menu
close

裏側矯正

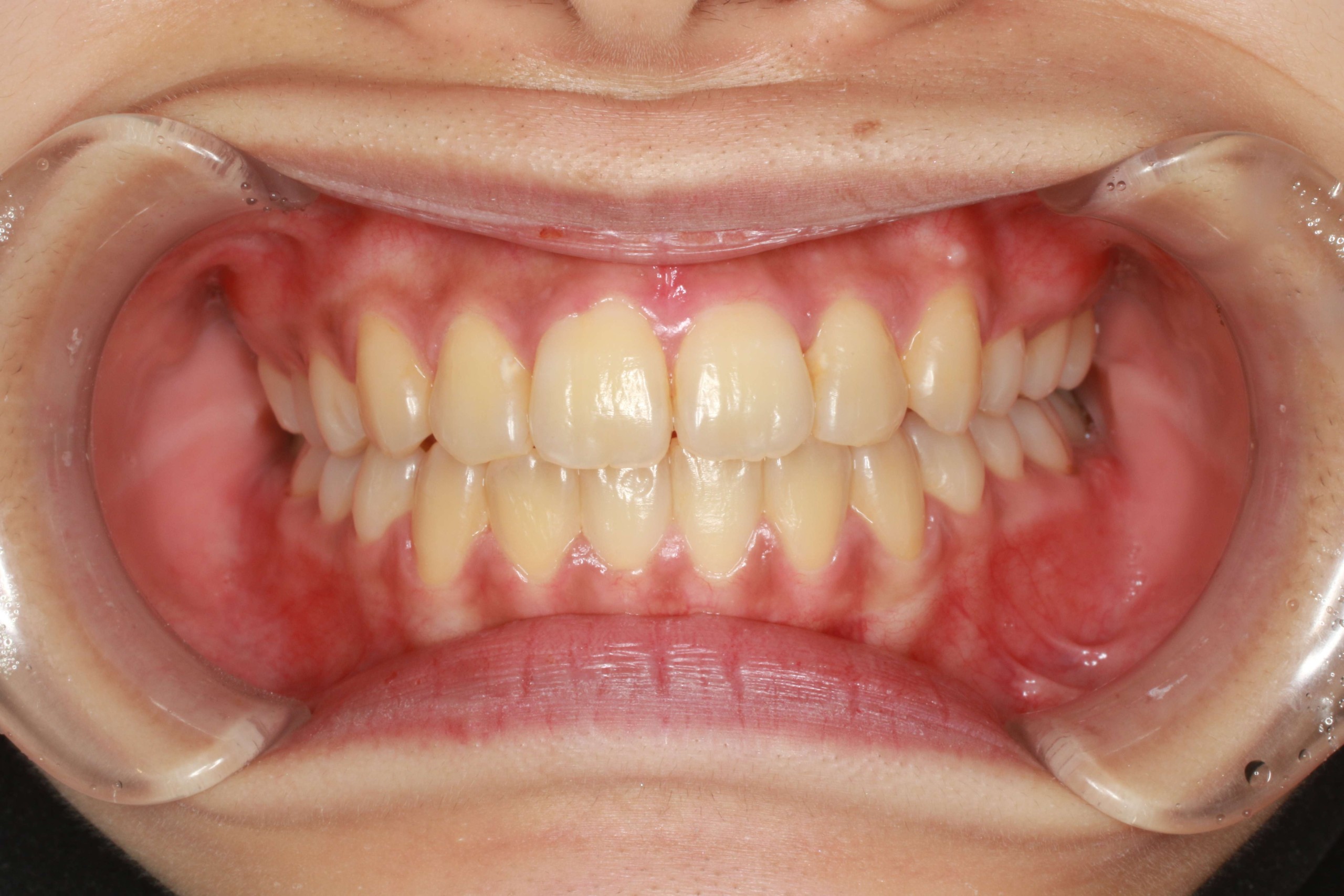
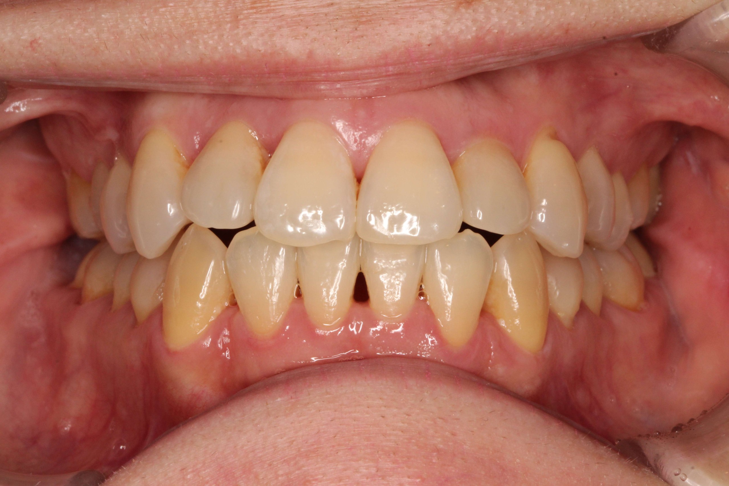
上の歯が出ている(治療期間:1年3カ月/通院15回)

