルの症例

After

年齢層 30代
性別 女性
主訴 上の歯の八重歯だけ飛び出ているのが気になる。でこぼこしていると所によく物が挟まり、歯磨きしにくいのでお手入れしやすくしたい。
治療費用 検査・診断:38,500-/リンガル矯正治療:1,397,000-(※全て税込)
治療期間 2年(26回)
抜歯
矯正の装置 裏側矯正
副作用、リスク 歯肉退縮,歯根吸収,疼痛,咬合の違和感,装置の違和感,虫歯,歯肉炎
詳しく見る

歯のでこぼこを治したい(治療期間:2年3か月/通院30回)

でこぼこ・リンガルの症例

Before

でこぼこ・リンガルの症例

After

年齢層 20代
性別 女性
主訴 八重歯と上下前歯の歯のでこぼこをきれいに治したい。左の奥歯もちゃんと噛めていないので、しっかり噛めるように噛み合わせも整えたい。
治療費用 検査・診断:38,500-/裏側矯正治療:1,397,000-(※全て税込)
治療期間 2年3か月(30回)
抜歯 有(上下4.4)
矯正の装置 裏側矯正(舌側矯正)
副作用、リスク 歯肉退縮,歯根吸収,疼痛,咬合の違和感,装置の違和感,虫歯,歯肉炎
詳しく見る

歯のでこぼこ(治療期間:2年6ヶ月/通院32回)

歯のでこぼこ・裏側矯正の症例

Before

歯のでこぼこ・裏側矯正の症例

After

年齢層 20代
性別 女性
主訴 前歯がハの時に開いているので、この傾きを治したい。左上2番が後ろに下がっているのも見た目が良くないので、綺麗に並べたい
治療費用 検査・診断:38,500-/裏側矯正治療:1,397,000-(※全て税込)
治療期間 2年6ヶ月/32回
抜歯 有(左上4)
矯正の装置 裏側矯正
副作用、リスク 歯肉退縮,歯根吸収,疼痛,咬合の違和感,装置の違和感,虫歯,歯肉炎
詳しく見る

