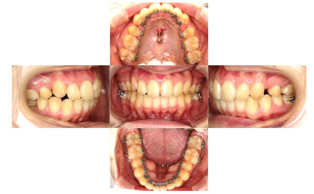
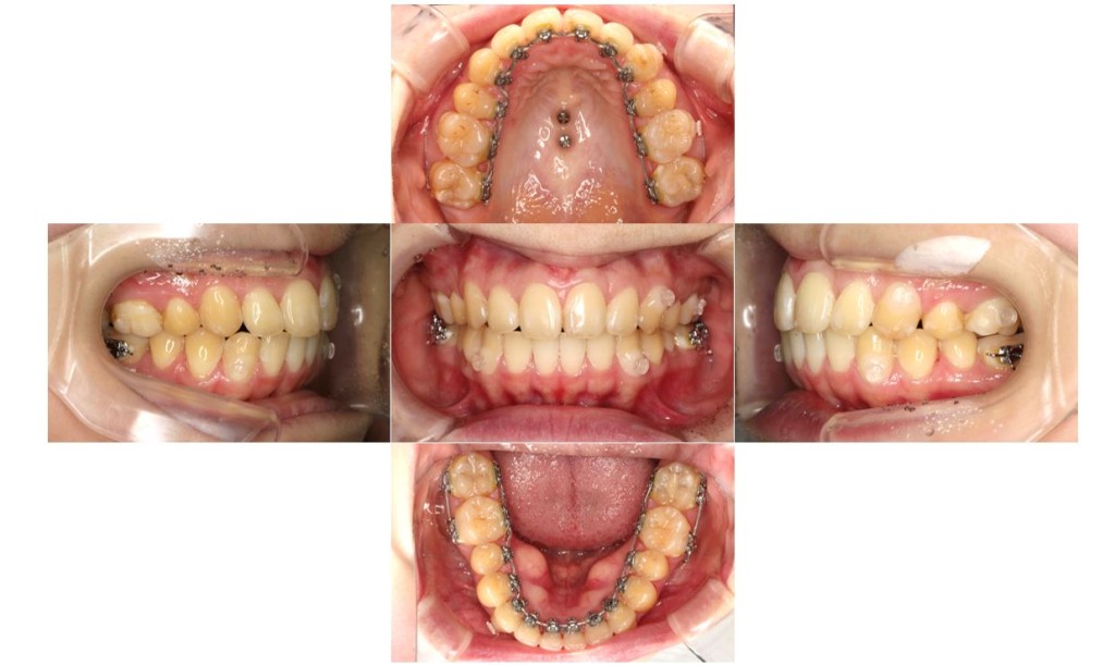
当院の症例





| 年齢層 | 30代 |
|---|---|
| 性別 | 女性 |
| 主訴 | 上の歯の八重歯だけ飛び出ているのが気になる。でこぼこしていると所によく物が挟まり、歯磨きしにくいのでお手入れしやすくしたい。 |
| 治療費用 | 検査・診断:38,500-/リンガル矯正治療:1,397,000-(※全て税込) |
| 治療期間 | 2年(26回) |
| 抜歯 | 無 |
| 矯正の装置 | 裏側矯正 |
| 副作用、リスク | 歯肉退縮,歯根吸収,疼痛,咬合の違和感,装置の違和感,虫歯,歯肉炎 |