menu
close

Eライン(ロゴボ)

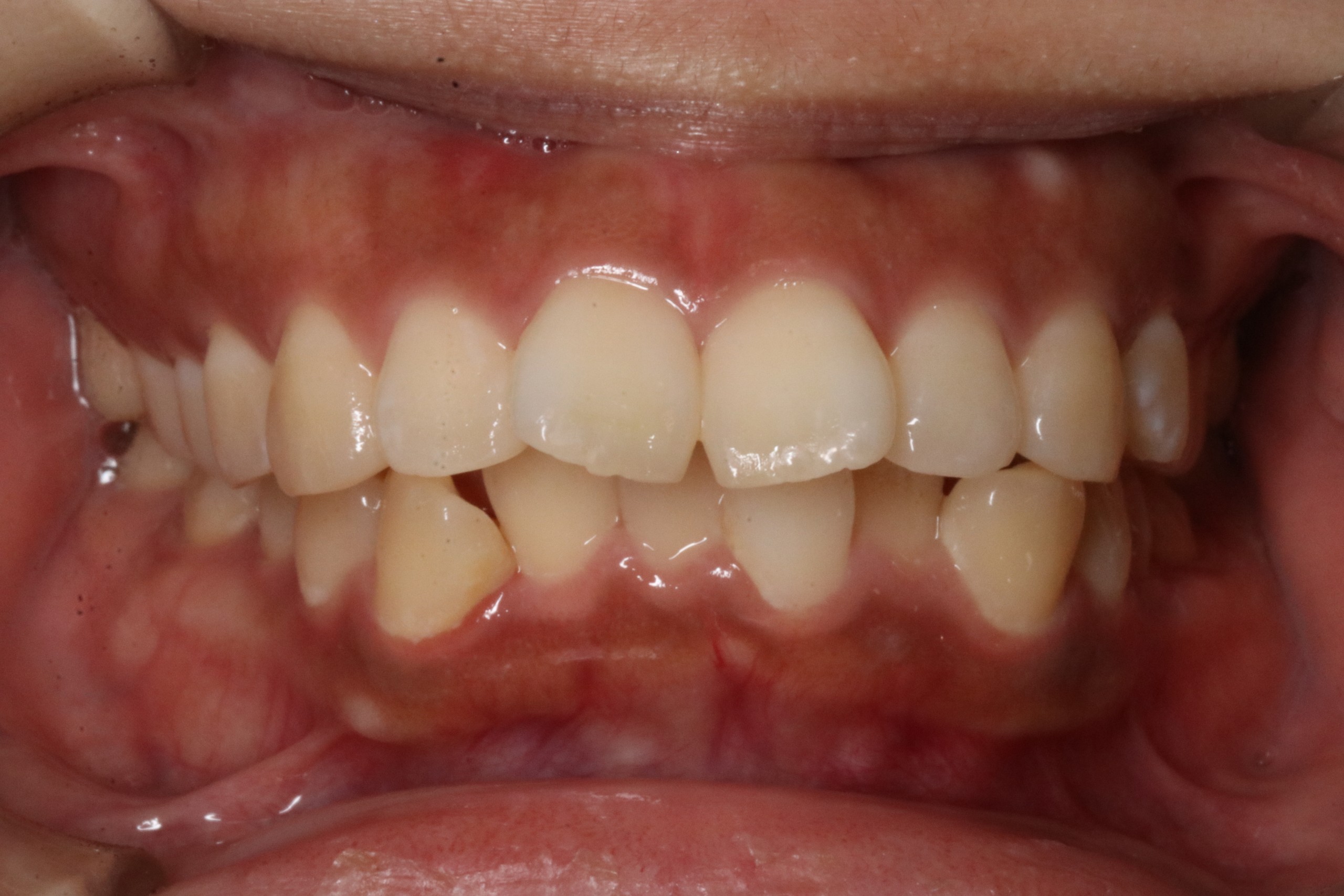
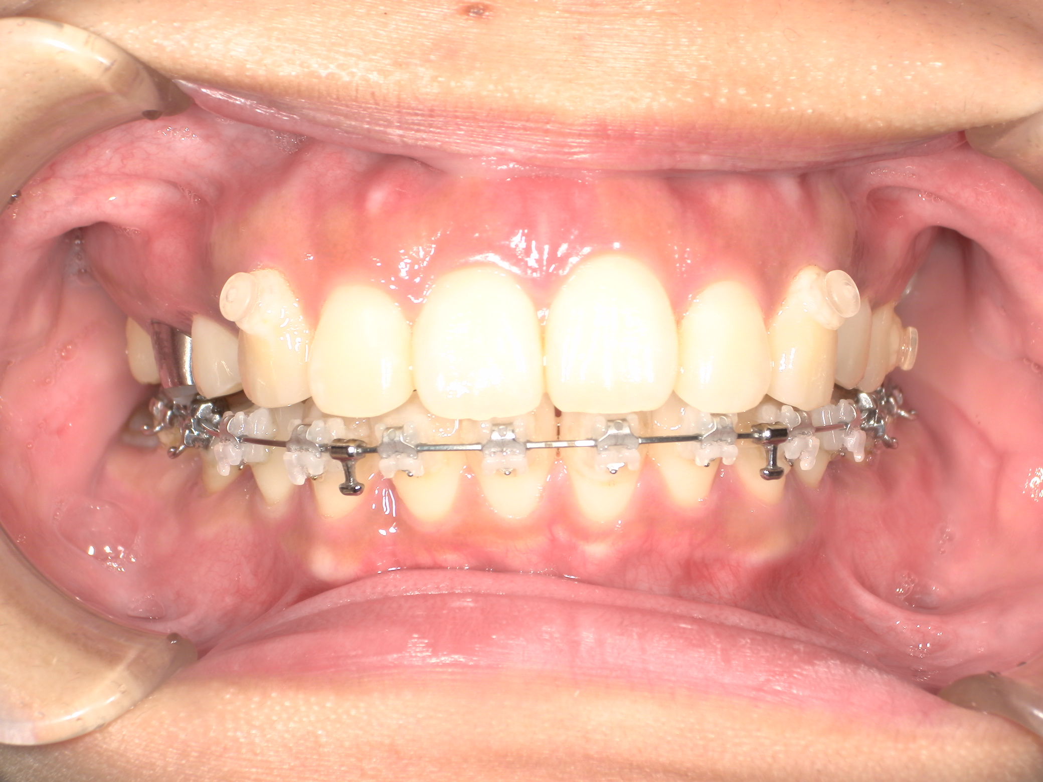
上の歯が出ている・歯のでこぼこ(治療期間:1年8カ月/通院24回)