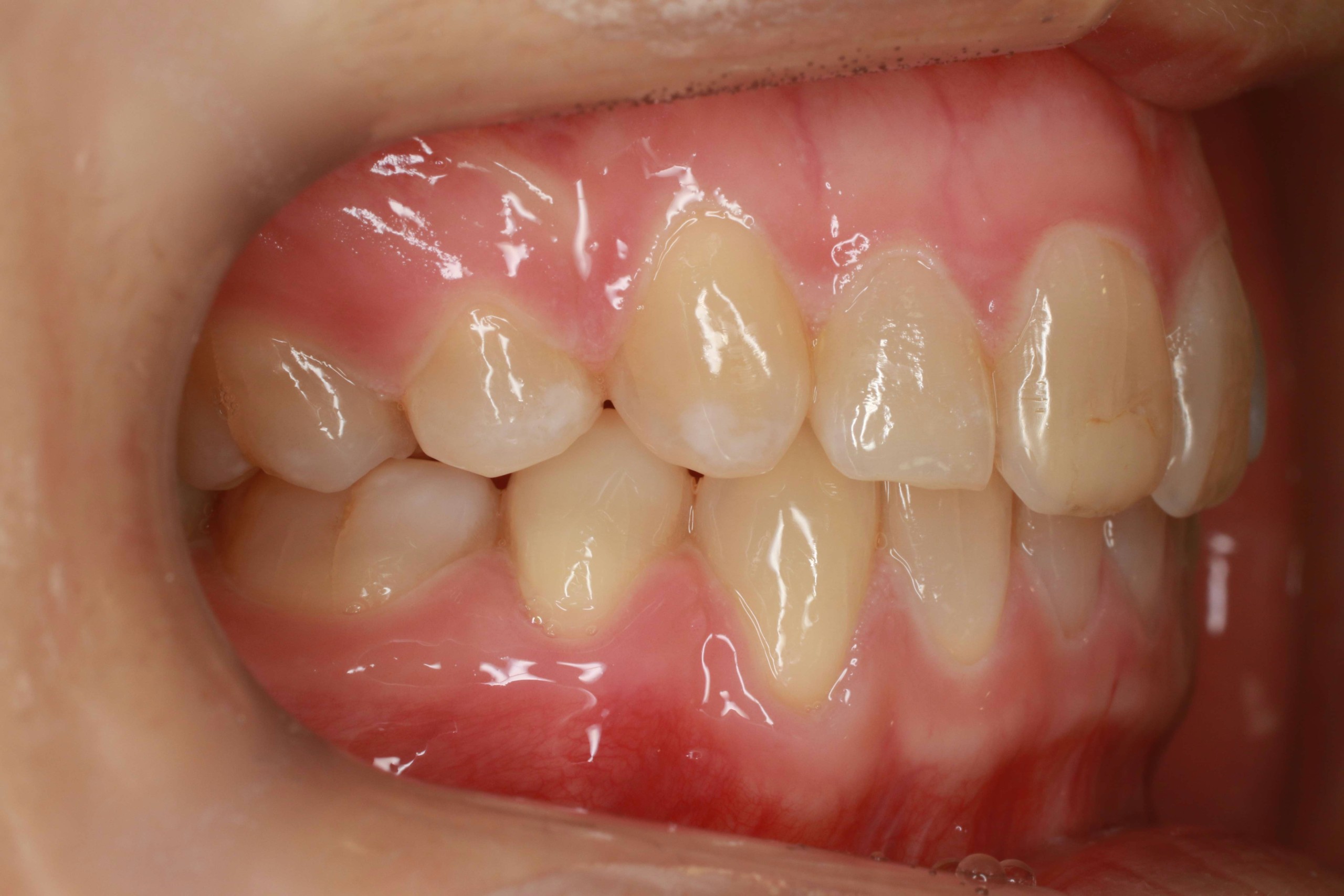
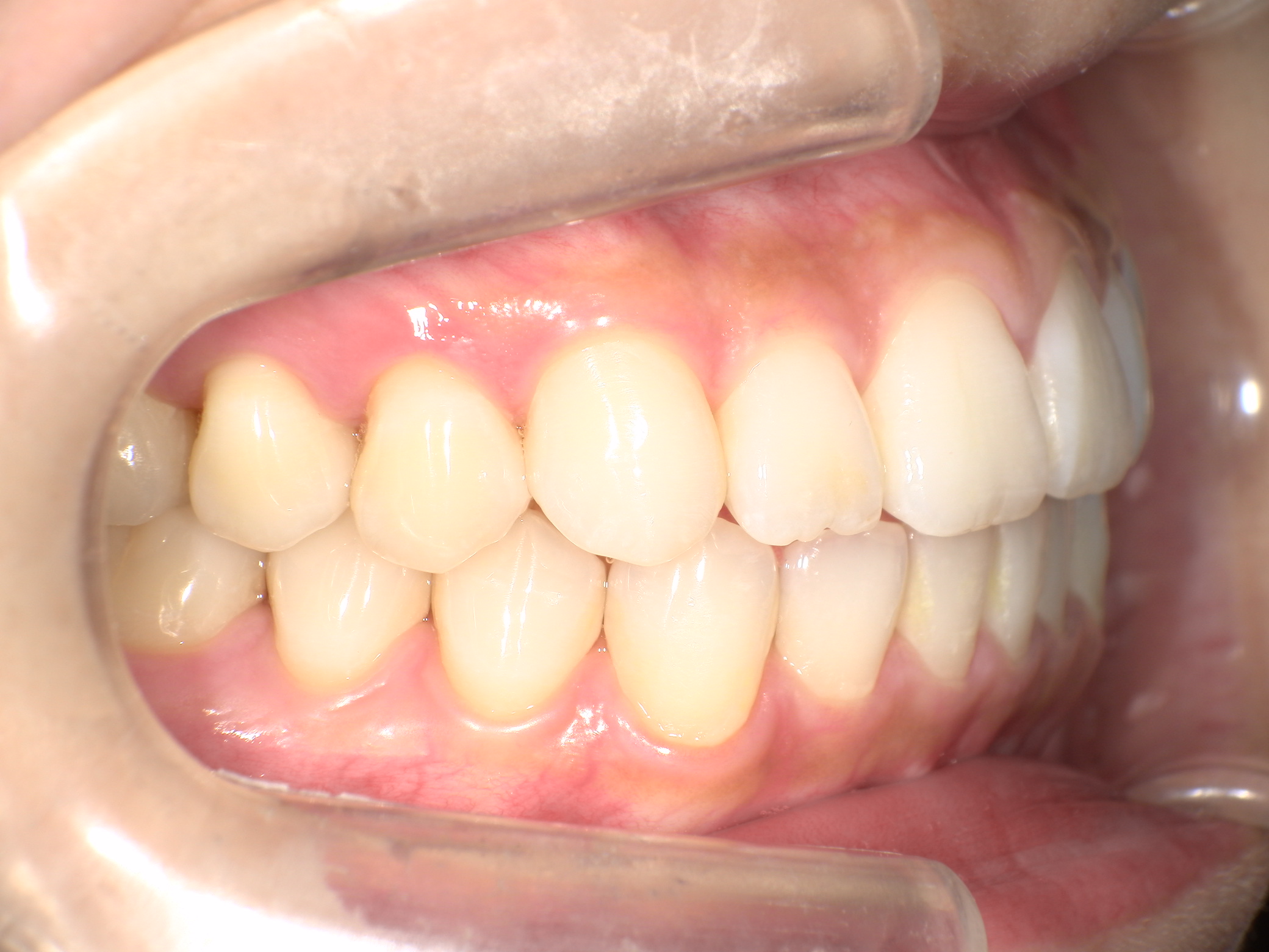
でこぼこと噛み合わせが深いのを治したい(治療期間:2年6カ月/通院35回)

