当院の症例






| 年齢層 | 20代 |
|---|---|
| 性別 | 女性 |
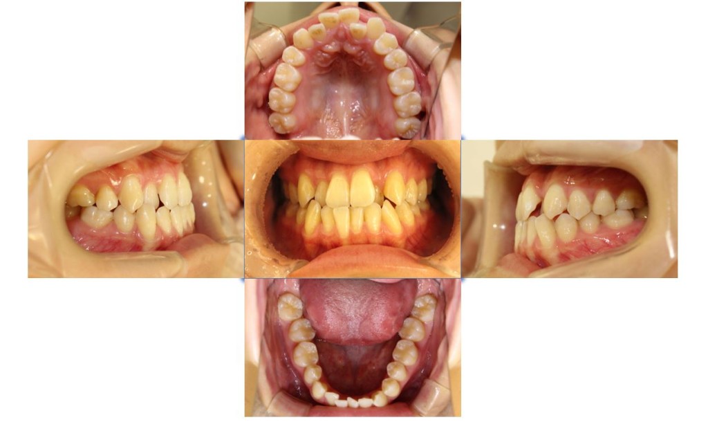
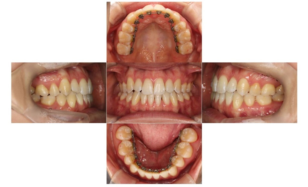
| 主訴 | 下の歯が、上の歯より前に出ていて顎が出ているのが気になる。受け口を治したい。でこぼこもあり歯磨きにしくいので、虫歯予防のためにも綺麗に並べたい。 |
| 治療費用 | 検査・診断:38,500-/裏側矯正治療:1,397,000-(※全て税込) |
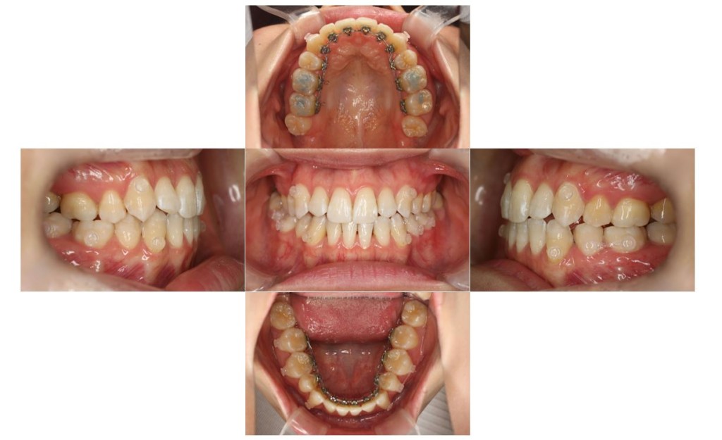
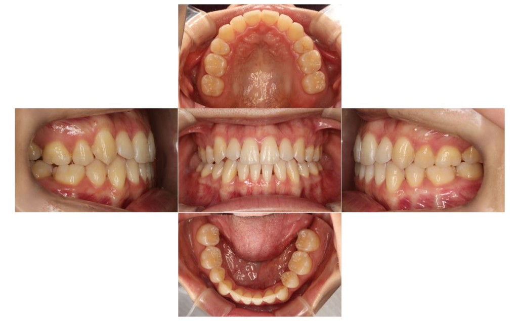
| 治療期間 | 2年2ヶ月(29回) |
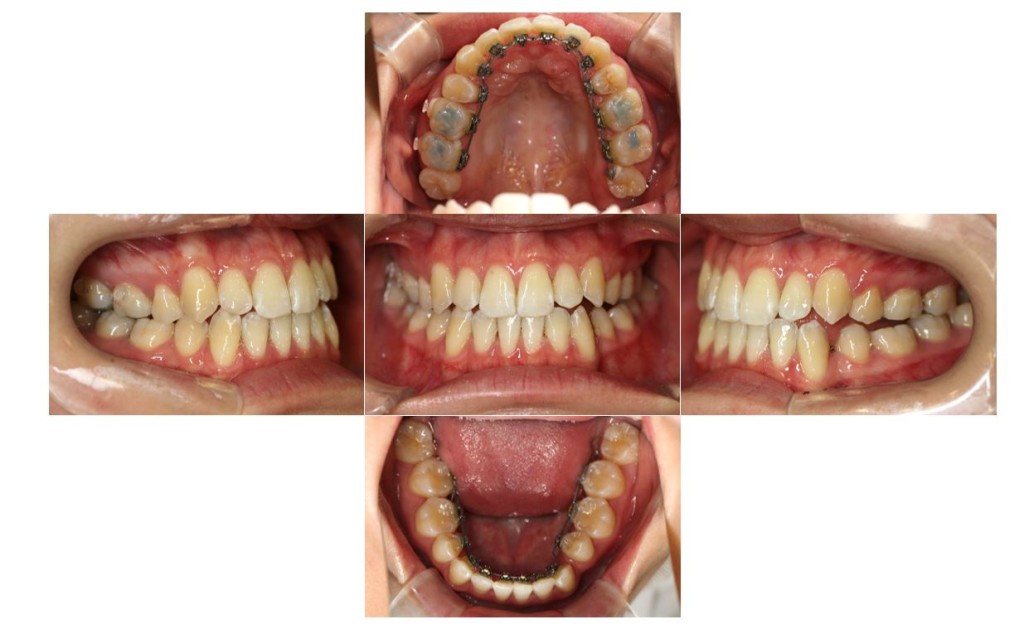
| 抜歯 | 有(左上4、左下5、上下親知らず4本) |
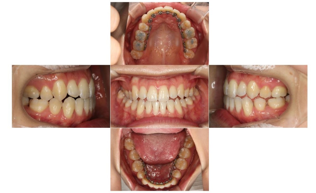
| 矯正の装置 | 裏側矯正(舌側矯正) |
| 副作用、リスク | 歯肉退縮,歯根吸収,疼痛,咬合の違和感,装置の違和感,虫歯,歯肉炎 |