当院の症例

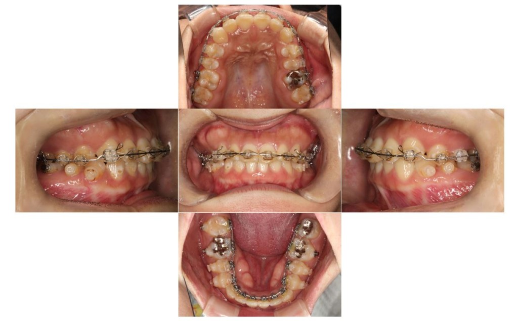
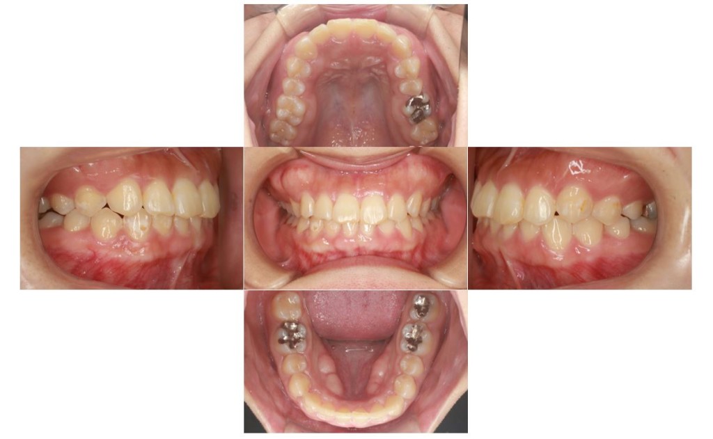
【1年後】





| 年齢層 | 30代 |
|---|---|
| 性別 | 男性 |
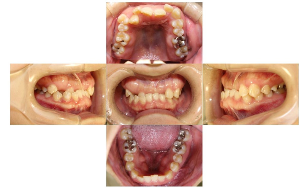
| 主訴 | ずっと気になっていた見た目、噛み合わせを含めて受け口を治したい。期間はかかってもいいので、外科手術をしないで歯列矯正だけで改善したい。 |
| 治療費用 | 検査・診断:38,500-/裏側矯正治療:1,397,000-(※全て税込) |
| 治療期間 | 3年6ヶ月40回 |
| 抜歯 | 非抜歯 |
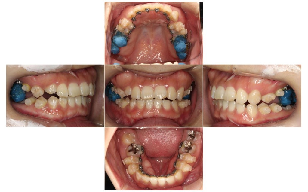
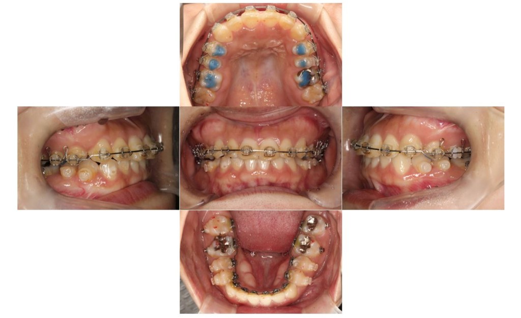
| 矯正の装置 | 裏側矯正から治療途中に表側矯正へ変更 |
| 副作用、リスク | 歯肉退縮,歯根吸収,疼痛,咬合の違和感,装置の違和感,虫歯,歯肉炎 |