当院の症例





| 年齢層 | 20代 |
|---|---|
| 性別 | 女性 |
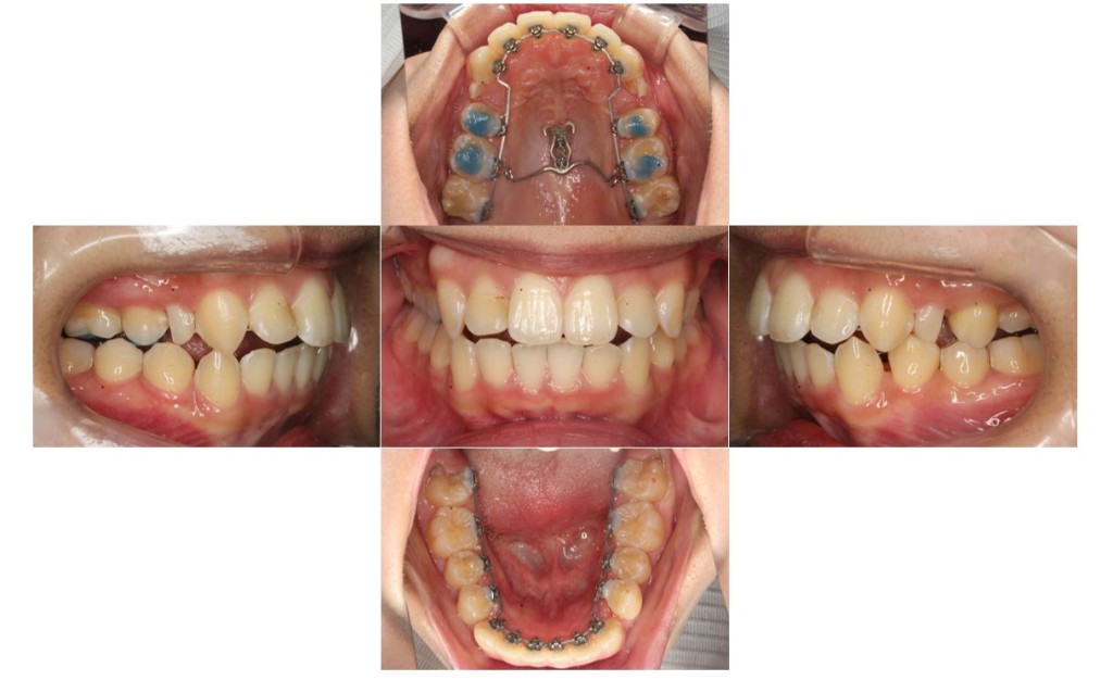
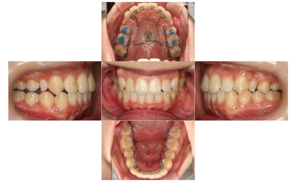
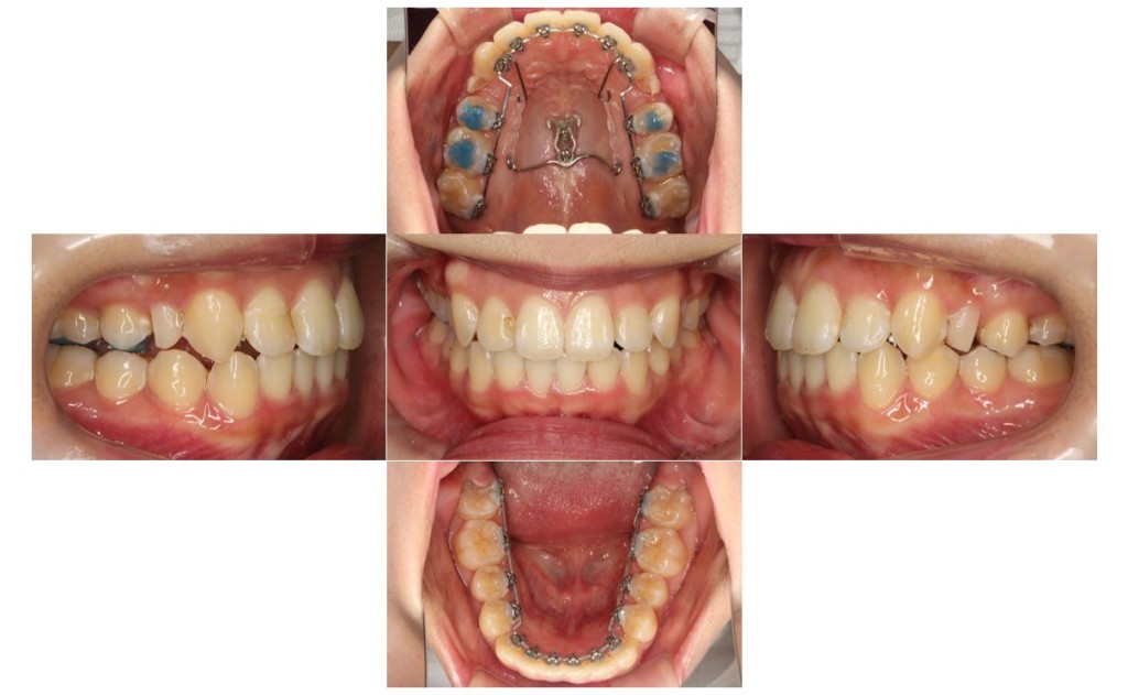
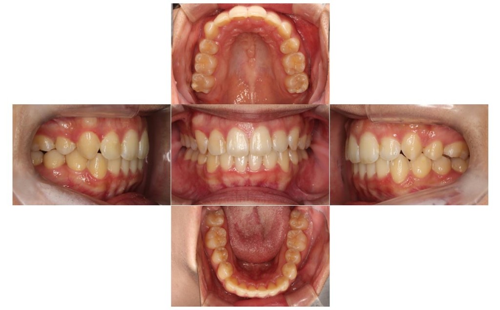
| 主訴 | 上と下の前歯のでこぼこが気になる。特に上の前歯のでこぼこが酷く、前から見ても横から見ても目立つので治したい。又、でこぼこがあるので歯磨きもしにくく、歯の健康の為にも綺麗にしたい。 |
| 治療費用 | 検査・診断:38,500-/裏側矯正治療:1,397,000-(※全て税込) |
| 治療期間 | 2年(29回) |
| 抜歯 | 有(上4.4) |
| 矯正の装置 | 裏側矯正(舌側矯正) |
| 副作用、リスク | 歯肉退縮,歯根吸収,疼痛,咬合の違和感,装置の違和感,虫歯,歯肉炎 |