年齢層 20代
性別 女性
主訴 前歯の隙間と、八重歯が上に出ているのを綺麗に並べたい。笑った時に、綺麗なスマイルラインができるようにしたい
治療費用 検査・診断:38,500-/ハーフリンガル矯正治療:1,287,000-(※全て税込)
治療期間 1年8カ月/通院24回
抜歯 有(上4.4/下5.5)
矯正の装置 ハーフリンガル矯正
副作用、リスク 歯肉退縮,歯根吸収,疼痛,咬合の違和感,装置の違和感,虫歯,歯肉炎
歯のでこぼこ・ハーフリンガルの症例

Before

歯のでこぼこ・ハーフリンガルの症例

After

詳しく見る

口元を下げたい(治療期間:1年2カ月/通院21回)

年齢層 20代
性別 女性
主訴 全体的に少し口元が出ている感じがするので、口元のボリュームを抑え、横顔の印象をすっきりとさせたいです
治療費用 検査・診断:38,500-/ハーフリンガル矯正治療:1,287,000-(※全て税込)
治療期間 治療期間:1年2カ月/通院21回
抜歯
矯正の装置 ハーフリンガル矯正
副作用、リスク 歯肉退縮,歯根吸収,疼痛,咬合の違和感,装置の違和感,虫歯,歯肉炎
口元を下げたい・ハーフリンガルの症例

Before

口元を下げたい・ハーフリンガルの症例

After

詳しく見る

歯のでこぼこ、口元下げたい(治療期間:2年1カ月/通院30回)

年齢層 20代 
性別 女性
主訴 上の前歯が2本が傾いており出っ歯にみえるのが気になるため、でこぼこを整えて前歯を下げたい。口元の突出感も気になるので前歯を下げて、横顔(Eライン)も綺麗にしたい。下の前歯のでこぼこも、かみ合わせの改善や虫歯になりずらくするために綺麗にしたい。
治療費用 検査・診断:38,500-/ハーフリンガル矯正治療:1,287,000-(※全て税込)
治療期間 2年1カ月/通院30回
抜歯 有(上4.4、下5.5)
矯正の装置 ハーフリンガル
副作用、リスク 歯肉退縮,歯根吸収,疼痛,咬合の違和感,装置の違和感,虫歯,歯肉炎
歯のでこぼこ・ハーフリンガルの症例

Before

歯のでこぼこ・ハーフリンガルの症例

After

詳しく見る

Eライン(口ゴボ)

年齢層 20代
性別 女性
主訴 【主訴】Eラインを整えたい 【診断・症状】上下顎前突
治療費用 検査・診断:38,500-/裏側矯正治療:1,397,000-(※全て税込)
治療期間 約2年8か月(35回)
抜歯 有(上4,4、下右4,左5)
矯正の装置 裏側矯正(舌側矯正)
副作用、リスク 歯肉退縮,歯根吸収,疼痛,咬合の違和感,装置の違和感,虫歯,歯肉炎
case5_E-line_before

Before

case5_E-line_after

After

詳しく見る

Eライン(口ゴボ)

年齢層 30代
性別 女性
主訴 【主訴】Eラインを整えたい 【診断・症状】上下顎前突
治療費用 検査・診断:38,500-/裏側矯正治療:1,397,000-(※全て税込)
治療期間 約3年半(45回)
抜歯 有(上下4,4)
矯正の装置 裏側矯正(舌側矯正)
副作用、リスク 歯肉退縮,歯根吸収,疼痛,咬合の違和感,装置の違和感,虫歯,歯肉炎
case4_E-line_before

Before

case4_E-line_after

After

詳しく見る

Eライン(口ゴボ)

年齢層 20代
性別 女性
主訴 【主訴】Eラインを整えたい 【診断・症状】上下顎前突
治療費用 検査・診断:38,500-/裏側矯正治療:1,397,000-(※全て税込)
治療期間 約2年半(33回)
抜歯 有(上下5,5)
矯正の装置 裏側矯正(舌側矯正)
副作用、リスク 歯肉退縮,歯根吸収,疼痛,咬合の違和感,装置の違和感,虫歯,歯肉炎
case3_E-line_before

Before

case3_E-line_after

After

詳しく見る

Eライン(口ゴボ)

年齢層 20代
性別 女性
主訴 【主訴】Eラインを整えたい 【診断・症状】上下顎前突、上下顎前歯前方位
治療費用 検査・診断:38,500-/裏側矯正治療:1,397,000-(※全て税込)
治療期間 約1年半(20回)
抜歯 有(上顎4,4、下顎5,5)
矯正の装置 裏側矯正(舌側矯正)
副作用、リスク 歯肉退縮,歯根吸収,疼痛,咬合の違和感,装置の違和感,虫歯,歯肉炎
case2_E-line_before

Before

case2_E-line_after

After

詳しく見る