年齢層 30代
性別 女性
主訴 前歯2本が前に出ているため、笑ったときの見た目や横顔のバランスが気になり、自然な口元にしたいと思っている
治療費用 検査・診断:38,500-/裏側矯正治療:1,397,000-(※全て税込)
治療期間 1年3ヶ月(15回)
抜歯
矯正の装置 裏側矯正
副作用、リスク 歯肉退縮,歯根吸収,疼痛,咬合の違和感,装置の違和感,虫歯,歯肉炎
上の歯が出ている・裏側矯正の症例

Before

上の歯が出ている・裏側矯正の症例

After

詳しく見る

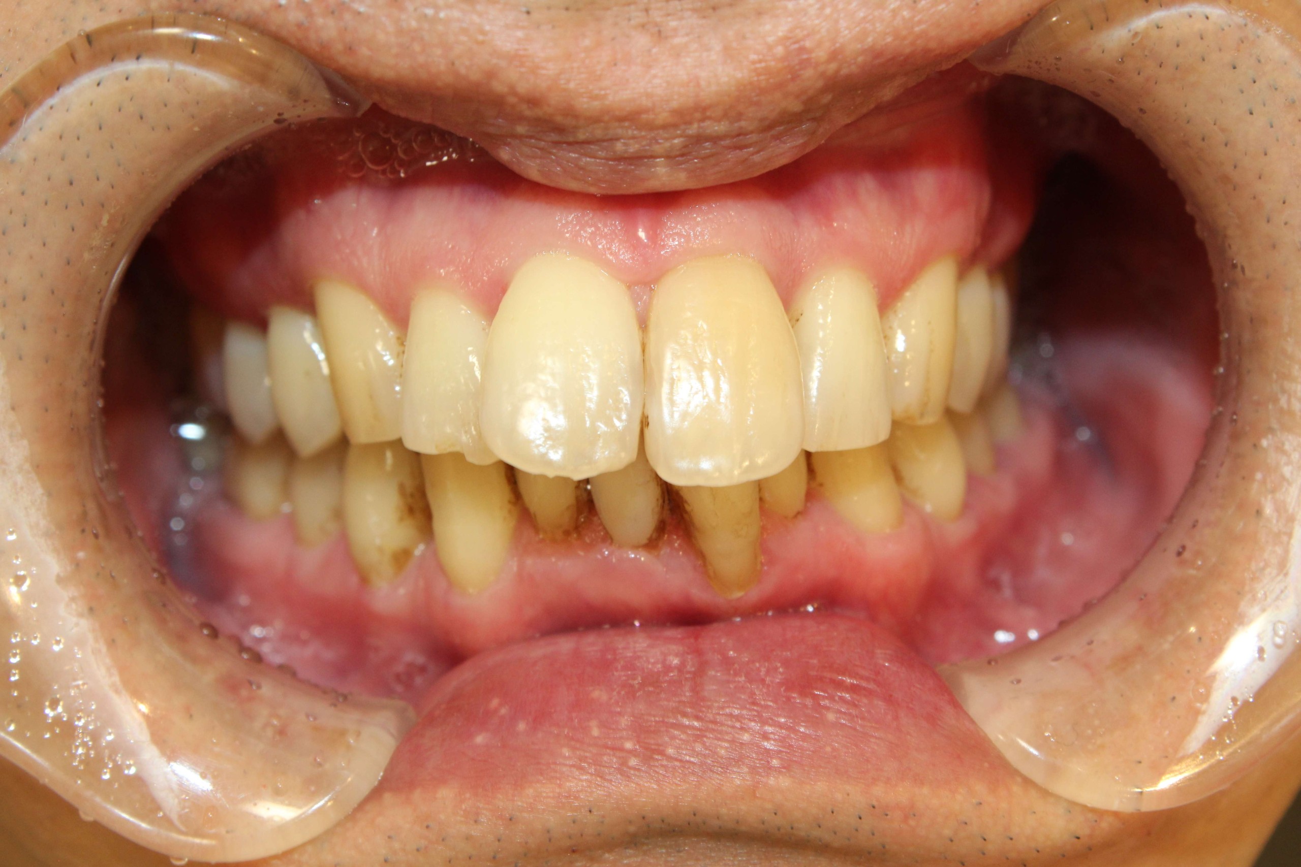
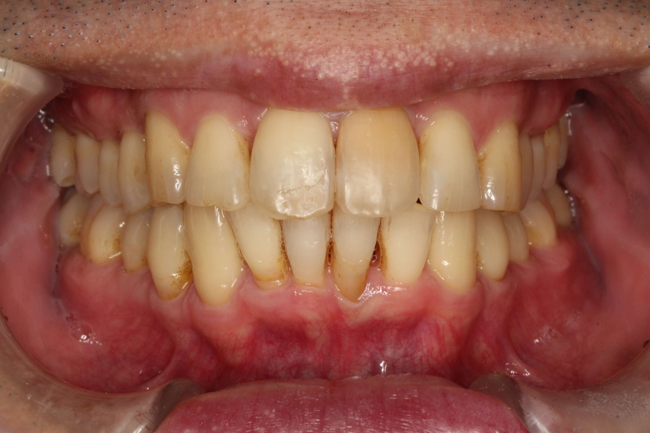
歯のでこぼこを治したい(治療期間:2年/通院29回)

