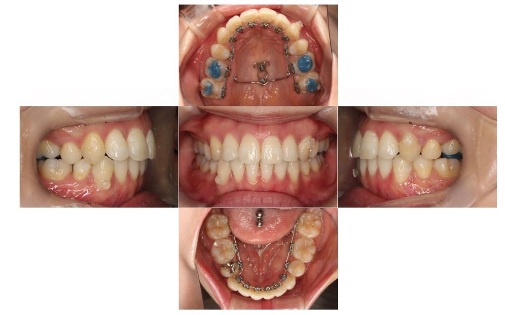
当院の症例






| 年齢層 | 20代 |
|---|---|
| 性別 | 女性 |
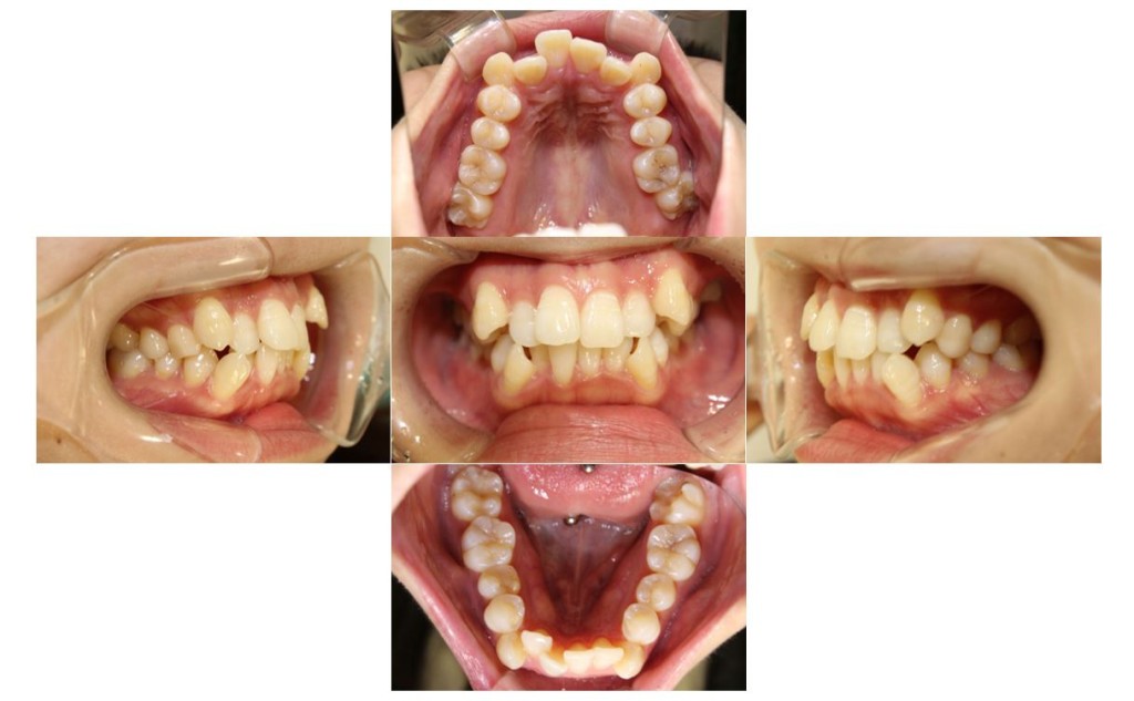
| 主訴 | 八重歯と上下前歯の歯のでこぼこをきれいに治したい。左の奥歯もちゃんと噛めていないので、しっかり噛めるように噛み合わせも整えたい。 |
| 治療費用 | 検査・診断:38,500-/裏側矯正治療:1,397,000-(※全て税込) |
