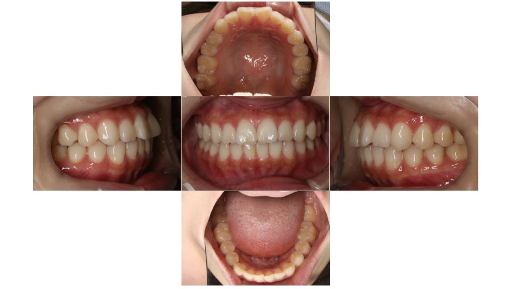
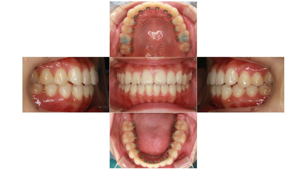
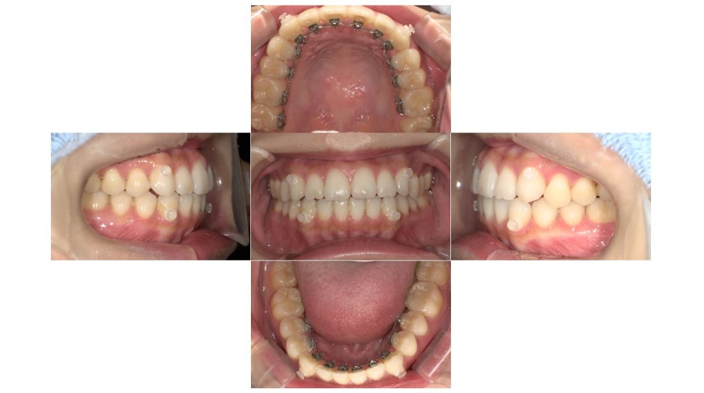
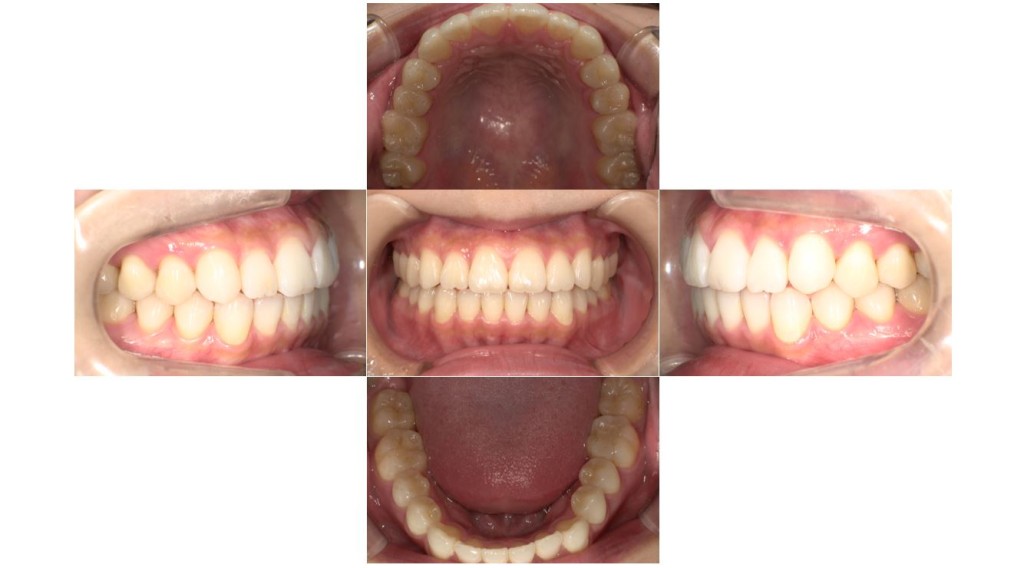
当院の症例




| 年齢層 | 30代 |
|---|---|
| 性別 | 女性 |
| 主訴 | 前歯2本が前に出ているため、笑ったときの見た目や横顔のバランスが気になり、自然な口元にしたいと思っている |
| 治療費用 | 検査・診断:38,500-/裏側矯正治療:1,397,000-(※全て税込) |
| 治療期間 | 1年3ヶ月(15回) |
| 抜歯 | 無 |
| 矯正の装置 | 裏側矯正 |
| 副作用、リスク | 歯肉退縮,歯根吸収,疼痛,咬合の違和感,装置の違和感,虫歯,歯肉炎 |