年齢層 20代
性別 女性
主訴 上と下の前歯のでこぼこが気になる。特に上の前歯のでこぼこが酷く、前から見ても横から見ても目立つので治したい。又、でこぼこがあるので歯磨きもしにくく、歯の健康の為にも綺麗にしたい。
治療費用 検査・診断:38,500-/裏側矯正治療:1,397,000-(※全て税込)
治療期間 2年(29回)
抜歯 有(上4.4)
矯正の装置 裏側矯正(舌側矯正)
副作用、リスク 歯肉退縮,歯根吸収,疼痛,咬合の違和感,装置の違和感,虫歯,歯肉炎
でこぼこ改善・リンガル裏側矯正の症例

Before

でこぼこ改善・リンガルの症例

After

詳しく見る

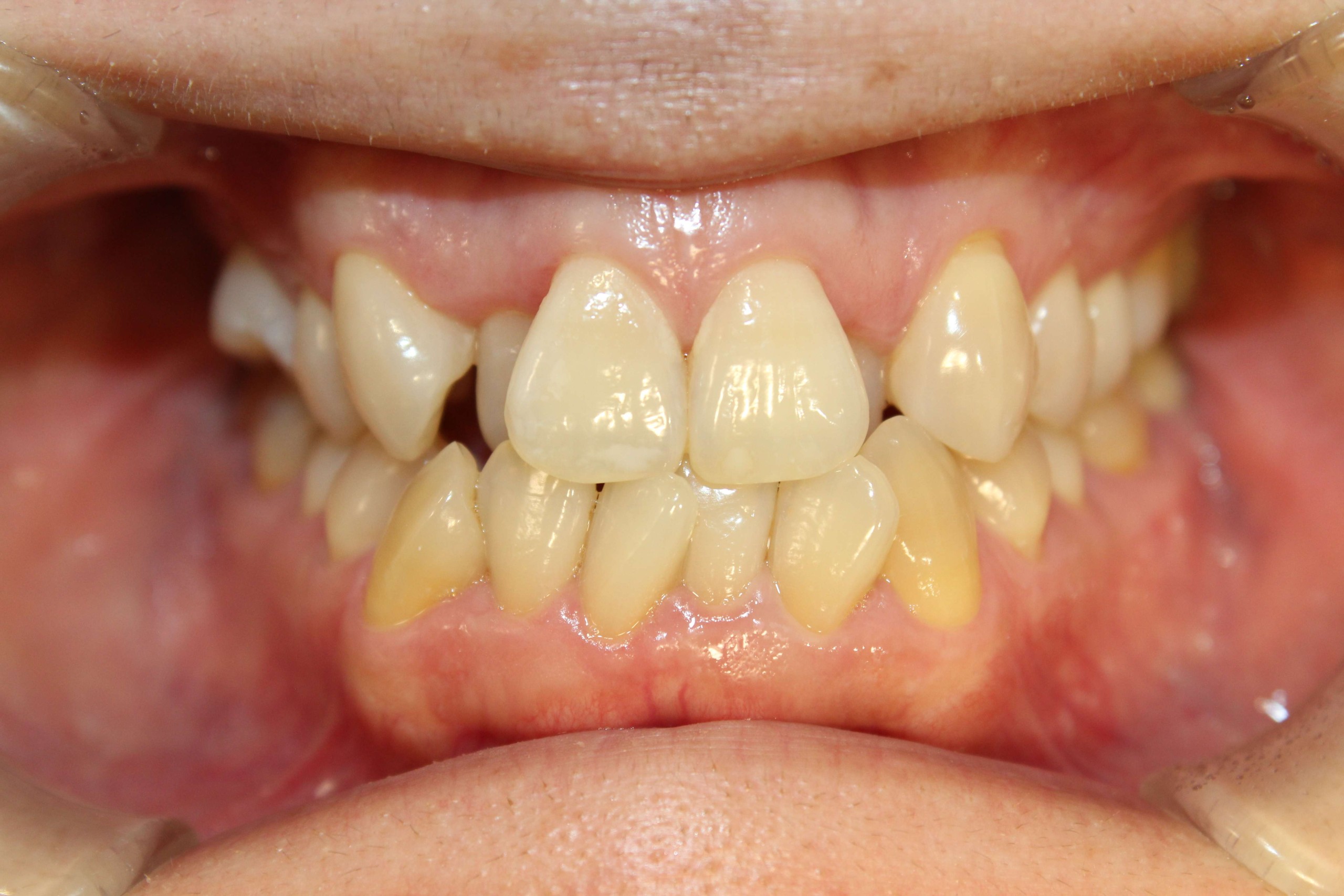
歯のでこぼこ、噛み合わせを治したい(治療期間:2年/通院32回)

年齢層 40代
性別 女性
主訴 上の前歯2本は出ていて、前歯の隣の歯は内側に入っており凸凹が大きい、下前歯の重なりや傾きも目立つので綺麗に並べたい。凸凹がある為、歯磨きもしにくく虫歯ができないようにしたい。
治療費用 検査・診断:38,500-/リンガル矯正治療:1,397,000-(※全て税込)
治療期間 2年
抜歯
矯正の装置 リンガル矯正
副作用、リスク 歯肉退縮,歯根吸収,疼痛,咬合の違和感,装置の違和感,虫歯,歯肉炎
歯の凸凹・リンガルの症例

Before

歯の凸凹・リンガルの症例

After