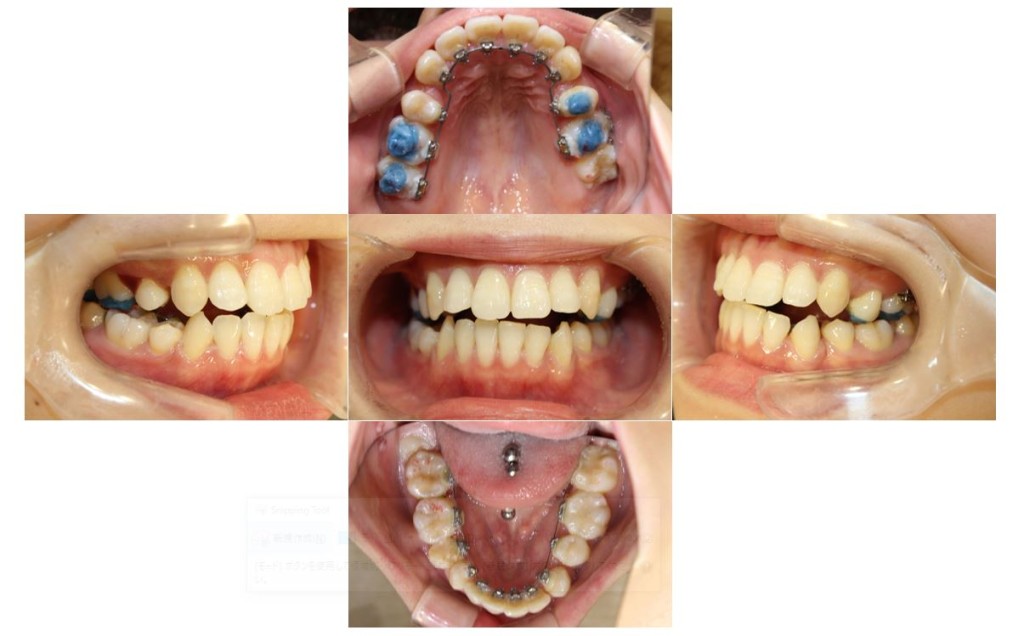
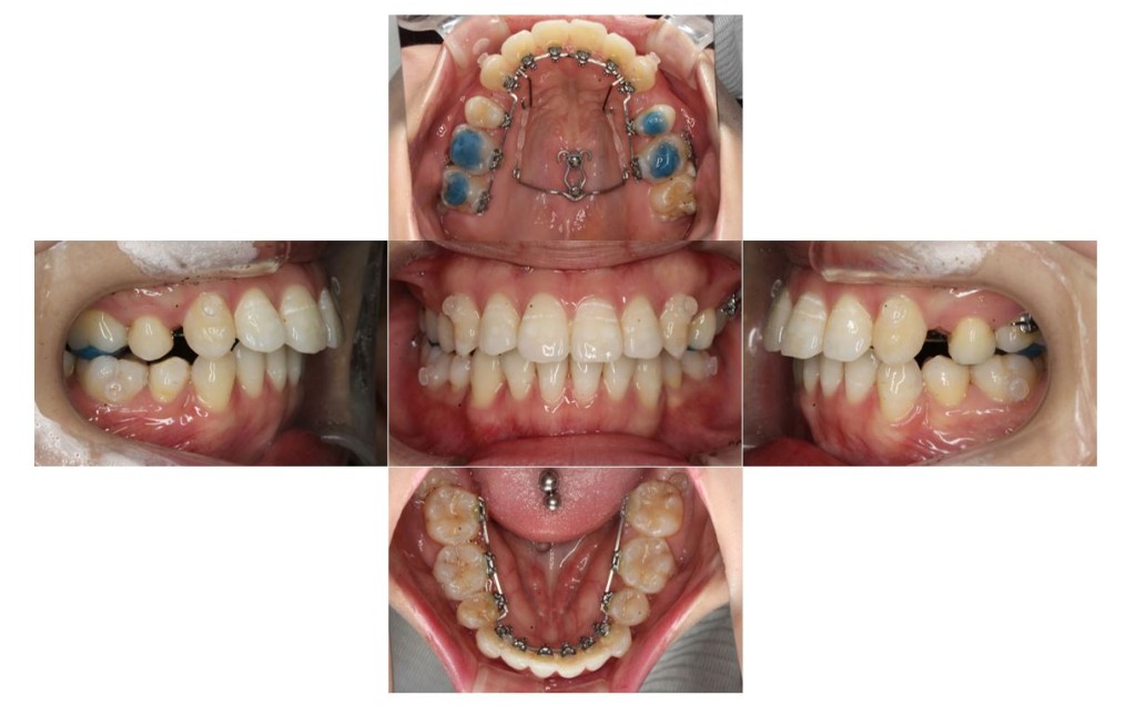
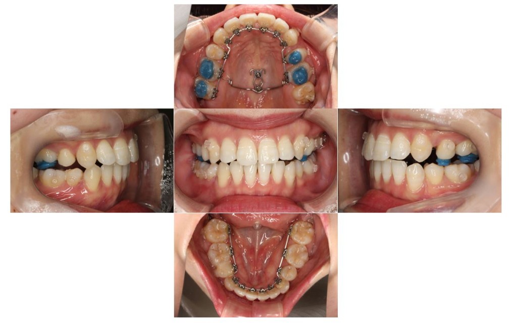
| 治療期間 | 2年3か月(30回) |
| 抜歯 | 有(上下4.4) |
| 矯正の装置 | 裏側矯正(舌側矯正) |
| 副作用、リスク | 歯肉退縮,歯根吸収,疼痛,咬合の違和感,装置の違和感,虫歯,歯肉炎 |