でこぼこ・噛み合わせが深いリンガルの症例

Before

でこぼこ・噛み合わせが深いリンガルの症例

After

年齢層 20代
性別 女性
主訴 【主訴】前歯がでこぼこしているのを、食いしばりがひどいので噛み合わせが深いのを治して見た目も歯の健康も良くしたい
治療費用 検査・診断:38,500-/裏側矯正治療:1,397,000-(※全て税込)
治療期間 2年半(35回)
抜歯 無(非抜歯)
矯正の装置 裏側矯正(舌側矯正)
副作用、リスク 歯肉退縮,歯根吸収,疼痛,咬合の違和感,装置の違和感,虫歯,歯肉炎
詳しく見る

口元を下げたい(治療期間:1年2カ月/通院21回)

口元を下げたい・ハーフリンガルの症例

Before

口元を下げたい・ハーフリンガルの症例

After

年齢層 20代
性別 女性
主訴 全体的に少し口元が出ている感じがするので、口元のボリュームを抑え、横顔の印象をすっきりとさせたいです
治療費用 検査・診断:38,500-/ハーフリンガル矯正治療:1,287,000-(※全て税込)
治療期間 治療期間:1年2カ月/通院21回
抜歯
矯正の装置 ハーフリンガル矯正
副作用、リスク 歯肉退縮,歯根吸収,疼痛,咬合の違和感,装置の違和感,虫歯,歯肉炎
詳しく見る

歯のでこぼこを治したい(治療期間2年6ヵ月:通院32回)

でこぼこ・リンガルの症例

Before

でこぼこ・リンガルの症例

After

年齢層 20代
性別 女性
主訴 上下の前歯のでこぼこが酷く、歯を出して笑えない。でこぼこを綺麗に並べてためらいなく歯を見せて笑えるようになりたいです。
治療費用 検査・診断:38,500-/リンガル矯正治療:1,397,000-(※全て税込)
治療期間 2年半(32回)
抜歯 有(上4.4/下5.5)
矯正の装置 裏側矯正
副作用、リスク 歯肉退縮,歯根吸収,疼痛,咬合の違和感,装置の違和感,虫歯,歯肉炎
詳しく見る

上の歯が出ている(治療期間:2年3カ月/通院30回)

上の歯が出ている・リンガルの症例

Before

上の歯が出ている・リンガルの症例

After

年齢層 20代
性別 女性
主訴 上の歯歯2本が特に出ていて、目立つのがとても気になる。そのせいか口が閉じにくいのもあるので、前歯を下げて綺麗にしたい。
治療費用 検査・診断:38,500-/裏側矯正治療:1,397,000-(※全て税込)
治療期間 2年3ヶ月(30回)
抜歯 有(上4.4、下4.4)
矯正の装置 裏側矯正
副作用、リスク 歯肉退縮,歯根吸収,疼痛,咬合の違和感,装置の違和感,虫歯,歯肉炎
詳しく見る