詳しく見る

深い噛み合わせと出っ歯を治したい

年齢層 20代
性別 女性
主訴 【主訴】かみ合わせが深い、前歯が出ている
治療費用 検査・診断:38,500-/裏側矯正治療:1,397,000-(※全て税込)
治療期間 2年(28回)
抜歯 有(上4.4)
矯正の装置 裏側矯正(舌側矯正)
副作用、リスク 歯肉退縮,歯根吸収,疼痛,咬合の違和感,装置の違和感,虫歯,歯肉炎
case50_deepbite Before

Before

case50_deepbite After

After

詳しく見る

歯の凸凹を治したい

年齢層 20代
性別 女性
主訴 【主訴】歯の凸凹を治したい、かみ合わせを良くしたい
治療費用 検査・診断:38,500-/裏側矯正治療:1,397,000-(※全て税込
治療期間 1年7ヶ月(23回)
抜歯 有(上4.4 下4.4)
矯正の装置 裏側矯正
副作用、リスク 歯肉退縮,歯根吸収,疼痛,咬合の違和感,装置の違和感,虫歯,歯肉炎

Before

After

詳しく見る

歯の凸凹を治したい

年齢層 20代
性別 男性
主訴 【主訴】歯の凸凹を治したい
治療費用 検査・診断:38,500-/裏側矯正治療:1,397,000-(※全て税込)
治療期間 2年半(36回)
抜歯 有(上4.4)
矯正の装置 裏側矯正
副作用、リスク 歯肉退縮,歯根吸収,疼痛,咬合の違和感,装置の違和感,虫歯,歯肉炎

