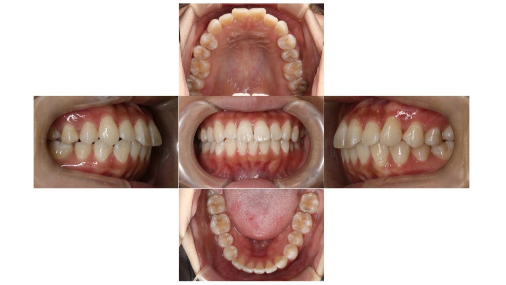
当院の症例



| 年齢層 | 20代 |
|---|---|
| 性別 | 女性 |
| 主訴 | 全体的に少し口元が出ている感じがするので、口元のボリュームを抑え、横顔の印象をすっきりとさせたいです |
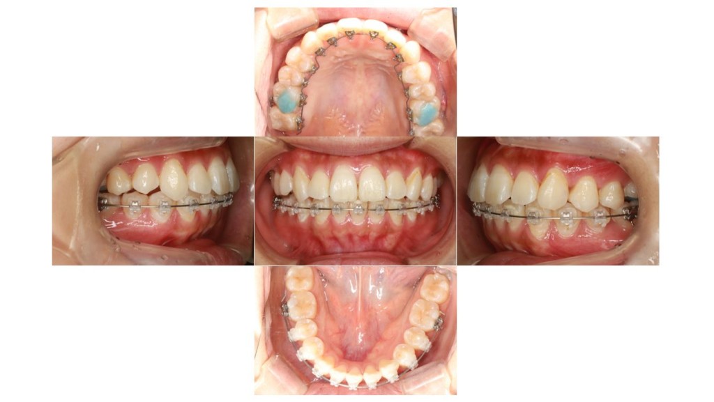
| 治療費用 | 検査・診断:38,500-/ハーフリンガル矯正治療:1,287,000-(※全て税込) |
| 治療期間 | 治療期間:1年2カ月/通院21回 |
| 抜歯 | 無 |
| 矯正の装置 | ハーフリンガル矯正 |
| 副作用、リスク | 歯肉退縮,歯根吸収,疼痛,咬合の違和感,装置の違和感,虫歯,歯肉炎 |