上の歯が出ている、歯のでこぼこ(治療期間:1年9ヶ月/通院25回)

上の歯が出ている・ハーフリンガル矯正の症例

Before

上の歯が出ている・ハーフリンガル矯正の症例

After

年齢層 20代
性別 女性
主訴 前歯の重なりと下の前歯のガタつきを整えて、全体の歯並びと噛み合わせをきれいにしたい
治療費用 検査・診断:38,500-/ハーフリンガル矯正治療:1,287,000-(※全て税込)
治療期間 治療期間:1年9ヶ月/通院25回
抜歯 有(右上4 下5.4)
矯正の装置 ハーフリンガル矯正
副作用、リスク 歯肉退縮,歯根吸収,疼痛,咬合の違和感,装置の違和感,虫歯,歯肉炎
詳しく見る

噛み合わせを治したい(治療期間:1年6カ月/通院19回)

噛み合わせ・リンガルの症例

Before

噛み合わせ・リンガルの症例

After

年齢層 30代
性別 女性
主訴 前歯と奥歯で噛み合わせが部分的に反対になっており、噛みにくい。その為、顔も左右に歪みがある気がするので噛み合わせしっかり治したい。
治療費用 検査・診断:38,500-/裏側矯正治療:1,397,000-(※全て税込)
治療期間 1年6ヶ月(19回)
抜歯
矯正の装置 裏側矯正(舌側矯正)
副作用、リスク 歯肉退縮,歯根吸収,疼痛,咬合の違和感,装置の違和感,虫歯,歯肉炎
詳しく見る

口元を下げたい、歯のでこぼこ(治療期間:2年/通院15回)

歯のでこぼこ・ハーフリンガルの症例

Before

歯のでこぼこ・ハーフリンガルの症例

After

年齢層 20代
性別 女性
主訴 上下の前歯の傾きと噛み合わせのずれ、犬歯まわりのでこぼこを整えて、バランスのとれた美しい歯並びにしたい
治療費用 検査・診断:38,500-/ハーフリンガル矯正治療:1,287,000-(※全て税込)
治療期間 治療期間:2年/通院15回
抜歯 有(上4.4 下4.4)
矯正の装置 ハーフリンガル矯正
副作用、リスク 歯肉退縮,歯根吸収,疼痛,咬合の違和感,装置の違和感,虫歯,歯肉炎
詳しく見る

歯のでこぼこを治したい(治療期間:1年6ヵ月/通院22回)

でこぼこ・リンガルの症例

Before

でこぼこ・リンガルの症例

After

年齢層 20代
性別 女性
主訴 上下前歯のでこぼこを治したい。特に上の前歯2本は虫歯治療を行い差し歯の状態なので、この状態のままで歯列矯正をして治せるか不安。綺麗に並んだ歯並びで笑顔に自信を付けたい。
治療費用 検査・診断:38,500-/裏側矯正治療:1,397,000-(※全て税込)
治療期間 1年6ヵ月(22回)
抜歯
矯正の装置 リンガル矯正
副作用、リスク 歯肉退縮,歯根吸収,疼痛,咬合の違和感,装置の違和感,虫歯,歯肉炎
詳しく見る

上の歯が出ている(治療期間:1年10カ月/通院20回)

上の歯が出ている・リンガルの症例

Before

上の歯が出ている・リンガルの症例

After

年齢層 20代
性別 女性
主訴 横から見た時に、前歯が出ているのが気になる。上前歯2本がハの字に曲がっているので、まっすぐ揃えたい。歯が出ていることで、前歯で噛めないのも一緒に治したい。
治療費用 検査・診断:38,500-/裏側矯正治療:1,397,000-(※全て税込)
治療期間 1年10ヵ月(20回)
抜歯 有(上4.4)
矯正の装置 裏側矯正(舌側矯正)
副作用、リスク 歯肉退縮,歯根吸収,疼痛,咬合の違和感,装置の違和感,虫歯,歯肉炎
詳しく見る