Before

After

詳しく見る

歯の凸凹を治したい

年齢層 20代
性別 女性
主訴 【主訴】歯の凸凹を治したい
治療費用 検査・診断:38,500-/裏側矯正治療:1,397,000-(※全て税込)
治療期間 2年11ヶ月(27回)
抜歯 有(上4.4)
矯正の装置 裏側矯正(舌側矯正)
副作用、リスク 歯肉退縮,歯根吸収,疼痛,咬合の違和感,装置の違和感,虫歯,歯肉炎

Before

After

詳しく見る

出っ歯を治したい

年齢層 20代
性別 女性
主訴 【主訴】前歯が出ている
治療費用 検査・診断:38,500-/裏側矯正治療:1,397,000-(※全て税込)
治療期間 2年(30回)
抜歯 有(上4.4、下5.5)
矯正の装置 裏側矯正(舌側矯正)
副作用、リスク 歯肉退縮,歯根吸収,疼痛,咬合の違和感,装置の違和感,虫歯,歯肉炎

Before

After

詳しく見る

出っ歯を治したい

年齢層 30代
性別
主訴 【主訴】出っ歯を治したい 【診断・症状】上下凸凹、口元が出てる
治療費用 検査・診断:38,500-/裏側矯正治療:1,397,000-(※全て税込)
治療期間 約2年半(27回)
抜歯 有(右上4、左上5)
矯正の装置 裏側矯正(舌側矯正)
副作用、リスク 歯肉退縮,歯根吸収,疼痛,咬合の違和感,装置の違和感,虫歯,歯肉炎

Before

After

詳しく見る

かみ合わせが深いのを治したい

年齢層 20代
性別 女性
主訴 【主訴】かみ合わせが深い
治療費用 検査・診断:38,500-/裏側矯正治療:1,397,000-(※全て税込)
治療期間 2年半(35回)
抜歯 無(非抜歯)
矯正の装置 裏側矯正(舌側矯正)
副作用、リスク 歯肉退縮,歯根吸収,疼痛,咬合の違和感,装置の違和感,虫歯,歯肉炎
case_40_過蓋_初診時

Before

case_40_過蓋_終了時

After

詳しく見る

歯の凸凹を治したい

年齢層 20代
性別 男性
主訴 【主訴】前歯の凸凹を治したい、前歯が出ている
治療費用 検査・診断:38,500-/裏側矯正治療:1,397,000-(※全て税込)
治療期間 2年3カ月(30回)
抜歯 有(上4.4、左下4)
矯正の装置 裏側矯正(舌側矯正)
副作用、リスク 歯肉退縮,歯根吸収,疼痛,咬合の違和感,装置の違和感,虫歯,歯肉炎
case_37_叢生_初診時

Before

case_37_叢生_終了時

After

詳しく見る

歯の凸凹を治したい

年齢層 20代
性別 女性
主訴 【主訴】前歯の凸凹を治したい
治療費用 検査・診断:38,500-/裏側矯正治療:1,397,000-(※全て税込)
治療期間 約1年半(24回)
抜歯 無(非抜歯)
矯正の装置 裏側矯正(舌側矯正)
副作用、リスク 歯肉退縮,歯根吸収,疼痛,咬合の違和感,装置の違和感,虫歯,歯肉炎
case_34_叢生_初診時

Before

case_34_叢生_終了時

After

詳しく見る

歯の凸凹を治したい

年齢層 20代
性別 女性
主訴 【主訴】歯の凸凹を治したい
治療費用 検査・診断:38,500-/リンガル矯正治療:1,397,000-(※全て税込)
治療期間 1年半(20回)
抜歯 非抜歯
矯正の装置 リンガル矯正
副作用、リスク 歯肉退縮,歯根吸収,疼痛,咬合の違和感,装置の違和感,虫歯,歯肉炎

Before

After

詳しく見る

非対称を治したい(外科症例)

年齢層 20代
性別 女性
主訴 【主訴】歯の非対称を治したい 【診断・症状】右下2番先天欠損、上下凸凹、顎が曲がっている
治療費用 検査・診断:税込55,000円/サージェリーファースト(裏側矯正):税込2,090,000円(+外科費用 約200万)(※外科代につきましては別途かかります)
治療期間 約2年半(33回)
抜歯 無(非抜歯)
矯正の装置 裏側矯正(舌側矯正)
副作用、リスク 歯肉退縮,歯根吸収,疼痛,咬合の違和感,装置の違和感,虫歯,歯肉炎
case24_非対称_外科_before

Before

case24_非対称_外科_after

After

詳しく見る

歯の凸凹を治したい

年齢層 30代
性別 男性
主訴 【主訴】歯の凸凹を治したい 【診断・症状】上下凸凹
治療費用 検査・診断:38,500-/裏側矯正治療:1,397,000-(※全て税込)
治療期間 約3年半(45回)
抜歯 有(上4,4、左下4)
矯正の装置 裏側矯正(舌側矯正)
副作用、リスク 歯肉退縮,歯根吸収,疼痛,咬合の違和感,装置の違和感,虫歯,歯肉炎
case23_歯の凹凸_before

Before

247M_A230_case23_歯の凹凸_after

After

詳しく見る

かみ合わせが深いと受け口の症例

年齢層 30代
性別 男性
主訴 【主訴】かみ合わせが深い、受け口 【診断・症状】受け口、過蓋咬合、上下凸凹
治療費用 検査・診断:38,500-/裏側矯正治療:1,397,000-(※全て税込)+難症例加算 220,000-
治療期間 約3年半(45回)
抜歯 無(非抜歯)
矯正の装置 裏側矯正(舌側矯正)
副作用、リスク 歯肉退縮,歯根吸収,疼痛,咬合の違和感,装置の違和感,虫歯,歯肉炎
case22_かみ合わせが深い_受け口_before

Before

case22_かみ合わせが深い_受け口_after

After

詳しく見る

出っ歯を治したい

年齢層 30代
性別 女性
主訴 【主訴】出っ歯を治したい 【診断・症状】上下凸凹、口元が出てる
治療費用 検査・診断:38,500-/裏側矯正治療:1,397,000-(※全て税込)
治療期間 約2年9か月(36回)
抜歯 抜歯:有(上4,4)
矯正の装置 裏側矯正(舌側矯正)
副作用、リスク 歯肉退縮,歯根吸収,疼痛,咬合の違和感,装置の違和感,虫歯,歯肉炎
case21_出っ歯_before

Before

case21_出っ歯_after

After

詳しく見る

出っ歯を治したい

年齢層 30代
性別 女性
主訴 【主訴】出っ歯を治したい 【診断・症状】上下凸凹、出っ歯(上顎前突)
治療費用 検査・診断:38,500-/裏側矯正治療:1,397,000-(※全て税込)
治療期間 約2年半(33回)
抜歯 有(上4,4、下5,5)
矯正の装置 裏側矯正(舌側矯正)
副作用、リスク 歯肉退縮,歯根吸収,疼痛,咬合の違和感,装置の違和感,虫歯,歯肉炎
case20_出っ歯_before

Before

case20_出っ歯_after

After

詳しく見る

受け口(非外科)の症例

年齢層 20代
性別 女性
主訴 【主訴】受け口を治したい 【診断・症状】反対咬合、上下凸凹
治療費用 検査・診断:38,500-/裏側矯正治療:1,397,000-(※全て税込)
治療期間 約1年半(約20回)
抜歯 有(下4,4)
矯正の装置 裏側矯正(舌側矯正)
副作用、リスク 歯肉退縮,歯根吸収,疼痛,咬合の違和感,装置の違和感,虫歯,歯肉炎
case19_受け口_非外科_before

Before

case19_受け口_非外科_after

After

詳しく見る

受け口の外科症例

年齢層 30代
性別 女性
主訴 【主訴】受け口を治したい 【診断・症状】上下凸凹、受け口
治療費用 検査・診断:税込55,000円/サージェリーファースト(裏側矯正):税込2,090,000円(+外科費用 約200万)(※外科代につきましては別途かかります)
治療期間 約2年(約26回)
抜歯 無(非抜歯)
矯正の装置 裏側矯正(舌側矯正)
副作用、リスク 歯肉退縮,歯根吸収,疼痛,咬合の違和感,装置の違和感,虫歯,歯肉炎
case18_受け口外科_before

Before

case18_受け口外科_after

After

詳しく見る